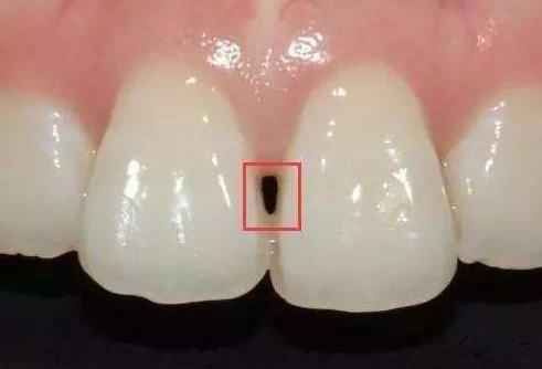
相信很多人都有这样的经历,每天胡吃海喝,不认真刷牙,等在洗漱台仔细照镜子时才发现,牙齿上有黑缝,刷也刷不掉,扣也扣不下来,内心一紧,这是怎么回事?难道有蛀牙了吗?

牙齿有黑缝,是蛀牙?不一定!
出现这种情况,不一定是蛀牙!牙齿里面有黑缝,有可能是由于食物的色素沉淀附着在牙齿窝沟的点隙里,但也不能掉以轻心,有可能是蛀牙,或是蛀牙渐渐发展起来的表现。

色素沉淀形成黑缝有两大原因,一个跟我们的牙齿结构有关,牙齿的窝沟点隙细小,不容易清洁到位;另一个是跟我们的饮食习惯相关,由于我们日常吃的东西大多含有色素,容易附着在窝沟里。色素沉淀的黑缝既不影响牙齿的使用,也不影响牙齿的健康。

正常的刷牙无法去除不干净牙齿里面的黑缝,如果觉得黑缝影响牙齿美观,可以通过洗牙的方式清除黑缝。

但如果是蛀牙引起的黑缝就无法通过洗牙的方式清除。蛀牙产生的黑缝并不像色素沉淀一样附着在表面,它是由里到外发展,当外面产生黑缝时,里面早已被细菌侵蚀,那就只有一个方法可以拯救牙齿——补牙。

牙科医生将把牙齿的腐坏组织磨除,如果蛀牙不是太深,只需要填充缺损的部位,恢复牙齿的健康外形。当如果蛀牙太深,已经蛀到牙神经,只能采用根管治疗的方式。
牙齿健康该如何判断?
判断牙齿有没有龋坏或蛀牙,从色、形、质这三个方面来判断。
色:产生蛀牙的表现不仅仅只是牙齿发黑,有时候可能发棕色、黄色、褐色,甚至白褐色。

质:正常的牙齿是非常坚硬的,质地发软后,用尖锐的探针,就能刮下来。

行:外形发生变化,可能形成一些孔洞。
看完这些,知道蛀牙的厉害了吧。一旦发生蛀牙,不仅要花钱,还要受罪,所以定期检查牙齿健康是一件很有必要的事情。

已经有蛀牙的小伙伴也别太担心,尽快就医,千万别拖着,早期发现蛀牙的治疗费用200~300,发展到需要做根管治疗时,需要3000~4000元,发展到后期,无可救药的时候(你也挺能忍),价格就是一万以上了。