当新冠遇上牙疼 (当牙痛遇上疫情怎么办)

“牙疼不是病,疼起来真要命”,这句话大家都懂,但只有真正经历过了,才明白其中的真(痛)谛(苦),而这样的经历就这么砸中了我,雪上加霜的是正值疫情期间,全上海医院牙科只配药不治疗,而我被诊断为牙髓炎,要拔牙髓的那种(就是大家俗称的抽牙神经)。那时牙痛折磨得我没法吃饭,没法睡觉,而且是一阵一阵的疼痛,那种感觉让我想到了生孩子时的宫缩,一点都不夸张,就是这种感觉,忍着痛20分钟左右能稍微停一会,过一会又开始反复。

医院配的甲硝唑吃了不管用,晚上疼得厉害只能靠止痛片,连吃了10天感觉止疼片也快无效了(后来咨询医生,止疼片最多吃7天),就这么忍着过了近1个月,终于等到一家外资医院复工了,赶紧电话咨询,得知他们那边可以进行治疗,赶紧驱车前往,历经1个小时的治疗(拔牙髓),整个人舒爽了(其实上完麻药疼痛就减少了很多)。

把我的经历分享给大家,就是想提醒大家牙齿随访真的很重要,最初可能只是蛀牙,但长期不处理后果很严重,如果要问我比生孩子还要疼的是什么,绝对就是牙疼,没有之一。

视频加载中...

一口好牙影响人的寿命,也影响一个人的颜值,娱乐圈多少明星被质疑“整容”后都宣称“我没有整容啦,只是做了牙齿矫正”,骗个鬼哦。但是一口整齐的牙齿对于颜值是很加分的,尤其是女孩子。

一直以来大部分人对于矫正牙齿有一个误区,都认为牙齿长齐了,成年后才能矫正牙齿,其实儿童期也是可以矫正牙齿的。今天我们来盘一盘关于儿童牙齿几个重要的知识点,绝对干货,值得收藏。

当牙痛遇上疫情怎么办,疫情牙疼得要命

出乳牙时间表

当牙痛遇上疫情怎么办,疫情牙疼得要命

换牙过程

奶瓶龋

当牙痛遇上疫情怎么办,疫情牙疼得要命

什么叫奶瓶龋[qǔ],网上都能搜到,这里我们就不多介绍了,用下面这张图,让大家立马看懂是怎么回事。

当牙痛遇上疫情怎么办,疫情牙疼得要命

奶瓶龋的形成

奶瓶龋的发生不仅使乳牙的切割功能大大降低,而且随着病变加重,会引起牙髓及牙根尖病变,到那时孩子会有剧烈疼痛、牙龈肿痛、流脓等,严重的还会影响恒牙的发育。

我们家娃第一次看牙医就是因为奶瓶龋,最初我们都觉得反正要换牙,就没有当回事,但后来严重到门牙表面快要穿出一个洞了,这才引起了我们的注意,牙医告诉我们再严重下去就要拔牙髓了。

龋病也是通常所说的蛀牙,龋病本质上是一种慢性进展性疾病,其包括四种主要因素,也被称之为四联因素,四联因素包括时间、宿主、细菌及养分。

当牙痛遇上疫情怎么办,疫情牙疼得要命

时间指的是龋病对于牙体造成缺损的过程比较缓慢,通常需要几个月甚至几年的时间。

宿主则主要指牙齿,因为龋病需要有宿主才能发生作用。

养分指的是食物中的糖分,因为食物中的糖分可以供给牙齿表面的龋菌,所以养分可以使细菌生长,并造成龋病发展。

而致病因素最主要的就是细菌,其存在于牙齿表面,主要以厌氧菌为主。

导致奶瓶龋的最主要原因有

  • 忽视宝宝乳牙护理
  • 很多宝妈会忽视乳牙的保护,就像我一样,认为孩子的牙齿反正会脱落重新长牙,所以对于乳牙没有过多的关注。

    保护乳牙

    第一阶段(0-6m)

    乳牙长出前,漱口最关键,也可以用湿纱布包裹自己的食指,帮宝宝轻擦牙龈和口腔,不要觉得喝母乳的宝宝不需要喝水,喝水的同时也是在清洁口腔。

    第二阶段(6-12m)

    等宝宝第一颗乳牙长出后,就可以用儿童牙刷(指套牙刷)和牙线

    第三阶段(1-2岁)

    美国儿科学会和美国儿童牙科学会建议,孩子在1岁前就要看一次牙医,并建立“牙齿档案”。出牙之后,建议每3-6个月随访牙医,便于早期发现牙齿情况。2岁左右的牙齿检查一般是:洗牙,祛色素斑。

    第四阶段(2-3岁)

    这时候的牙齿检查就可以开始“定期涂氟”来抵御蛀虫的侵犯,在牙齿表面形成保护层,起到防止蛀牙的作用(涂氟只是起到预防的作用,并不代表涂了氟就肯定不会有蛀牙)。一般2-3岁的宝宝懂得涂牙膏,所以可以选择含氟的儿童牙膏,但一定要记得告诉宝宝不要吞牙膏。

  • ​长期使用安抚奶嘴
  • 大明星贝克汉姆的女儿小七一直都备受广大网友及粉丝的关注,现在变成大姑娘的小七也依旧是颜值在线的,只是由于换牙后小七的牙齿并没有长好,因此很多网友都觉得小七是被牙齿拉低了颜值,并且认为罪魁祸首就是小七喜欢吃安抚奶嘴!

