男性朋友们经常述说*丸睾**有坠痛感,不是很疼,也不是总疼,但就是隐隐不适,很难受,有的男性朋友们自己还能摸到疙疙瘩瘩的东西,很是担心。当你有这种感受的时候就要考虑是不是患有精索静脉曲张了,那么什么是精索静脉曲张呢,接下来给大家分享一下相关的内容。
精索静脉曲张其实就是咱们男性精索区域的蔓状静脉丛异常的增宽,走形迂曲,它会造成不同程度的疼痛、不适,严重者会影响精液质量,也是男性不孕症的常见原因之一,临床上好发于青壮年。一般好发于左侧,这是由它的生理解剖位置所决定的。
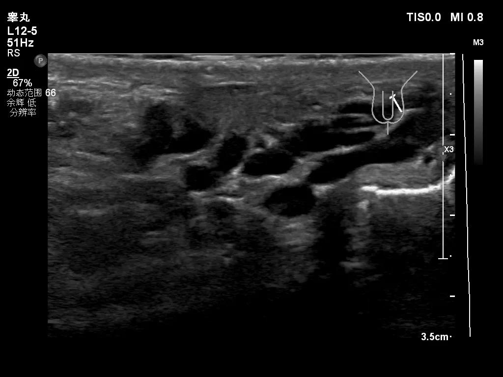
其实我们最关心的是,怎么就可以诊断为精索静脉曲张了,有什么标准,这就需要联合我们的超声检查一起解释了,目前诊断精索静脉曲张需要满足两个条件,1. 精索静脉曲张扩张,内径超过2.0mm;2.乏式实验(其实就是增加腹压的动作),精索静脉内可见大量返流信号(正常情况下,精索静脉瓣膜功能是良好的,乏氏试验后会导致瓣膜关闭,从而阻滞血液返流)。
严重的患者静脉静脉迂曲扩张的非常严重,所以才会摸到阴囊内有疙疙瘩瘩的东西,有时候会摸到一大团,还有触痛。日常接诊中,当患者听到说有精索静脉曲张的时候一般都会很惊讶,一般都会说这个地方还能静脉曲张,因为在我们大家的观念里一说到静脉曲张肯定是下肢,尤其是小腿,会看到好多老年人小腿上突出的如“蚯蚓”状的静脉血管。其实精索区域一样可以发生静脉曲张。
关于治疗,有药物治疗、手术治疗,其实日常接诊的病例来看,好多患者采取了手术治疗,因为精索静脉曲张也是常见的男性不孕的原因之一,所以男性朋友一般都比较谨慎,当然手术治疗也是有严格的适应症的,符合条件,可进行手术治疗。除此之外,日常的工作和生活中,我们也可以做一些努力,比如减少久坐、久站,注意多休息,同时运动应该适度,减少一些增加腹部压力的运动。
通过上面的简单介绍,相信大家有了一定的了解,如果生活中咱们男性朋友经常性的感觉到*丸睾**坠痛感、隐隐不适感,就要引起重视,及时来医院就医,早诊断、早治疗,提高生活质量。后面大家如果还有疑惑不解的地方,可以评论区留言,我会尽可能的及时回复大家。

迂曲扩张的精索静脉

乏式试验下,大量的返流信号