有些人会突然发现自己的牙齿变长,牙缝变大了,或者不知不觉感觉齿根开始暴露,牙齿变得敏感,更有甚者,牙齿按上去已经有些松动,这些都可能是牙龈退缩的症状。
牙龈萎缩有什么问题?
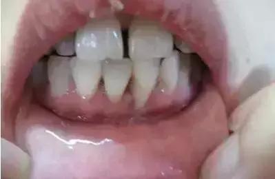
首先,如果你还年轻,那么牙龈萎缩会让你笑起来,变得,很丑!!!

这样,或者,这样。

已经,这样。
想象一下,如果一笑露出这样的牙齿。真的,什么妆容、礼服、包包都没用了。即使直接长成宋慧乔也没用了!
或者你会说,哎呀人家还年纪轻轻的,怎么会牙龈萎缩的呢?
哎,30来岁就开始萎缩的大有人在啊!主要是因为龈缘部分存在异物,又长期得不到清理,细菌滋生菌斑长期刺激所致。也就是说,那么多年来,你都不知道怎么好好刷牙!!
而且牙龈萎缩这件事情吧,并不只是牙龈的问题,它和还跟牙周病息息相关。终极发展之路就是,牙齿松动脱落的悲剧。
最最可怕的是,来,跟我们一起在心里默念三遍:
牙龈退缩是不可逆的!
牙龈退缩是不可逆的!
牙龈退缩是不可逆的!
现在,在了解了问题的严重性之后,我们再来严肃的谈谈如何防止牙龈退缩。其实要点很好掌握:保持口腔清洁是延缓牙龈萎缩的最有效的方法!
1、定期进行口腔检查。牙周炎、牙结石、口腔溃疡、牙龈炎、牙龈脓肿、食物嵌塞及不大合适的假牙等,都是刺激引致牙龈萎缩的原因,所以应定期到医院口腔检查,以便对症处理。
2、每6到12个月洁一次牙,是预防牙龈炎症的有效措施。已有牙周病症状的患者,应及时接受系统牙周治疗。
3、掌握正确的刷牙方法。使用刷毛较软的牙刷。牙膏以含氟牙膏为佳,其中含的磨擦剂应粗细合适。同时要学会正确的竖刷法刷牙,刷牙要动作轻柔,不要用力过猛。每天刷牙2-3次,晚睡前的一次必不可少。在必要的情况下使用牙线清理牙刷难以到达的位置。在来不及或不方便刷牙时,可用漱口代替。
4、治疗全身性疾病,如营养障碍、糖尿病、内分泌紊乱、骨质疏松等。纠正开口呼吸等不良习惯。多吃青菜、水果、豆制品、牛奶、鱼、蛋类、粗粮、纤维多的食物。戒烟戒酒。严防环境污染。砷、铅等中毒可导致牙周炎,牙龈水肿及牙龈萎缩,故应重视自己的工作和生活环境质量,避免接触有毒物质。
5、选择优质的口腔修复体。在一些技术水平不高、操作不规范的诊所镶牙,是产生不良修复体的的主要原因。不良修复体做得不好的假牙不易清洁,细菌滋生刺激,也会使牙龈萎缩。