专家介绍:刘万军,主任医师,医学博士,研究生导师;上海交通大学医学院附属第六人民医院/东院; 骨科-关节外科主任医师,东院关节外科负责人,擅长疾病:1、髋关节置换、膝关节置换手术(股骨头坏死、严重骨折手术后髋关节炎、严重髋关节发育不良、严重类风湿性髋关节炎、髋关节僵直、严重老年骨质增生性膝关节炎引起的关节痛);2、髋膝关节翻修术;3、早期股骨头坏死的保髋手术;4、早期膝关节骨性关节炎的保膝手术;5、关节置换术后假体感染及术后骨折;6、各类骨关节疼痛疾病的微创治疗。
病例介绍
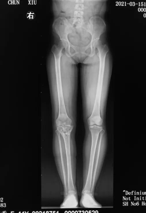
患者杨女士44岁,3年前意外摔伤,右侧膝关节骨折,胫骨平台畸形愈合,导致膝内翻畸形。
3年来杨女士的腿也渐渐变形了,疼痛已经严重影响了杨女士的日常生活,杨女士走遍了上海多家医院,都是建议做关节置换。但一听到关节置换,杨女士心存恐惧,最后经多方打听,慕名来到上海市第六人民医院关节外科刘万军处寻求救治。
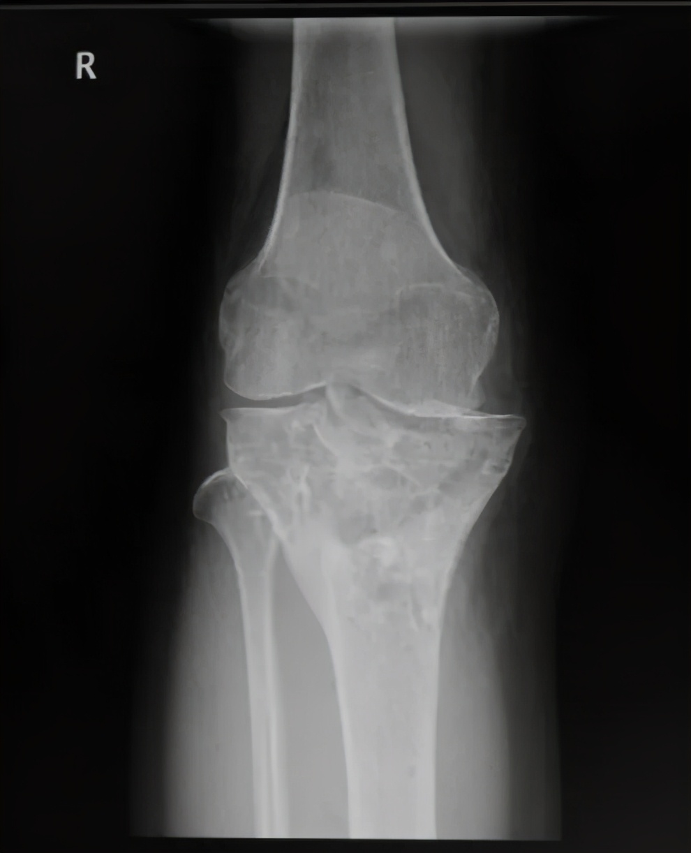
经过详细问诊以及X线检查,发现杨女士胫骨平台畸形愈合,平台大于股骨远端,膝关节对合不佳。刘万军主任决定行胫骨内侧髁截骨(TCVO),经过一系列周密的术前计划,刘主任为杨女士术前量身制作截骨模板,术后杨女士当天便可以下床活动,第二天就可以出院了,看见自己的腿由弯变直,杨女士的脸上露出了久违的笑容,对刘万军主任团队高超的医术赞不绝口。
术前


术中

术后



专家点评


膝内翻俗称“O型腿”,表现为双脚并拢时,双膝不能靠拢。在X线正位片上显示膝关节内外侧间隙不等宽,内侧间隙明显变窄。

正常的膝关节力线都能很好的通过膝关节中心,而在膝关节内翻的情况下,不平衡的力会对膝盖的内侧部分造成过大的压力,从而导致膝关节内侧关节软骨较早发生退变,产生膝关节骨性关节炎。
对于下肢力线发生改变、关节出现畸形,如发生膝内翻的患者,截骨已成为有效的保膝治疗手段。胫骨高位截骨术(HTO)使膝关节负重力线向外侧转移,降低膝关节内侧的压力,不仅缓解疼痛,而且有利于膝关节内侧间室软骨再生。

胫骨高位截骨(HTO)适用于胫骨内弓并伴有内侧间室骨关节炎的早期骨关节炎患者。但对于存在关节内软骨损伤严重并伴有外侧间隙明显增宽的患者并不适用。

胫骨内侧髁截骨(TCVO)是一种胫骨高位截骨的方法,从胫骨内侧近端到胫骨髁间嵴(L型截骨),将内翻力线改变为外翻力线,治疗伴有膝关节向外侧半脱位的重度内侧间室骨关节炎的患者。
TCVO不仅可以矫正下肢力线,也能恢复关节面宽度,改善关节稳定性。减少外侧关节半脱位,负重重新分配到外侧间室,调整外侧间室间隙,改善关节内外翻的不稳性。
总之,胫骨高位截骨术是一个微创手术,仅在骨头上切开一道缝隙,再把截骨面以合适的角度撑开,并用接骨板固定,因此不会有骨头的移除,对于伴有膝内翻畸形的膝关节内侧关节面磨损患者是很好的手术选择。