    其实,这个锅还真不一定就是安抚奶嘴该背的,美国儿科学会(AAP)、梅奥诊所、美国牙科协会(AAD)都认为,使用安抚奶嘴是利大于弊的,可以用,但需要讲究时间和方法。建议2岁左右可以戒掉安抚奶嘴了,长期使用安抚奶嘴,会影响牙齿的发育、排列和咬合,极有可能影响宝宝以后的颜值。

    龋齿不会遗传。但是家长如果有口腔问题要引起重视,有些疾病会通过家长对宝宝的喂食等行为传播给宝宝,比如用自己的餐具给宝宝喂食,亲吻宝宝嘴巴等。这里特别强调,大人不要咀嚼过的食物再喂给宝宝,极其不卫生(想想这画面都好恶心)。

    反 颌

    反颌,俗称地包天,主要表现就是下牙的咬合位置不对,咬合在上牙的外面。有的人反颌只是牙齿反颌,并没有影响到面部结构。而有一部分人属于骨性反颌,可能会出现上颌发育不良、下巴后缩或者前突,长久下去会对面部美观造成较大影响。

    当牙痛遇上疫情怎么办,疫情牙疼得要命

    当牙痛遇上疫情怎么办,疫情牙疼得要命

    反颌是可以采取矫正的,越早矫治,越能够有效预防面部骨骼畸形。轻度的反颌可以在医生的指导下自行矫正,如果畸形程度比较重,可以进行牙齿矫正。反颌在幼儿乳牙时期就可以发现,乳牙的反颌纠正应保持在乳牙牙根发育的稳定期。

    日常生活中有一些行为容易导致地包天

  • 哺乳的时候姿势不正确,造成宝宝喝奶时下颌前伸,引起假性下颌前突。
  • 生活不良习惯造成了,吃拇指、咬下唇等,都可能使上前牙出现前突。
  • 遗传因素也不在少数。
  • 当牙痛遇上疫情怎么办,疫情牙疼得要命

    真的出现这种情况也不用过度担心,早发现早治疗,现在医疗技术那么发达,换“头”都不在话下,矫正牙齿小case。

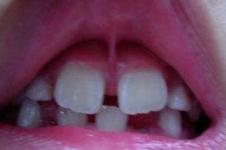
    唇系带过低

    当牙痛遇上疫情怎么办,疫情牙疼得要命

    当牙痛遇上疫情怎么办,疫情牙疼得要命

    说到了儿童牙齿,我们捎带提一提唇系带过低问题。唇系带过低虽然不会对身体健康造成太大的危害,但是会影响个人形象。微笑时粗大的唇系带外露以及形成的门牙缝都会影响美观。有的孩子也会因此被人嘲笑,导致孩子自卑,影响身心发育;过低的上唇系带,小朋友刷牙时会碰到而引起不适;唇系带过低,还会挡在两颗门牙之间,形成门牙缝,使门牙错颌畸形。对于这一情况,家长应当尽早发现,尽早治疗。

    儿童口腔最普遍的就是蛀牙问题,身边一些朋友的孩子从小就有补牙的经历,严重的还不得不拔掉,就怕对二次换牙有影响。现在市面上各类糖果的包装连大人都抵挡住,何况是几岁的娃,分分钟入坑。既然避免不了吃糖,只能从预防蛀牙上下功夫。

    1. 刷牙

    电动牙刷和普通牙刷我们都用过,相比之下,yo姐更喜欢用电动的,好玩方便。建议小朋友刷好之后大人再帮助刷一遍,小屁孩真的刷不干净。

    2. 涂氟

    咨询了yo姐的牙医,两岁开始也就是牙齿快长全的时候就可以给孩子涂氟了,主要看孩子的配合程度,如果太小又不配合的话可以晚一点。先简单清洗牙齿表面,再给牙齿逐一涂氟。

    3. 牙线

    在家刷牙后建议一定要用牙线,小朋友吃完东西后,牙齿很容易塞牙,有时候刷牙也很难把牙缝里的食物刷出来,所以要用牙线把牙缝间的垃圾剔除,不会用牙线的家长可以先用牙线棒上手。我们现在外出一般都会随身带牙线,在外不方便刷牙,可以先漱口,再用牙线。

    牙齿问题是人们生活中不可避免的问题,儿童的牙齿处于生长发育阶段,各类牙齿疾病会对孩子的牙齿造成很大的负担。许多家长忽视儿童口腔健康问题,错过了适合治疗的最佳时期,影响孩子的身心健康。牙科医生建议,对于孩子的牙齿问题,要早发现,早治疗,这将对孩子的口腔健康及孩子的身体发育起到至关重要的作用。