要说近年来最火的癌症疗法,免疫疗法中的嵌合抗原受体T细胞(CAR-T)绝对是焦点之一。
在全球癌症细胞免疫治疗领域,CAR-T细胞疗法依旧是独占鳌头。
CAR-T疗法为主流,较2020年增长35%
根据《Nature Reviews Drug Discovery》上发表的全球癌症免疫疗法的行业分析,截止到2021年4月16日,全球共计2073种在研的活细胞治疗药物中, CAR-T细胞疗法新增的临床管线达到299条,相比2020年新增达到35%,在免疫细胞疗法中独占鳌头。
通俗点讲,此疗法是最具创造性的基因疗法之一,主要用于治疗血液肿瘤,即从人体血液中提取T细胞,应用基因工程技术将其变身为能识别并消灭肿瘤的CAR-T细胞,再将其输入患者体内。
虽然我国CAR-T技术起步较晚,但国内市场规模大。根据 Clinicaltrials.gov 网站上的数据, 中国成为2017年9月注册CAR-T试验最多的国家。 截至2021年5月27日小编查询,全球总共有1301个CAR-T临床试验正在开展,中国注册的CAR-T试验的数量已达到478个!
打破空白,国内首款CAR-T疗法上市,中国迎来细胞治疗的元年!
就在6月22日,我国CAR-T领域的空白终于被打破!
小编得知一个重磅喜讯: 中国国家药品监督管理局(NMPA)最新公示 ,复星凯特生物科技有限公司(以下简称 “ 复星凯特 ”) 靶向 CD19 的 CAR-T 细胞治疗产品阿基仑赛注射液(又称阿基仑赛,FKC876)正式获批上市。

