前几天发布的一篇《1岁后你还在给孩子用奶瓶?后果很严重……》文章,收到了大家的讨论和指正。有人说我家孩子都用到5、6岁,也没见有什么影响。其实关于奶瓶龋,原因肯定不止一方面,平常的习惯和保护当然也很重要。
文章中也只是说长期使用奶瓶可能会带来的一些隐患,给大家一个提醒。但没有说一定会发生。事情都是防范于未然,只是不希望大家像我这样等到发生了去后悔。

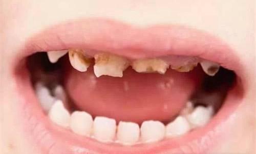
我家皮皮的奶瓶龋很严重,大概一岁半的时候表面就有黄斑,并且有坑,像被腐蚀了一样。去医院检查,大夫说是奶瓶龋,以后要记得过渡换成杯子,因为宝宝喜欢抱着奶瓶睡觉,喝睡着了没办法漱口和清洁。后来我自己也在网上看很多资料,长期使用奶瓶确实可能会产生一些影响,我们就把奶瓶给断了。
可是龋齿的问题已经出现了,刚开始不太严重,大夫建议说,孩子太小了,会很不配合,没办法治疗。要记得多刷牙、勤漱口。当时就只做了简单的涂氟处理就回来了(去的是一家本地市儿童医院)。

图片来源于网络,症状类似
回家后我就坚持每天给他刷牙,但龋齿是不可逆的,它不会自己恢复好,只会越来越严重。而且小宝宝的乳牙很薄,一旦有龋齿,它坏的进程会很快。
感觉也没过多久,皮皮的两颗门牙就被腐蚀的剩下半颗了。直到有一天我给他刷牙的时候,轻轻一碰,就掉了一颗,仅剩下一小点漏出牙床,我就彻底地慌了!

图片来源于网络,症状类似
有人可能会问:坏的是乳牙,等到以后直接换牙行不行?
我也而考虑过这个问题。但想想,别人家宝宝都是一笑漏出一口小白牙特别漂亮,而我家孩子要么黑要么缺损,他当时才刚两岁多,再大点会不会可能变得不自信。
还有,宝宝吃东西也特别费劲,都是用旁边的大牙进行咬、嚼。后来医生也说,长期这样很有可能导致嘴巴变形,而且如果牙齿缺损甚至整颗掉的话,将来恒牙长出时也会受到影响,会长得七扭八歪。
了解了这些,我就断了不治疗等换牙后就好了的想法。

可是,宝宝那么小,该怎么治疗呢?
我们再次去了儿童医院,医生说,这么严重,是得进行治疗了。但需要全麻,因为他太小了不配合。全麻可以一次性全部把坏牙补齐。孩子不受罪,耗时也短,总的下来费用大概一万多。(郑州市价格)
价格很贵是其次,但是全麻啊!虽然医生多次强调,全麻不会有影响的,但面对这么小的孩子我还真的不敢冒这个险。网上查说也可以束缚治疗,但这种能给小宝宝*绑捆**补牙的医院很少,我们去的这家儿童医院就没有。

选择私立医院、束缚治疗
小宝宝*绑捆**补牙,听着就很受折磨的感觉,所以无论谁,都是要下很大决心的。但是我总觉得痛苦点也比心惊胆战的担心全麻后的后遗症强。
一咬牙、一狠心就决定要束缚治疗。决定好之后,我们网上搜索收家医院可以做,效果如何。也去了各个大大小小的牙科咨询,最后选择了一家专注于儿童牙齿的私立医院,也是身边妈妈们推荐的当地较知名儿童牙科医院。
选择儿童私立医院的好处就是,它不想像平常医院牙科治疗对象那么广泛,只是针对而儿童牙齿,而奶瓶龋更是其中的一大主要项目,看牙最小的宝宝也就1岁多。里面专设了很多儿童玩具,让宝宝不会产生抗拒和抵触。并且治疗时也会*放播**动画片,安抚宝宝情绪。
当然费用也不便宜。门牙一颗1200,其它补牙一颗380。皮皮一共补了4颗门牙,其中一颗露了神经,做了根管治疗。大牙全部补,没有坏的也做了窝沟封闭。全程下来,一共花了6800多。
在治疗过程中孩子哭是肯定的,但治完立刻就玩上了,过程总会有点惨烈,结果也终究是喜人的。

