医脉通编辑整理,未经授权不得转载。
嗜酸性筋膜炎(EF)是一种少见的全身性炎症性疾病,病因不明。其诊断具有挑战性。本文报告一位41岁的妇女,因前臂肿胀,皮肤紧绷伴手指收缩1月而就诊。基于病史、体格检查、组织病理学检查和磁共振成像结果,考虑诊断为EF。
病例简介
患者,41岁,女性,既往病史包括患有哮喘(控制良好)、甲状腺功能减退(甲状腺素控制)和胃食管反流病。因双侧前臂肿胀,皮肤紧绷伴手指挛缩1月而就诊风湿科门诊。患者没有其他身体症状,也没有雷诺氏现象、体重减轻或肠道习惯改变的病史。
体格检查显示前臂皮下组织水肿和硬化。双前臂皮肤沿浅静脉呈线状凹陷,与沟槽征一致。患者无法弯曲或伸展手指,也无法握拳或握持物体。手指和手掌上的皮肤是正常的。她的脸未受影响。无恶性肿瘤或感染的临床特征。
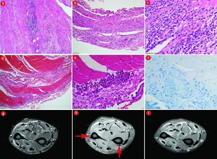
实验室检测显示嗜酸性粒细胞计数升高1.8×109g/L(正常范围0-0.5×109g/L)。C反应蛋白轻度升高,肌酸激酶和血沉正常。类风湿因子、抗核抗体、可提取核抗原、乳酸脱氢酶阴性。前臂皮肤和肌肉的全层活检显示炎症过程涉及骨骼肌及其周围的间质组织,偶有肌肉坏死和一些再生纤维,筋膜纤维结缔组织中嗜酸性粒细胞增多(图1a-f),证实了EF的诊断。磁共振造影显示前臂肌肉间广泛的双侧增厚筋膜(图1 g-i)。
明确诊断后,患者开始口服0.75mg/kg的泼尼松,持续4周,随后逐渐减少剂量。患者显著的缓解,肢体肿胀减轻,行动正常。但是,患者随着激素剂量逐渐减少,疾病复发,故重新开始大剂量的激素治疗,同时口服甲氨蝶呤每周20mg,治疗效果良好。

图1
讨论
嗜酸性筋膜炎(EF)是一种少见的全身性炎症性疾病,病因不明,其特征是皮肤对称性肿胀和硬结,仅局限于手臂和/或腿部的远端,后逐渐演变成硬皮病样外观,并伴有外周血嗜酸性粒细胞增多。通过全层皮肤活检和/或磁共振成像(MRI)进一步证实诊断。糖皮质激素治疗仍然是标准的治疗方法,无论是单独使用还是免疫抑制药物。
EF的病因尚不清楚。常见诱因包括与局部创伤、剧烈运动、自身免疫性疾病(如甲状腺疾病)和感染等。此外,EF可能与血液系统疾病如再生障碍性贫血有关。也有报道与实体器官肿瘤和骨髓移植有关。支气管哮喘和过敏性哮喘在文献中已有报道。
EF影响四肢,不影响面部,通常开始时疼痛肿胀,四肢收紧,在数周至数月内发展为纤维化,导致屈曲挛缩和行动受限。沟槽征(抬升患肢时沿浅表静脉路径的凹陷最明显)是EF最典型的表现,它的存在将EF与没有雷诺现象的硬皮病区别开来。
外周血嗜酸性粒细胞病在大多数EF患者中可见,虽然不是诊断的必要条件。大约一半的患者有ESR升高和高丙种球蛋白血症。血清抗核抗体不存在。
全层活检(包括皮肤、筋膜和肌肉)是诊断EF的金标准检查。深部真皮和筋膜受累是典型的疾病,有助于排除类似疾病,如硬皮病和硬皮病样综合征。在疾病的早期,深部皮下组织和筋膜水肿以及淋巴细胞、浆细胞、组织细胞和嗜酸性细胞浸润通常可见。随后,真皮和筋膜深层胶原增厚和硬化,炎症细胞浸润消失。邻近肌肉也可见增厚和炎症。如果无法获得活检或尚无定论,则可以使用MRI对患处进行确认,以确认筋膜炎症。
由于该疾病的稀有性,在治疗该疾病的治疗功效方面证据有限。大剂量糖皮质激素仍是一线治疗。在复发病例或对糖皮质激素不完全反应的病例中,可联合免疫*制剂抑**。用于治疗EF的其他治疗药物是霉酚酸酯、羟氯喹、磺胺嘧啶和硫唑嘌呤等。对于少数难治的患者,可考虑使用生物制剂如英夫利西单抗和利妥昔单抗。在激素反应不充分或治疗延迟导致关节松解的情况下,有时需要手术干预。
小结
EF是一种病因不明的罕见全身性炎症性疾病。在周围嗜酸性粒细胞增多的情况下,临床检查对于诊断EF是必要的。通过组织病理学检查进一步证实。全身性糖皮质激素是一线治疗。在复发或耐药的情况下,可以使用免疫抑制药。
医脉通编译整理自:Mahdi AS, Nasr IH, Al Jahdhami S, Kamona A, Al Wahshi HA. Eosinophilic Fasciitis Responds Well to Steroids and Methotrexate. Oman Med J. 2019;34(6):564-567. doi:10.5001/omj.