《绝地大师疼痛康复专题课程系列 1.0》
第十五讲 膝关节疼痛的分类评估和神经调控康复治疗
TRAUMATIC KNEE PAIN ASSESSMENT & TREATMENT
1. COURSE OUTLINE 课程大纲
CLASSIFICATION: TRAUMATIC & NON-TRAUMATIC 分类:创伤性和非创伤性
ANATOMY 解剖
WHAT IS TRAUMATIC KNEE PAIN? 什么是创伤性膝痛?
ASSESSMENT OF TRAUMATIC KNEE PAIN 创伤性膝痛的评估
Q & A 问答
2. CLASSIFICATION: TRAUMATIC KNEE PAIN 分类:创伤性膝痛
FRACTURE 骨折
LIGAMENT TEARS 韧带撕裂
CARTILAG (MENISCAL) TEARS 软骨(半月板)撕裂
PATELLA DISLOCATION 髌骨脱位
3. CLASSIFICATION: NON-TRAUMATIC KNEE PAIN 分类:非创伤性膝痛
FUNCTIONAL PAIN (“TENDONITIS”, “BURSITIS”, ITB SYNDROME, ETC)
功能性疼痛(“肌腱炎”、“滑囊炎”、ITB综合征等)
OSTEOARTHITIS 骨关节炎
POST – POST SURGICAL 术后慢性(疤痕)
4. ANATOMY: TIBIOFEMORAL JOINT 解剖:胫股关节
HOUSES MEDIAL & LATERAL MENISCUS 包容内外侧半月板
CONNECTS LIGAMENTS 连接韧带
ACL, PCL, LCL, MCL

5. ANATOMY: PATELLA FEMORAL JOINT 解剖:髌股关节
PATELLA SITS BETWEEN THE FEMUR AND TIBIA 髌骨位于股骨和胫骨之间
FLOATS THE QUADRICEP BETWEEN THE QUADRICEP AND PATELLAR TENDON
在股四头肌和髌腱之间浮动股四头肌(皮下滑囊)
THE SMALLER THE PATELLA THE LESS FRICTON CREATED AND THE BETTER PERFORMANCE.
髌骨越小,产生的摩擦越小,表现更佳。

6. LIGAMENTS 韧带: ACL/PCL
ACL – ANTERIOR CRUCIATE LIGAMENT 前交叉韧带
PREVENTS ANTERIOR TRANSLATION OF THE TIBIA RELATIVE TO THE FEMURE
预防胫骨相对于股骨向前移位
PCL – POSTERIAL CRUCIATE LIGAMENT 后交叉韧带
PREVENTS POSTERIOR TRANSLATION OF THE TIBIA 预防胫骨向后移位

LCL – LATERAL COLLATERAL LIGAMENT 外侧副韧带
MEDIATES LATERAL TRANSLATION OF THE TIBIA RELATIVE TO THE FEMUR
介导胫骨相对于股骨向外侧移位
MCL – MEDIAL COLLATERAL LIGAMENT 内侧副韧带
MEDIATES MEDIAL TRANSLATION OF THE TIBIA RELATIVE TO THE FEMUR
介导胫骨相对于股骨向内侧移位
7. LIGAMENTS 韧带 LCL/MCL

8. BURSA 滑囊
LUBRICANT 润滑
SUPRAPATELLAR 髌上
INFRAPATELLAR 髌下
PREPATELLAR 髌前
FRICTION, PRESSURE, OVERUSE CAUSE BURSITIS 摩擦、压力、过劳引起滑囊炎

9. NERVES: MOTOR/CUTANEOUS 神经:运动/皮
MOTOR 运动
FEMORAL NERVE 股神经
SENSORY 感觉
ANTERIOR FEMORAL CUTANEOUS 股前皮神经
LATERAL FEMORAL CUTANEOUS 股外侧皮神经
SAPHENOUS 隐神经(SP9)
GENICULAR 关节支
RECURRENT ARTICULAR BFRNACH OF THE PERONEAL NERVE 腓神经关节返支


