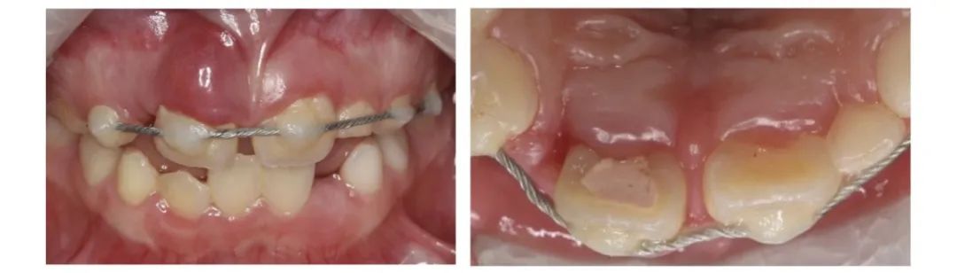
8岁的媛媛户外骑车玩耍时摔倒
导致右上大门牙完全脱出口腔
在当地医院行复位固定术后1周牙龈开始鼓包

媛媛的牙龈鼓了包又肿又痛
经过牙体牙髓学科郜慧慧医师检查发现,媛媛的右上门牙为牙根未发育成熟的年轻恒牙,且牙髓完全坏死,可以通过牙髓血运重建术治疗,来实现右上门牙的“牙髓再生”及牙根的继续发育。
关于牙髓再生
什么是年轻恒牙?
年轻恒牙指恒牙萌出后3-5年的时间内形态和结构尚未发育完全的牙齿,表现为牙根短小,根管壁薄弱,根尖孔敞开的特性。此时的牙齿一旦因为外伤、龋坏或是牙发育畸形导致牙髓坏死或慢性根尖周炎,患牙的牙根就此停止发育,最终导致患牙的脱落,严重的可影响患儿的颌面部发育(颜值)。

龋病、外伤、发育畸形是造成年轻恒牙发生牙髓病和根尖周病的主要病因
什么是牙髓血运重建术?
牙髓血运重建术为目前临床上运用较多的是一种基于组织工程学的牙髓再生治疗策略。顾名思义就是让消失的牙髓“死而复生”,从而让新生的牙髓组织继续为牙根的发育保驾护航。
牙髓血运重建术在彻底消毒根管的基础上,通过刺破根尖引血,将根尖区的干细胞成分带入进根管,以血凝快作为支架材料,诱导其中的干细胞成分增殖分化,从而促进牙根的继续发育。
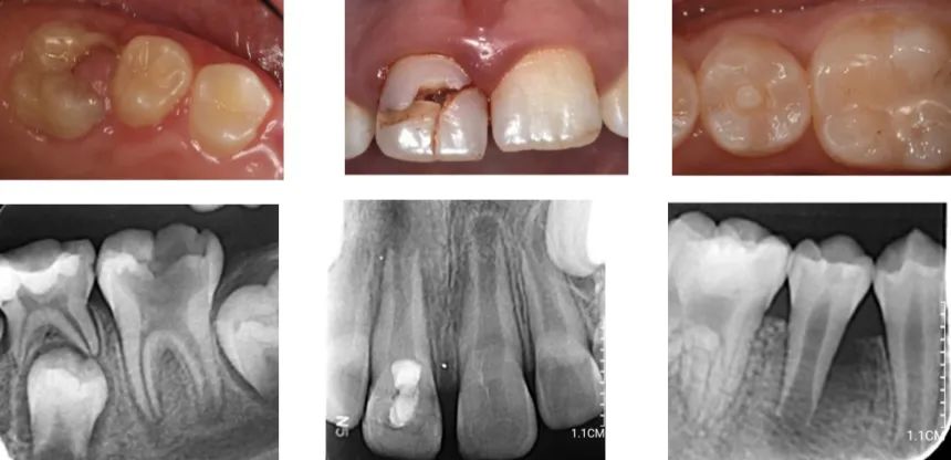
牙髓血运重建术全流程
对于适合做牙髓再生治疗的病例,在显微镜下去除感染坏死的牙髓组织,并通过大量冲洗液的冲洗和根管内封药达到理想的根管消毒效果。

图片来源于网络
第二次治疗一般是在1-2周后,患牙疼痛肿胀等症状消退,可以进入根尖引血的步骤,利用根管锉的机械刺激将根尖血液引入根管,等到血液充盈整个根管并静置形成血凝块,在上方使用生物陶瓷材料等进行严密的冠方封闭。

图片来源于网络
治疗结束后1、3、6、12月,需要密切随访,通过临床及影像学检查评估患牙治疗效果。
医生提醒 ↓↓↓
牙髓血运重建术并非能实现真正意义上的牙髓再生,且治疗过程中可能存在根管内的再感染、髓腔钙化等并发症,一旦治疗失败,可根据患牙情况改行根尖诱导成形术、根尖屏障术、根管治疗等。
养成良好的口腔卫生习惯,认真刷牙,定期做口腔检查,从根源上杜绝增龋病因素造成的牙髓感染。
增强口腔保护意识,做好户外运动的口腔防护,如果孩子喜欢篮球、足球、骑自行车、滑板等,这类对头面部可能造成创伤的活动,建议佩戴头盔、防护牙托等防护用具。