渭南青年网(编辑 闵盼龙 通讯员 *党**媛)2021年1月19日,渭南市第一医院率先响应国家医保政策,首支降价后的“百元支架”植入患者体内,成功完成一例三支血管病变介入手术。这标志着冠脉支架正式进入了“百元时代”,为需要接受支架植入的患者带来福音,真正减轻患者的就医负担。
来自渭南市临渭区的患者杨某是首位获益者。患者杨某,80岁,以“胸部憋闷不适一周余”来渭南市第一医院心脏中心就诊,经心电图及抽血等检查后,显示为“急性下壁心肌梗死”,行造影检查结果显示:前降至与对角支分叉处及中段血管狭窄严重,右冠近中段严重狭窄。


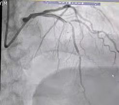
图为患者三支血管病变,保守治疗风险较高,要分次手术,与家属充分沟通后行支架植入手术
在唐都医院张东伟教授团队充分的术前准备、精准操作下,在科室负责人梁兴盛医师、谢军芳副主任医师、王伟副主任医师介入团队的共同协作下,使用“crush”双支架技术,成功为患者实施了前降支与对角支分叉处支架植入手术,术后造影结果显示,患者堵塞的血管血流通畅,患者胸痛症状缓解。

支架降幅96%,患者少花2万元,按照集采价格,现支架费用为590元,患者手术植入3枚支架,为患者节省了2万余元。
当患者家属得知支架价格后,高兴地说:“真的非常感谢政府,感谢医生!这样的惠民政策,让人深刻感受到了*党**和国家对咱老百姓的关爱,我们老百姓少花钱看好病的心愿终于实现了!”

有人担心,支架仅500多元,质量会不会打折扣?张东伟教授介绍到:冠脉支架均是高科技合金制品,生产厂家都是国内外知名企业,价格虽然大幅降价,但质量和原来一模一样,而且国家有相关专业部门去检测支架质量,所以可以完全放心使用。同时,通过此次冠脉介入手术实践得知,集采支架在手术过程中的手感和通过性与之前支架并无不同,效果和疗效值得肯定,特别是对于家庭条件困难的患者,可以说是雪中送炭,让之前因担心价格贵而不愿意放支架的患者有了更多的选择。
为了切实减轻群众就医负担、增进民生福祉,冠脉支架成为首批国家集中带量采购的耗材品种,渭南市第一医院第一时间落实医用耗材集中采购政策,满足广大心血管病患者看病就医需求。在接下来的工作中,医院将积极响应国家各项惠民政策,让政策落地、开花,进一步减轻老百姓的医疗负担,为建设健康渭南作出应有的贡献!