治疗过程痛苦,但结果满意
束缚治疗之前需要禁食3-4个小时,防止他哭闹时呛到。并且要带着更换的衣服,因为哭的时间长,孩子的衣服都湿透了。
我们一共去医院了三次。
第一次是去上门咨询、预约补牙时间。
第二次是治疗,共耗时了一个半小时。用了专门的*绑捆**板和束缚带给缠到治疗床,严严实实的把皮皮给裹了起来,一动也不能动。为了让他保持嘴张开的姿势,会在他嘴里塞一个橡胶固定器。治疗时一个人按着头,一个医生主要操作,一个医生打下手(包括吸口水、递工具之类的),而我在旁边坐着握着皮皮的手,让他不至于那么害怕。一场战斗下来全都费不少力气。
皮皮刚开始哭的撕心裂肺,看着他那么痛苦还说不了话,我这当妈的很是内疚和自责。大概哭了半个小时之后,没有了力气,累到睡着了。之后操作就简单了,医生也能专心治疗,效率高很多。
前后的一个多小时,补了两颗门牙两个大牙,因为有一颗有炎症,需要先消炎,下周再去。(如果坏牙不多,没有炎症,可一次性补完)
第三次去的时候,皮皮已经产生了抗拒心里,还没到就已经开始哭,过程比前一次次还要惨。但是因为看到之前治疗后的效果,我还是咬牙狠心,连哄带骗把他拽到了治疗床上。
虽然过程百般痛苦,但治疗结果还是好的,感觉付出了痛苦也值得。况且小孩子心态都很好,虽然治疗时一直哭,但治完立刻就玩上了。
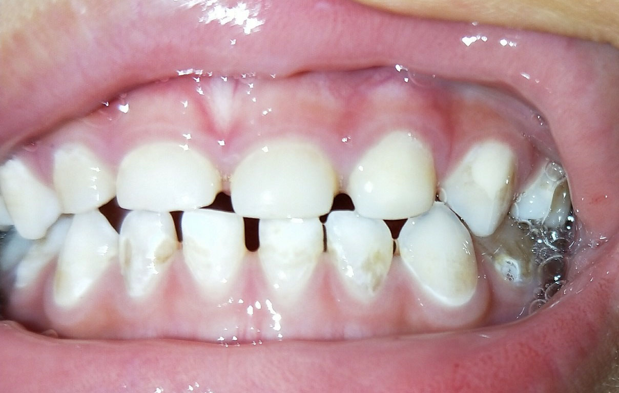
在这也非常感谢医生和护士阿姨们坚持到最后,让我孩子的牙齿治疗进展的非常顺利。给大家看一下治疗后的照片(刚拍的,离治疗后半年)。

其实可以看到皮皮下面的牙也有些坏,但医生说,下面的牙可治可不治,因为小孩子会留口水,腐蚀速度较慢。当妈的都心疼孩子,我就没有选择做。上面的四颗是全部补了,之前有的是剩的一半还很黑,有的基本是没有了。
为什么补得这么短呢?医生说孩子太小,用牙自己没有把握,如果太长,好看是好看,但保不齐哪天咬了硬东西给硌坏了...4颗门牙旁边的*牙虎**当时坏的不严重(就和现在的下牙一样),就是把坏的挑出来补上了一块而已,这样的收费也便宜。大牙全部做了窝沟封闭处理,提前做了预防。
皮皮的牙质属于那种特别不好的,下面的牙齿虽然坏的程度不如上面那么快,但现在比半年前还是稍严重了些,最近打算再去一趟做个复查,听听医生的意见。
建议一些家长不忍心束缚治疗,可以选择全麻。全麻可以一次性全部解决,不用去好几趟,孩子也不受罪。但两种方式各有利弊,看自己的取舍吧。记得一定要选择正规医院!!
最后提醒大家:牙齿的问题跟日常习惯和遗传都有很大关系,因人而异。如果自己的孩子属于容易得蛀牙的状况,请一定更注意口腔护理,以免出现问题,孩子受罪,自己糟心。
祝所有宝宝都能健健康康长大!