其实自从有了鞋子以来,拇外翻就更为明显,外国人研究拇外翻有一百多年历史了,对了:以前的医学里面是没有拇外翻大脚骨这个病名的。不单单是以前,现在很多找我看大脚骨的朋友在当天医院拍个X光片子,然后放射科医生出的结果是:未见异常。
随着人们生活水平的提高,对拇外翻逐渐有了更多的认知,除外先天遗传基因导致的拇外翻,也有部分人和后天长期穿高跟鞋等原因,大脚骨一直保持着较高的发病率,而且大脚骨的发病原因竟与我们的日常生活息息相关,这也就提醒我们大脚骨是一种需要提起高度重视的足部疾病。除了了解大脚骨的发病原因、预防措施之外,大脚骨有哪些特点也应纳入重点了解的范畴。

大脚骨医生
大脚骨发病的特点有哪些?今天我和大家讲讲大脚骨:
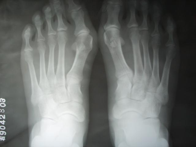
一、足在负重时其前后位的 X光片变化是第一跖骨与近节趾骨的成角即外翻角 ,第一 二跖骨纵轴之夹角称跖骨角,也称跖间角。

大脚骨X线情况
二、拇趾向外侧偏斜,第一跖骨内翻,跖骨头内侧呈赘样突起,并形成第一跖趾关节创伤性关节炎及半脱位,这些都是大脚骨发病的特点。
三、大脚骨由于拇趾的外翻,第二趾被推挤向上与拇趾重叠。
四、大脚骨在第一跖骨头内侧骨性突起处形成疼痛性滑囊炎即拇趾滑囊炎。
五、第一跖 趾骨沿纵轴方向向前内旋转,致使第一跖骨头下的籽骨移至第一跖骨头的外侧。

中度拇外翻
大脚骨的发生,除了上述畸形症状外,还时常会伴随不同程度的疼痛。疼痛主要是因为大脚骨畸形突出部分,长期受到鞋子的摩擦,使得局部皮肤增厚、骨质增生,并可在该处皮下产生滑囊、滑囊炎,引起红肿、疼痛。另外,第二脚趾向脚背方向突起,经常摩擦出现鸡眼等问题,也会引起疼痛。
一般来说,大脚骨的发展较慢,其从轻度发展到严重程度,一般需要数年到数十年时间,如果大脚骨较为明显,且条件许可,可考虑及早手术矫正。
你的身边有没有大脚骨朋友呢?你认为大脚骨有没有必要做手术呢?