今天6月1日儿童节了,因此,今天跟各位宝爸宝妈科普以下关于口腔的“育儿经”。
不知道你还记得孩子刚换牙齿的情景吗?
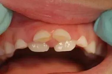
儿童的乳牙第一有松动然后,孩子会有各种不适感,特别是在吃饭时,牙齿松动甚至会有些疼痛,因此父母赶紧带孩子去口腔科拔牙。

牙齿松动真的需要由牙医拔出吗?
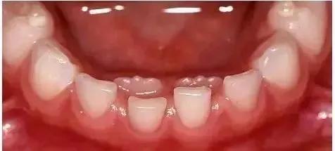
多数口腔精密儿童牙科专家说,在正常的替换期内,不需要拔出乳牙.但是如果有恒牙萌出产生乳牙滞留,就需要将其拔除.(下图)这是大家都熟悉的“双排牙齿”我相信很多父母都遇到过这种情况.

那么乳牙形成的原因又是什么呢?
01,饮食.当前的食物通常非常精细或者太软.儿童乳齿的根没有充分咀嚼,并且仍与牙槽骨紧密相连,因此不易脱落.
02,另一个是当前的孩子.营养过高甚至过剩,因此牙胚会较早发育,而乳牙还没“退位”,恒牙就很难“上位”了!
03,最后有可能乳齿的龋齿可能受损,导致乳齿的根吸收,这可能导致它们随时间脱落.一般在七八岁的孩子中乳牙最为普遍,也常发生于下颚.

除此之外,当孩子的乳牙只是自然的松动时,广大口腔精准儿童齿科的专家就建议各位萌爸萌妈,可以无需急着拔牙,先保持耐心,让孩子多咀嚼比较硬的食物,通过生理性的刺激,以促进乳牙的自然脱落.

家长也可以尝试轻轻转动一下乳牙,如发现牙齿还算稳固,就不要采取硬拽、牵拉等拔牙的“土办法”,以免造成牙周组织的损伤和感染.