爱美从来都是人的本能,而不是一种奢求。有时候牙齿的一点点改变,都可以给颜值带来很大的变化。
今天要给大家介绍的这位小姐姐,她的牙集中了牙齿拥挤,扭转,不齐,门牙前突等问题。
而牙齿矫正后,肉眼可见的效果,让小姐姐的笑容马上噌噌噌的往上升。

一口好牙真的很重要!
先看一下这位小姐姐的乱牙期:
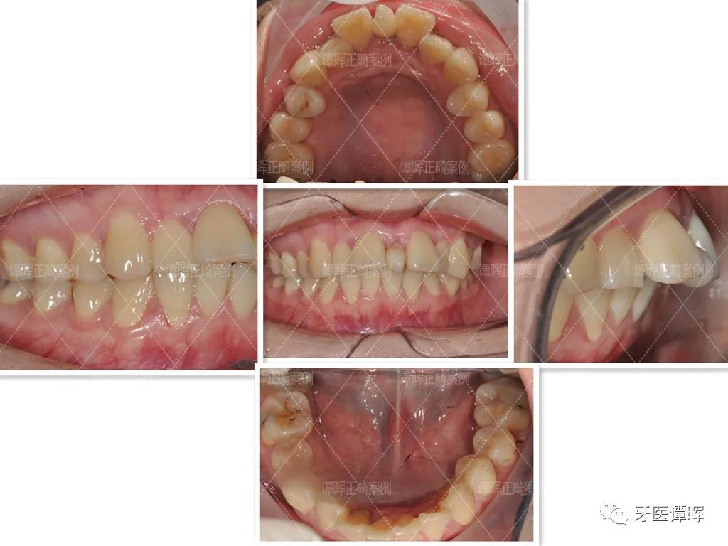
矫正前

△牙齿正面照:牙齿轻度扭转,一个门牙高一个门牙底,上前牙就看着就很不齐,微微张嘴时整体面部曲线不是很好,可以感觉到嘴凸。

△从口内照可以看出,上颌牙不齐,并未排齐在牙弓上。前牙往舌侧倾斜,牙齿也不对称。


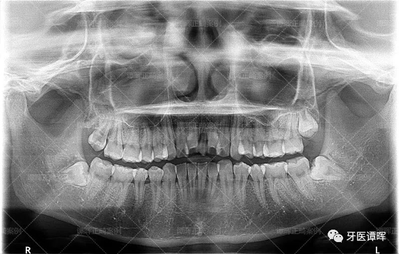
△X线分析:明显看出前牙往前突,上牙的侧切牙也是非常不齐。

俗话说:再漂亮的嘴唇遇到乱乱的一口牙也是一秒拉下神坛。因为前牙往外突,侧牙又往内收,中间门牙小,所以,前牙会显得有点大。如果开口说话,就会显得很不协调!
只是欠缺一场牙齿矫正的丽程,得到的改变会让你意想不到。
给这位小姐姐的牙齿矫正方案是:
1. 扩弓去牙釉,解除拥挤
2. 上颌唇倾排齐牙列
★ 上颌牙一共需要戴34副牙套
★ 下颌牙一共需要戴37副牙套
☆☆☆☆过程分割线☆☆☆☆
矫正后
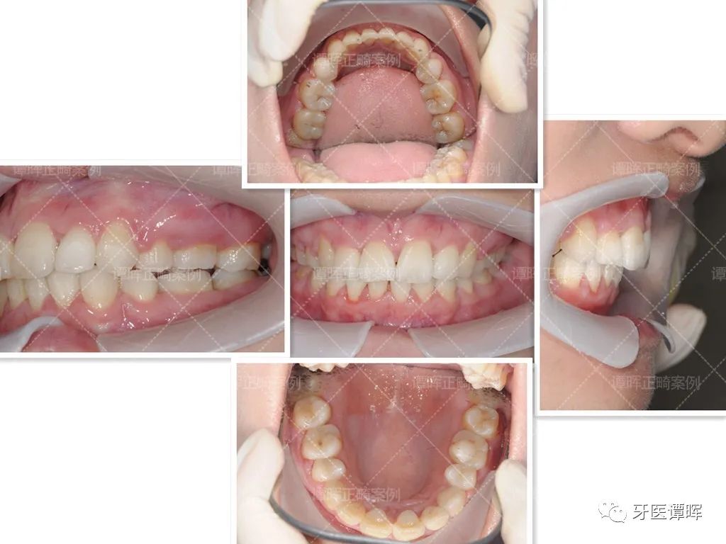
全部牙套戴完,终于毕业啦!惊叹牙套神奇的魔力!所有牙齿得到归齐,从美美的笑容图开始看看效果~

小姐姐的牙齿变整齐后,人也更加变得元气满满。而曾经的她,因为乱乱的牙齿,一度对笑容失去了自信。

从口内照可以看出,牙齿矫正后简直是大逆袭,花了一年半的时间,牙齿即排齐。总之,只要努力就可以改变一切。


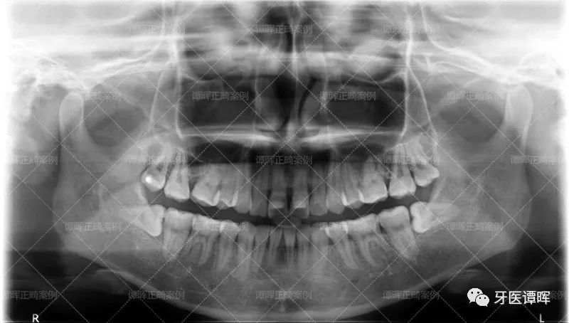
从X线分析图可以明显看出前牙往前突内收,上牙的侧切牙也已排齐,牙列排齐。

从前

现在
从前的她不敢大笑,而且笑起来总是不自然,但现在的她敢露牙大笑。不仅门牙排列整齐,正面微笑脸型也更加柔和了。
如果你也有牙齿不齐的烦恼,那就行动起来吧!