10. ANATOMY: MUSCLES 解剖:肌肉
TENSOR FASCIA LATTE 阔筋膜张肌(臀中肌抑制)
POPLITEUS, GASTROCNEMIS 腘肌、腓肠肌

11. ANATOMY: POPLITEUS/VMO MUSCLES 解剖:腘肌/VMO肌


12. POSITIONAL REFERENCES 位置参考
VARUS VS VALGUM 内翻 对 外翻

VALGUS/VARUS 外翻/内翻
REFERENCES USED IN MCL, LCL, MENISCAL TEAR TESTS (MCMURRAYS
用于MCL、LCL、半月板撕裂试验(麦氏)中的参考
GREATER VALGUS ANGLE INCREASE CHANCES OF ACL TEAR IN WOMAN ( Q-ANGLE)
外翻角较大增加了女性ACL撕裂的机会(Q角、髋低)
13. TRAUMATIC KNEE PAIN: FRACTURE 创伤性膝痛:骨折(髌骨)

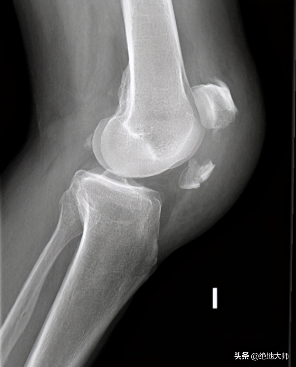
14. TRAUMATIC: PATELLAR DISLOCATION 创伤性:髌骨脱位


15. PATELLAR DISLOCATION ON X-RAY 髌骨脱位X线

16. TRAUMATIC KNEE PAIN: LIGAMENT TEARS 创伤性膝痛:韧带撕裂

17. TRAUMATIC KNEE PAIN: MENISCAL TEARS 创伤性撕裂:半月板撕裂

18. PRINCIPALS OF SOFT TISSUE REPAIR 软组织修复原则
0-72 HOURS: INFLAMMATORY PHASE 0-72小时:炎症期
-ACUTE INFLAMMATION, WHITE BLOOD CELLS, MACROPAHGES, EDEMA
急性炎症、血白细胞、巨噬细胞、水肿
72 HOURS – 6 WEEKS – REPAIR PHASE 72小时-6周:修复期
-COLLAGEN DEPOSITION IN AN IRREGULAR ORIENTATION
胶原沉积呈不规则方向
3 WEEKS – 6 MONTHS: REMODELLING 3周-6个月:重塑
- COLLAGEN TAKES SHAPE WHICH ARE STIMULATED BY HER READING MATERIALS. IE. PROPER TREATMENT, REHAB EXERSCISR
由环境刺激下的胶原塑形。即,适当治疗,康复运动
19. ASSESSMENT OF TRAUMATIC KNEE PAIN 创伤性膝痛的评估
ORTHO TESTS VS MRI 骨科对MRI
DO ORTHO TESTS MATCH MRI? 骨科体检符合MRI吗?
Not. Similarity, not often. 不
20. ACL/PCL LIGAMENT TEST ACL/PCL韧带试验
DRAWER TEST 抽屉试验:
PATIENT KNEE AT 90 DEGREES 患者屈膝90°
STABILIZE FOOT WITH LEG OR THIGH 用腿稳定足(双拇膝眼上)
PULL POSTERIOR TO ANTERIOR THEN PUSH ANTERTIOR TO POSTERIOR
由后向前拉,再由前向后推
OPEN AND CLOSE THE DRAWER 打开和关闭抽屉
ASSESSING INTEGRITY OF ACL AND PCL 评估ACL和PCL的完整性
ASSESS AND COMPARE BOTH SIDES 双侧评估和比较
(膝关节疼痛评估(1)-抽屉试验)

21. ACL LIGAMENT TEST ACL韧带试验
LACHMANS TEST LACHMANS试验:
LIFT LEG OFF OF THE TABLE AT ABOUT 30 DEGREES 抬腿离床约30°(容易)
STABILIZE THE FEMUR WITH ONE HAND 用一手稳定股骨
WITH THE OTHER, TRANSLATE THE TIBIA ANTERIOR AND POSTERIOR
用另一手向前和向后平移胫骨
ASSESS BOTH SIDES AND COMPARE TRANSLATORY MOVEMENT
评估双侧并比较平移运动
(膝关节疼痛评估(2)-ACL韧带试验LACHMANS)

