时下全民健身观念深入人心,健身已成为人民生活的一部分。但对于一些人来说,正常行走却是问题,运动健身更是成了一种奢望。
近日,中山七院骨科收治了一名“不敢运动”的患者。27岁的汤女士平日里非常喜欢运动,不管工作多忙每周都会抽出时间来跑步。不曾想,一次摔伤,打乱了她原本平静而规律的生活,运动跑步也成了奢侈品。

3个月前,汤女士上班时因为地面太滑不小心摔了一跤。“当时直接膝盖着地,跪在了地上。”汤女士回忆,左边膝盖仿佛中了一枪,剧痛无比,低头一看才发现髌骨脱离了原来的位置,明显地往外侧翻了出去。
“身边的人立刻帮忙打了电话找医生,打算等医生来再处理,但膝盖实在太痛了!”汤女士说,忍了不到2分钟,她不顾身边人的反对,自己咬咬牙把髌骨硬生生掰了回去。痛感一下子小了很多,但膝盖已经“*工罢**”,越来越肿,她站不起来也走不了路。
汤女士立刻到中山七院骨科就诊,并接受了膝关节支具制动、消肿等对症处理,膝盖肿痛得到了缓解。但她总感觉膝关节不稳,好像稍微动一下,膝关节就会扭伤,一不小心还会出现髌骨向外侧滑脱感,并引起膝关节剧烈疼痛。
汤女士出院后,髌骨脱位的那一幕总是在脑海中“回放”,这使得她日常活动都小心翼翼,不敢快走,下楼梯时必须先迈受伤的左腿,再迈右腿,以前喜爱的跑步更是成了一种奢望。
1周前,汤女士再次出现了髌骨脱位,又一次来到中山七院骨科就诊,完善相关检查后被诊断为——
“左侧复发性髌骨脱位”

医生介绍,复发性髌骨脱位是一种青少年常见的运动损伤,髌骨会反复向外侧脱位,可继发于严重的首次髌骨脱位,但更常发生于伴有解剖异常的膝关节。通常情况下,轻微外伤即可引起髌骨脱位。
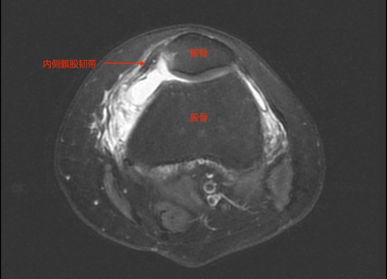
造成复发性髌骨脱位的因素众多,其中,内侧髌股韧带是导致复发性髌骨脱位的主要因素。经检查,汤女士内侧髌股韧带断裂了。
内侧髌股韧带是限制髌骨向外侧滑移的稳定结构。当此韧带损伤时,髌骨就可能发生脱位或者半脱位,引起膝关节肿胀、疼痛及活动受限,严重时还可引起髌股关节面软骨及膝关节内其它结构损伤。

汤女士初次受伤时左膝关节MR提示
内侧髌股韧带自股骨端撕脱
长期反复的髌骨脱位,可继发髌股关节骨关节炎,表现为膝关节前方弥漫性疼痛,上下山、上下楼梯时尤为明显,严重影响患者的日常生活和体育活动。

由于保守治疗无法在根本上解决髌骨不稳的问题,整日提心吊胆的汤女士决心接受手术。恰逢国内顶级运动医学专家刘玉杰教授莅临中山七院交流,他为汤女士进行了专科查体,并详细阅读了她的影像资料。
刘玉杰教授,中国人民解放军总医院骨科主任医师。享受国家政府津贴与*队军**特殊津贴。国内顶级运动医学专家,擅长关节镜微创技术治疗涉及肩、膝、髋、踝、肘、腕等关节及关节外疾患。

对于复发性髌骨脱位,绝大多数患者需要手术治疗。目前有上百种手术方式用于髌骨不稳的治疗,手术方式的选择需结合专科查体、影像学资料及患者的需求进行综合考虑。随着关节镜技术的发展,关节镜辅助下治疗复发性髌骨脱位已成主流选择。
针对汤女士的病情,刘玉杰教授认为应取左膝半腱肌腱移植重建内侧髌股韧带。9月6日,联合刘玉杰教授和中山七院骨科团队一同为汤女士进行了手术——

首先,手术团队通过汤女士左膝髌韧带两侧各1个不足1cm的切口放入关节镜,通过关节镜查看受伤关节内部情况后,对软骨损伤区域进行清理和修整。

术中做关节镜检查
第二步,手术团队从汤女士左膝取出部分半腱肌腱。半腱肌腱作为运动医学科韧带重建手术常规的自体移植材料来源,取出后对膝关节的功能不会产生明显影响,相比异体肌腱及人工韧带更有优势。

最后,手术团队在汤女士髌骨内缘做一个3~4cm切口,将取出的自体半腱肌腱移植,替换原本断裂了的内侧髌股韧带,重建髌骨内侧支持结构。

治疗前后示意图
医生介绍,在移植肌腱最终固定前,需要确定移植肌腱的合适张力:“张力如果太小,限制髌骨外移的作用有限,术后仍会存在髌骨不稳;而张力如果太大,又会影响屈伸膝关节过程中髌骨在股骨滑车上的滑移,从而导致膝关节屈伸受限。”
因此,确保移植肌腱最终的合适张力是手术的难点。术中,团队首先拉紧移植的肌腱,向髌骨施加应力,一点点调节其被动滑动距离,并再次通过关节镜检确认屈伸膝过程中髌骨在合适的轨迹活动后,最后才用螺钉固定,为汤女士移植肌腱设置了合适张力。
划重点!
关节镜技术有什么优势?

