肺部磨玻璃结节有癌变倾向,中医调理结节缩小,磨玻璃阴影消失
前一段时间来诊了一个比较年轻的女士,44岁的年龄,还比较年轻,她是个有癌症家族史的多发体质患者;
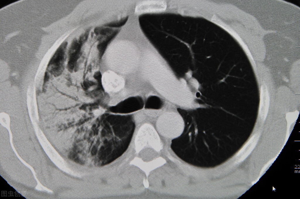
在2021年经检查发现:
1. 右肺下叶磨玻璃密度结节,倾向为早期肺癌,大小约8*8mm.
2. 右肺上叶及左肺下叶磨玻璃密度影,需警惕不典型腺瘤样增生可能,大者约0.6cm
3. 双肺另见多发小结节,倾向良性,大者约0.4cm
20年8月经超声检查右侧甲状腺结节大小约6*4mm.可见血流信号显示
双乳腺体增生并左乳伴良性钙化

来诊症状:喉中有黏痰难咳出,吐稀白唾液,多梦,入睡困难,偶有胃部不适,轻度骨质疏松,受情绪影响左乳及腋下偶疼痛;
这个44岁的女士有多发结节,了解到有家族遗传病史,她的爷爷是肺癌去世,并且她肺部的磨玻璃结节有一定的癌变倾向;
其中有遗传因素,也和患者的个人体质有关,以及外界的影响,比如情绪的波动;

对于这个患者来说她的结节不大,在早期的时候发现,又及时地采取治疗措施,选择中医调理,治疗上中医对患者的体质内环境进行调理改善,对结节发展进行扼制;
主方加以活血化瘀,软坚散结,中药调理一个月的时间;
患者再次复查,肺上的结节缩小一半,并且磨玻璃消失不见,有效地抑制了恶变的倾向,但是对于患者来说需要进行长期调理才能更好的改善内环境,改善体质规避癌症。

想要了解更多结节和肿瘤相关内容,请关注“肿瘤科李军主任”。
如有问题需要咨询,请在评论留言,或后台私信我,我会在出诊之余尽量解答!
