巨大纵隔占位
无明显症状
9月大的孩子
纵隔长了什么
什么是纵隔
在人体什么位置
纵隔肿瘤有什么临床表现
常见类型及处置措施
看胸外科专家怎么说
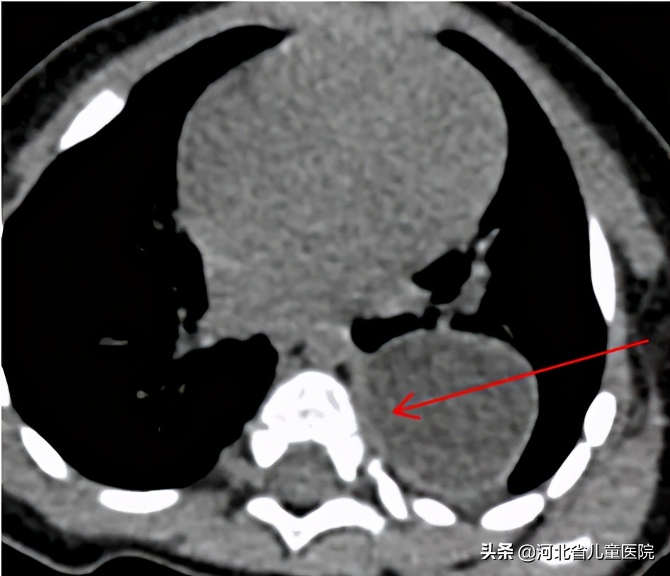
9个月的乐乐,因为咳嗽检查胸部CT,发现存在巨大的纵隔占位,乐乐爸妈很是费解,孩子平时也没啥症状,怎么会纵隔长个东西呢?

— 纵隔及其位置 —
什么是纵隔?纵隔在人体的哪个地方?纵隔位于整个胸腔的中间位置,两侧为纵隔胸膜,前方为胸骨,后为脊柱和后肋,上界为胸廓入口,下界为膈,其内有胸腺、心脏、气管、食管等。

— 纵隔肿瘤临床表现 —
为什么乐乐的纵隔肿瘤长得很大,却没啥症状呢?原来,纵隔肿瘤 临床表现变化很大:
有的可以 没有症状 。有的也可以仅有咳嗽;而当肿瘤侵犯神经时,可以有胸痛;侵犯气管、肺,或者压迫气管及肺时,可以有呼吸困难等 局部症状 。部分肿瘤甚至可以引起 全身症状 。
— 纵隔肿瘤的类型 —
判断纵隔肿瘤是良性还是恶性,要看其组织学来源。纵隔肿瘤组织学来源较多,小儿常见的纵隔肿瘤包括:
1、纵隔神经源性肿瘤,位于后纵隔,脊柱旁,根据组织起源又分为四类:第一类为神经鞘源性肿瘤:神经鞘瘤(良)、神经纤维瘤(良)、恶性外周神经鞘瘤(恶);第二类为自主神经节源性肿瘤,临床最常见:节神经瘤(良)、节神经母细胞瘤(恶)、神经母细胞瘤(恶);第三、四类为副神经瘤、原始神经外胚层瘤,这两种类型略少见。

图为纵隔肿瘤的常见好发部位及种类
2、纵隔干细胞肿瘤,以前叫生殖细胞瘤,分为三类:第一类为良性生殖细胞瘤,包括表皮样囊肿、皮样囊肿、良性畸胎瘤;第二、三类为精原细胞瘤、非精原细胞瘤,儿童少见。
3、胸腺瘤,位于前纵隔,胸腺来源,可能会合并重症肌无力。
4、淋巴瘤,多位于前、上纵隔,儿童发病不少见。
5、气管源性囊肿、肠源性囊肿等,为良性肿瘤,儿童常见。
— 处置措施 —
河北省儿童医院胸外科主任岳芳指出,对不同的肿瘤,需要采取不同的应对措施:

对于 原发性纵隔肿瘤及囊肿,绝大多数首先考虑手术治疗,当前胸腔镜技术成熟,相对于常规开胸手术具有创伤小、术后恢复快的优点,适用于大部分纵隔肿瘤,尤其是后纵隔肿瘤、纵隔囊肿、良性畸胎瘤和较小的胸腺瘤等的摘除。而对于肿瘤巨大或者肿瘤外侵严重者,也可进行开胸手术进行治疗。
活组织穿刺检查适用于 临床上高度怀疑恶性淋巴瘤者,或肿瘤巨大、难以切除干净的情况,以便明确诊断,制订下一步治疗方案。部分特殊类型的肿瘤则需病理证实后行放化疗,如恶性淋巴瘤适合放化疗,非精原细胞性生殖细胞瘤适合化疗等。
所幸,乐乐的纵隔占位经手术切除,术后恢复顺利,病理回报是良性的囊肿,大家悬着的心也终于能放下了。