关节镜手术的难度在于关节镜技术的运用。关节镜技术作为运动医学的核心诊治手段,借助光学仪器和微型化手术器械,不仅可以在直视下完成各种关节内损伤和疾病的诊断,是关节内损伤和疾病诊断的金标准,更是一种疗效确切的治疗手段。
与传统关节切开手术相比,关节镜手术具有创伤小、术后恢复快、并发症发生率低、住院周期短等优势。随着科技的发展,目前关节镜技术已应用于全身各个关节,包括髋、膝、踝、肩、肘、腕关节及手和足部各关节,甚至关节外部位。
由于采取关节镜微创手术,术后当天汤女士就可以下地活动了。医生介绍,通常情况下术后2-3周可进行完全负重行走,3个月后可进行慢跑,术后6个月可重返运动。相信在不久的将来,汤女士能放松心中绷紧的神经,迈出自信的步伐,重新回到运动场上。

汤女士术后恢复
这是中山七院开展的首例膝关节镜手术。随着中山七院“三名工程”工作的全面推进,中山七院骨科将不断加强与国内外知名医疗机构的交流与合作,不定期选派科室技术骨干外出学习,推动科室人才队伍建设,勠力同心、锐意进取、实现专科大发展,为广大患者提供优质医疗服务。

手术过程中
Tips:
1、髌骨脱位必须手术吗?
对于首次髌骨脱位可考虑保守治疗,急性期制动消肿后,可予髌骨固定带固定髌骨,助行器辅助下地活动,并在医生指导下进行功能锻炼,固定6-8周后可逐渐恢复运动。
经保守治疗后髌骨不稳,甚至再次脱位者,应考虑手术治疗。对于复发性髌骨脱位,目前主张手术治疗。长期反复的髌骨脱位,不仅影响生活质量,而且可导致膝关节软骨损伤,继发髌股关节骨关节炎。
2、复发性髌骨脱位手术疗效如何?
目前,复发性髌骨脱位手术方式很多种,手术方式的选择需专科医生进行综合考虑,随着关节镜技术的发展,关节镜辅助下微创治已成主流选择。
只要是治疗的方法正确,再加上适当的康复和正确的功能锻炼,通过手术恢复髌骨稳定性、重返运动是完全可能的。
3、髌骨脱位术后恢复需要多长时间?
术后康复时间需结合手术方式和患者个体因素综合考虑,通常,术后即可在支具保护下负重行走,术后6个月可重返运动。

指导专家
刘少喻
中山七院骨科主任
教授、博士生导师、主任医师
任国际脊髓学会中国脊髓损伤学会副主委、中国残疾人康复协会脊髓损伤专业委员会-国际脊髓学会中国脊髓损伤学会常委( CARD-ISCoS),广东省医学会脊柱外科分会和腰椎学组顾问、中国康复学会骨与关节及风湿病专业委员会副主任委员,中国康复学会脊柱脊髓损伤专业委员会颈椎学组副主任委员、广东省中西医结合学会脊柱医学专业委员会主任委员、中华医学会医疗事故鉴定成员。
擅长上位颈椎疾患、颈椎病、脊柱脊髓损伤、脊柱畸形、脊柱退变、脊柱感染、脊柱肿瘤,尤其是颈肩腰腿疼的诊治,对脊柱疾患的康复治疗有较高的造诣。
王东
中山七院骨科副主任
副主任医师、博士生导师
广东省杰出青年医学人才。曾赴比利时鲁汶大学附属医院创伤骨科接受AO Trauma fellowship培训。现任中华医学会显微外科学分会青年委员会委员,中国医师学会显微外科学分会再植委员会委员,中国老年医学学会骨与关节分会创伤骨科专业委员会委员,广东省医学会显微外科学分会青年委员会委员,《中华显微外科杂志》特约编委。2014年获得广东省科技技术奖励一等奖。
擅长四肢复杂骨干、关节内骨折及骨盆骨折的治疗;肢体严重开放性损伤的治疗;四肢骨不连、骨缺损的手术治疗;肢体周围神经卡压综合征的诊断与治疗。研究方向为周围神经损伤修复及四肢骨缺损再生修复。
文/胡燕青
编辑/李艾琳
初审/刘少喻
审核/江清浩
审核发布/*党**宣办
