导语:肺部出血性肾炎又称抗性基底膜肾小球肾炎、好牧草综合征或好牧草病。可由病毒感染或吸入某些化学物质所致。此病会导致肾小球,以及肺泡基底膜等出现损伤。患者会持续肺出血,以及肾小球肾炎等。大部分病人病情迅速,预后较差。

一、肺出血-肾炎综合征,主要的病因是什么?此病的发病机制如何?
1、发病原因
具体原因尚不明确,可能是多种原因造成的。一般认为这与下列因素有关。
(1)感染
呼吸系统感染,特别是流感病毒感染,是导致这种疾病的常见原因。近些年来,研究表明,卡氏肺孢子虫肺炎患者易产生抗 GBM抗体。
(2)吸入*卡因可**等物质
长期吸烟的患者在服用*卡因可**后3周可发生肺出血肾炎综合征。

2、发病机制
在一些原因下,机体同时产生抗肺泡和肾小球基底膜抗体攻击肾小球和肺,导致 II型过敏。目前尚无关于免疫复合物沉积和补体活化(III型过敏症)发病机制的确切解释。
二、肺出血-肾炎综合征,主要的临床表现有肺出血,以及肾脏病变等
1、此病可在任何年龄段发生
该病可发生于任何年龄,但多为20-30岁之间的年轻男性,病人一般表现为除伴有感冒外,多无发热。常常疲倦、虚弱、体重下降等肺部出血、快速进行性肾小球肾炎及血清中抗 GBM抗体呈阳性反应。
2、肺出血
病人通常不会发烧,除非受到感染。肺部主要表现为咳血。约49%的患者首次出现咯血症状,症状范围从咯血到大咯血。重度(尤其是吸烟者)咯血不仅伴随着窒息,还伴随着气短,咳嗽,哮喘,呼吸困难,有时还有胸痛。叩诊在肺内,听诊能听到湿罗音。肺co吸收速率(Pulmonary co uptake rate, KCO)是反映肺功能改变的早期敏感指标。肾衰和肺水肿的病人,血脂下降,而肺出血的病人血脂上升。

3、缺铁性贫血
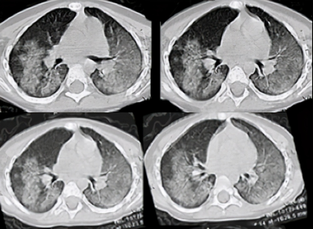
一般而言,肺部症状会在肾脏表现的前几天,几周,甚至几年出现。肺部出血可能是轻微的,严重的或致命的。缺铁性贫血可导致大量或持续出血。当胸口疼痛发生时,应该排除 SLE,血管炎或肺栓塞。线型肺部弥漫性斑块浸润影,散于自肺门至肺外围,常可见肺尖部。肺部病变以咳血和肺浸润为特征。
4、肾脏病变
肾病的临床表现有很多种。肾小球轻微损伤者,尿分析及肾功能正常。以反复咯血为主要表现。肾活检仍能显示典型的抗基膜抗体线性沉积的免疫学特征。肾功能损害在典型病人中迅速发展。
三、肺出血-肾炎综合征,主要的检查方法有尿液检查,以及血液检查等
1、尿液检查
镜下血尿、红细胞小管型、颗粒小管型、白细胞增多,多为中度尿蛋白,少数为大量蛋白尿。

2、痰液检查
痰液中可见巨噬细胞止血。
3、血液检查
如肺出血严重或持续时间较长,可出现严重的小细胞低色素性贫血。在没有进行 cocomb试验的病人中,有一半白细胞大于10×109/L。
4、血液生化
SCR和 CCR在发病初期均正常,但在病情发展过程中, bun、 SCR呈进行性增加, CCR呈下降。GFR<5 ml/min的严重肾功能不全患者。
5、特异性检查
用间接免疫荧光法和放射免疫法对疾病早期的循环抗基底抗体进行检测,血清中的抗 GBM抗体多为阳性。间接免疫荧光法检测灵敏度为80%,放射免疫法检测灵敏度为95%以上。两者的特异性均为99%。如果可能,用免疫印迹法和 ELISA检测抗nc1抗体,就可以对肺出血肾炎综合征作出明确诊断。

6、影像学检查
线型肺部弥漫性斑块浸润影,散于自肺门至肺外围,常可见肺尖部。肺部侵犯是肺部病变的特征之一。肺 x线的早期变化类似于肺水肿,咯血停止后短时间即可吸收。
四、肺出血-肾炎综合征需要和肺肾综合征,以及狼疮性肾炎进行鉴别诊断
1、鉴别诊断
肺部出血性肾炎综合征以肺肾综合征和急进性肾炎为主,其临床表现应与多种疾病相鉴别。
(1)肺肾综合征
除了肺出血肾炎综合征之外,也有许多疾病可导致肺肾综合征,如 ANCA相关性全身血管炎、 SLE、感染性肾炎等。另外,肾静脉血栓形成所致的肺栓塞和末期肾衰竭所致的充血性心力衰竭也可导致咯血。

(2)狼疮性肾炎
急性进展性肾炎患者会出现肺出血和急性肾衰,这很容易与肺出血肾炎综合征混淆。而该病多发生于年轻妇女,一般伴有皮肤、关节等全身损伤,血清免疫检测有助于确诊。
2、并发症
绝大部分病人合并贫血,可出现大量甚至致死性肺出血,可发生呼吸衰竭;肾病综合征,肾功能障碍发展很快,约81%的病人可发展为肾功能衰竭;可发生高血压,肝脾肿大,心脏肿大,可有眼底异常,皮肤紫癜,便血等。
五、肺出血-肾炎综合征,主要的治疗方法有一般治疗,以及肾上腺皮质激素和免疫*制剂抑**等治疗方法
1、一般治疗
强化护理,注意保暖,防寒、戒烟,减少或避免各种可能的致病因素。如合并感染,常使肺部病变反复加重,应尽早积极有效地应用抗菌药治疗,预防和治疗继发感染加重的疾病。已有第三代广谱头孢菌素头孢他啶的研究证实在临床上有效。注射2-3次,剂量2-6 g/d。
2、肾上腺皮质激素和免疫*制剂抑**
肾皮质激素联合免疫*制剂抑**能有效抑制抗基底膜抗体的形成,迅速减轻肺出血的严重性,控制危及生命的咯血。一般而言,用脉冲疗法,1.0-1.5 g/d静脉滴注。

3、血浆置换与免疫吸附疗法
抗GBM抗体可以通过血浆交换或免疫吸附的方式去除。主动血浆置换、免疫*制剂抑**、中剂量皮质激素治疗能有效预防肺出血,改善肾功能。
4、预后
一般只有6-11个月的生存期。大部分人都死于肾衰竭。肾脏移植的长期效果尚待观察。死因通常为严重肺出血和/或进行性肾衰竭。
结语:根据统计,81%的病例在一年内发生了肾衰,而无尿是其预后不良的标志。由于诊治水平的提高,近年来该病的预后有了很大改善。在60年代,死亡率从96%下降到6%-41%,肾功能保持率从4%上升到45%。