22. MCL LIGAMENT TEST MCL韧带试验
MCL STRESS TEST MCL应力试验:
STANDING AT THE SIDE TO THE PATIENT 站在患者一侧
EXTERNALLY ROTATE KNEE (略)外旋膝(略抬起)
APPLY VALGUS FORCE TO KNEE AT JOINT LINE 在膝关节线使用外翻力(由外向内)
COMPARE BOTH SIDES 双侧比较
(膝关节疼痛评估(3)-侧副韧带试验)

23. LCL LIGAMENT TEST LCL韧带试验
LCL STRESS TEST LCL应力试验:
SITTING ON THE TABLE WITH PATIENT CALF ON YOUR THIGH
坐在床上把患者小腿放在大腿上
INTERNALLY ROTATE KNEE 内旋膝
APPLY VARUS FORCE TO KNEE AT JOINT LINE
在膝关节线施加内翻力(由内向外推,向内拉足)

24. MENISCAL TESTS: MCMURRAYS’ 半月板试验:麦氏
BEND PATIENT KNEE TO 90 DEGREES 屈患者膝至90°
MEDIAL MENISCUS TEST 内侧半月板试验:
EXTERNALLY ROTATE THE KNEE AND APPLY A VALGUS FORCE
外旋膝并施加施加外翻力
LOOK FOR PAIN, CLICKING, OR POPPING AS KNEE EXTENDS
膝伸展时观察有无疼痛、弹响
LATERAL MENISCUS 外侧半月板:
THEN, BEND PATIENT KNEE TO 90 DEGRESS AND INTERNALLY ROTATE THE KNEE AND APPLY A VARUS FORCE
再屈患者膝至90°,内旋膝并施加内翻力
LOOK FOR PAIN, CLICKING, POPPING AS KNEE EXTENDS
膝伸展时观察有无疼痛、弹响
(膝关节疼痛评估(5)-半月板麦氏试验)

25. MENISCAL TEST 半月板试验
APLEY’S GRIND TEST 研磨试验:
PATIENT IS PRONE 患者俯卧
BEND KNEE TO 90 DEGREES 屈膝至90°
COMPRESS KNEE INTO TABLE THROUGHT THEIR HEEL AND REPEAT WITH INTERNAL AND EXTERNAL ROTATION
通过足跟压膝入床,并与内外旋重复
A POSITIVE TEST IS PAIN WITH CLICKING IN THE JOINT LINE OF THE KNEE
试验阳性是膝关节线内有疼痛伴弹响
(膝关节疼痛评估(4)- Apley’s研磨试验)

26. ACUTE KNEE PAIN 急性膝痛
ZIMMER SPLINT 夹板
PROVIDED AT EMERGENCY ROOM (ER) VISIT 在急诊时提供
FIRST VISIT IS USUALLY JUST AFTER INJURY OR JUST AFTER ER VISIT
初诊通常是在损伤或急诊后
IN ANY CASE THE GOAL IS PAIN MODULATION 任何病例的目标都是疼痛调控

27. ACUTE TREATMENT PROTOCOL POST ER 急诊后急性治疗方案
Needle AP:meniscus 针刺AP:半月板
Needle AP + medial/inferior: cruciate ligments
针刺AP + 内/下:交叉韧带
Do not with autoimmune disease
不要有自主免疫疾病
28. High Frequency Electroacupuncture 高频电针
WHEN: Sclerotomal pain (dull, ill-defined, deep)
何时:生骨节疼痛(钝痛、模糊痛、深部痛)
WHERE: joint, ligament, capsule, bone, skin, scar
哪里:关节、韧带、关节囊、骨、皮肤、疤痕
WHY: reduce pain, decrease hypersensitivity (neuromodulate before manual)
为何:减轻疼痛、降低过度敏感(神经调控在手法前)
WHAT:100Hz, self-guided, 15-20 min
如何:100Hz,自导,15-20分钟