这是中国首个获批上市的CAR-T疗法,全球第6款获批上市的CAR-T疗法。 相信紧随其后,中国将迎来CAR-T细胞疗法井喷时代。

国研引领CAR-T新技术,覆盖多个实体瘤领域,收效颇丰
众所周知,CAR-T疗法在血液肿瘤领域(例如白血病)的治疗潜力毋庸置疑,但在 实体瘤(例如结直肠癌) 的研究却不尽人意。这归结于几方面的原因,比如无法进入实体瘤中,即使进入,T细胞也可能因为肿瘤微环境活性受到抑制而耗竭等。
然而,国内研究机构致力于通过开发创新型的CAR-T疗法根治实体瘤,甚至为了解决实体瘤治疗的种种困难和挑战,自主开发出了治疗 实体瘤的CoupledCAR™平台技术 ,并已在临床研究中取得了良好的疗效。
2020年5月,第23届美国基因与细胞治疗学会(ASGCT)年会上,我国细胞研究机构发布了关于CoupledCAR® CAR-T技术在实体瘤治疗中显示出的良好疗效及安全性。 两名甲状腺癌和两名结直肠癌患者在CART细胞回输后均达到了部分缓解(PR)。
2020年11月10日,第62届美国血液学会(ASH)年会上,我国细胞研究机构描述了两个经过大量预处理的结直肠癌和甲状腺癌患者组。7 名结直肠癌患者组接受抗 GCC(鸟苷酸环化酶 2C) CoupledCAR® CAR-T细胞治疗,而3名甲状腺癌患者组接受抗TSHR(促甲状腺激素受体) CoupledCAR® CAR-T治疗细胞。在两组中,CoupledCAR® CAR-T 细胞在体内均表现出快速且显著的扩增以及浸润到肿瘤组织部位,证明肿瘤*伤杀**力的增强以及肿瘤组织的缩小。
结果显示, 结直肠癌组 实现了 71.4% (5/7) 的总缓解率和14.3% (1/7) 的完全缓解率。甲状腺癌组 达到 66.7% (2/3) 的总缓解率和 33.3% (1/3)的完全缓解率。
目前,我国针对实体瘤的CoupledCAR™平台在CAR-T技术领域具有百余项全球专利及专利申请。简单来讲,CoupledCAR™解决了实体瘤CART细胞难以进入到实体肿瘤内部难以在体内扩增、以及难以对肿瘤细胞造成*伤杀**的难题。
无癌家园临床招募
目前,无癌家园正在对一款CAR-T细胞疗法进行招募,主要是关于晚期实体瘤的临床研究。
其中涵盖14大癌种,包括结 直肠癌、肺癌、乳腺癌、肝癌、膀胱癌、食管癌、肾癌、卵巢癌、子宫癌、黑色素瘤、胃癌、胰腺癌、滑膜肉瘤、头颈癌。
具体的入排标准可详情咨询无癌家园医学部,会进行详细的医学评估。
接下来,无癌家园的小编就给大家一一回顾下CAR-T疗法在各癌种中颇为出圈的临床研究,希望为各位癌友们提供新的治疗选择。
甲状腺癌
为了评估抗 TSHR CoupledCAR T 细胞对难治性或复发性甲状腺癌的临床安全性和有效性,我国医学研究人员根据伦理审查委员会批准的方案治疗难治性/复发性甲状腺切除术后甲状腺癌患者。使用抗 TSHR CoupledCAR T 细胞治疗了两名患者,观察到 CAR-T细胞快速扩增并增强了对肿瘤细胞的*伤杀**。 一名患者的最佳反应为完全缓解,另一名患者接近完全缓解。
患者1: 男性,64岁, 甲状腺乳头状癌 。输注后1个月(M1),患者被评估为PR:无法检测到淋巴结转移,并且胸腔气管旁肿瘤结节显著减小。 输注后三个月(M3),患者评价为完全缓解,肿瘤组织明显小于M1。
患者2: 女性,60岁, 甲状腺癌 。患者在 输注后1个月 评估为PR(部分缓解): 肺右下叶肿瘤体积缩小约67.51% (从65*55mm减小到42*39mm)。 输注后3个月(M3) , 肿瘤体积较之前缩小约73.54% ,SUV max值从14.9降至2.8, 因此评估为nCR(接近完全缓解) 。
这项研究表明 TSHR 是治疗甲状腺癌的良好靶点,抗 TSHR CoupledCAR T 细胞可安全有效地治疗甲状腺癌。
结直肠癌
两名结直肠癌患者在输注 Coupled CAR-T 细胞后,这两名患者表现出 Coupled CAR-T 细胞的快速扩增和对肿瘤细胞的*伤杀**。
两名患者均达到 PR(部分缓解)。
患者1 :男性,55 岁, 结肠腺癌 。输注后1个月(M1),患者被评估为PR; 大部分目标病灶明显缩小50%以上,原发肿瘤体积缩小约45%。
患者2: 女性,57岁, 结直肠癌。 输注后1个月,患者也被评估为PR; 左上叶尖后段的肿瘤缩小了约 75%。
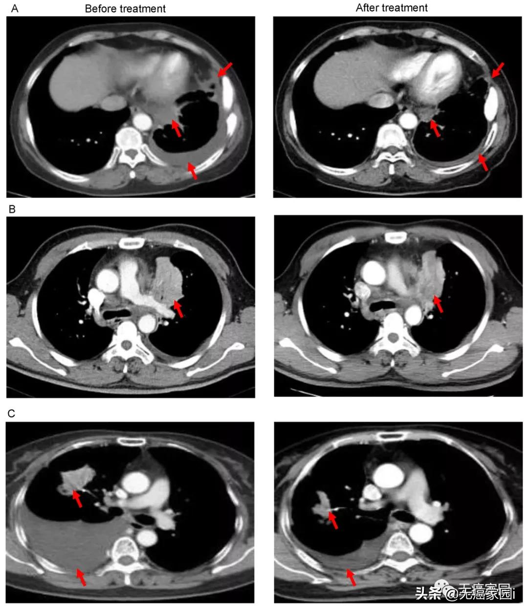
非小细胞肺癌
*013院医**在国内率先开展CAR-T疗法,成果显著。 韩为东教授曾报道过利用EGFR为靶点的CAR-T治疗EGFR表达强阳性(EGFR表达超过50%)的晚期难治性的非小细胞肺癌患者。
研究结果显示,其中11例患者疗效可评价:2例患者肿瘤明显缩小,5例疾病稳定。
图A中患者1在输注CAR-T细胞后,通过CT扫描显示其胸腔积液减少,转移性肺门淋巴结和胸膜结节轻度缩小(箭头)。
图B中CT图像显示患者8的原发性肿瘤缩小(箭头);
图C中CT检查发现CAR-T治疗后患者9的胸腔积液吸收和肺部病变明显消退。

中国研究人员开发了国际上首个针对 Claudin18.2 的 CAR-T 细胞。
中国研究人员开发了国际上首个针对 Claudin18.2 的 CAR-T 细胞。
2019 ASCO年会上,CAR-Claudin18.2 T 细胞治疗胃癌/胰腺癌的临床数据更新显示,靶向claudin18.2 CAR T细胞治疗12例转移性腺癌(胃癌7例,胰腺癌5例),未发生严重不良事件、治疗相关死亡或严重神经毒性。11例评估对象中: 1例(胃腺癌)完全缓解;3例(胃腺癌2例胰腺腺癌1例)部分缓解;5例病情稳定;2例病情进展;总客观缓解率为33.3%。
研究成果显示,靶向Claudin18.2的CAR-T细胞在小鼠模型中可以完全清除胃肿瘤,且没有发生脱靶毒性。
肝癌
今年ASCO年会上我国医学研究者们首次公布了 靶向GPC3的CAR-T药物(Ori-CAR-001) 治疗 复发/难治性肝细胞癌 的最新临床研究数据。该研究的初步数据显示, Ori-CAR-001在GPC3阳性复发/难治性患者中表现出良好安全性和有效性。
截至2021年3月10日,共纳入11名接受细胞输注的复发受试者。 所有受试者均患有晚期肝细胞癌,并且经过化疗、TACE(肝动脉化疗栓塞术)和靶向治疗均无效。 9例可评估受试者中,4例达到部分缓解 (PR),3例达到疾病稳定 (SD),2例出现疾病进展 (PD),客观缓解率为44%,疾病控制率达到78%。

在数据截止时,受试者007的部分缓解时间6个月, 其肿瘤体积在细胞治疗输注后1个月减少了80%以上。 (截至2021年6月,该受试者已超过8个月的疾病控制,随访仍在进行中)。受试者012是1例弥漫型、巨块型晚期肝癌患者,曾接受过12次以上的TACE治疗、放疗及靶向治疗,不幸的是均无效,随后参与本研究。
在输注CAR-T细胞后的第28天, 受试者MRI结果显示最大肿瘤直径从最初的 133毫米减少至9毫米,缩小超过93%。目前,该受试者正在接受CAR-T细胞输注后第3个月的评估,MRI扫描显示此肿瘤几乎消失。 此外,甲胎蛋白(AFP,原发性肝癌的特定肿瘤标志物)水平从基线值 >80,000/ng/ml 下降到第1个月的1148.9ng/ml,并在第3个月下降到746.7ng/ml输注(正常范围<40ng/ml),证明 Ori-CAR-001 在晚期肝癌患者中具有显著的初步疗效。

受试者012的MRI结果示意图
在已回输的11例患者中,Ori-CAR-001显示出了良好的安全性和耐受性。
卵巢癌
2月18日,国际一流学术期刊《癌症免疫治疗杂志》刊登了关于中国医学研究者采取CAR-T自分泌PD-1抗体用于实体肿瘤治疗的研究成果。临床数据显示, 一名晚期难治性卵巢癌患者采用这种治疗手段后,无进展生存5个月,生存达17个月。
结果表明, CAR-T细胞与阿帕替尼的组合将成为治疗晚期/难治性卵巢癌的新治疗方法。
乳腺癌
2018年圣安东尼奥乳腺癌研讨会上,CAR-T治疗晚期三阴乳腺癌(TNBC)获得了长期病情稳定。
7名表达ROR1的三阴性乳腺癌(TNBC)患者, 经CAR-T治疗后,患者的病情持续时间延长,一个达15周,另一个达19周,没有任何后续治疗方案的治疗效果超过CAR-T细胞。
另外,有一个患者第一次回输CAR-T后病情稳定,第二次回输后部分应答持续14周之久(对于晚期三阴乳腺癌,延长一周生存期就很不容易了!)。
(想了解更多CAR-T国内外前沿临床研究信息请持续关注无癌家园网站)
胆道系统肿瘤
在2018年3月,解放军总医院韩卫东教授的团队公布了利用EGFR CAR-T技术治疗胆道系统肿瘤的初步结果。
此次纳入的患者均为EGFR强阳性(>50%的癌细胞表达EGFR)的不可切除的胆道系统恶性肿瘤患者,共纳入19例患者,包括胆管癌14例,胆囊癌5例。
研究结果显示,17例患者可评估, 其中1例胆管癌患者的肿瘤完全消失,截止到目前疗效已经保持了22个月,尚未发现疾病复发。 10例患者疾病稳定,疗效保持2.5~15.5个月,中位无进展生存期为4个月。

CART-RGFR细胞治疗之前和1、3、10和15个月患者1的CT扫描图像。
红色箭头表示原发肿瘤和腹膜后淋巴结转移。
在研究中有10例患者在化疗预处理中出现3~4级的副作用,经积极处理均可恢复正常。
这是中国人自主研发的针对实体瘤的CAR-T第一次报道不错的临床疗效。 极度恶性的胆管癌患者,首次出现了完全缓解 ,可喜可贺!
CAR-T疗法的获批将为中国患者带来更多临床获益
阿基仑赛注射液获批上市,首先对符合其适应症的患者又增加了一种新的治疗选择,也就多了一份治愈的希望。
其次,这次的获批意味着CAR-T疗法已经被国内环境所接纳,未来更多CAR-T产品或适应症的研发及审批都将得到提速。
我们期待着,越来越多的临床前/临床试验数据能够拼凑出一幅完整的拼图,充分展示CAR-T细胞疗法治疗晚期血液肿瘤及实体瘤的真正实力。