鼻骨是面部最常见的骨折部位,且约50%合并邻近结构骨折。骨折多发生于鼻骨下1/3,有单纯线形骨折、粉碎性骨折及复合骨折3种类型。严重者可同时致鼻窦、眼眶、颅底发生骨折及颌面复合性骨折。
PART ONE 诊断
主要根据损伤史,临床特点和局部检查来确定。
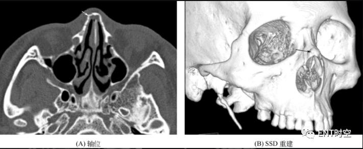
1.症状 外鼻肿胀和畸形、鼻出血、鼻部疼痛、头痛、头晕,严重者可出现脑脊液鼻漏及休克症状。 2.体征 (1)鼻骨骨折可引起外鼻畸形,如外鼻歪斜或下榻,外鼻平坦。软组织挫伤,鼻部和眼睑部淤斑。有皮下气肿时,外鼻触诊可有捻发音。鼻腔内流清水样分泌物可能为脑脊液鼻漏。(2)鼻腔内检查可发现鼻黏膜损伤、鼻出血、鼻中隔偏曲及血肿。 3.辅助检查 (1)鼻骨X线平片作为初步检查方法;(2)CT最可靠,能够准确判断骨折类型、骨折断端移位方向及程度和邻近结构骨折。另外,SSD图像能直观地显示骨折情况。见下图。

图 鼻骨骨折
(A)示右侧鼻骨骨质中断、成角;(B)立体显示骨折情况
应与鼻骨缝及其变异鉴别: 鼻骨缝多呈锯齿状,不移位,且均有固定解剖部位,包括鼻颌缝、鼻额缝、鼻骨间缝及额颌缝。解剖变异常见的有鼻骨孔和缝间骨,鼻骨孔位于鼻骨的中下部,也表现为骨质不连续,但边缘多较为光滑,欠锐利,无骨变形。缝间骨位于鼻骨间缝、鼻颌缝处,呈点状,紧邻骨缝,且与邻近连接骨走行一致。另外明确的外伤史和局部肿胀、针刺样压痛能帮助诊断。
PART TWO 治疗
1.单纯鼻骨骨折无错位者,无需复位 。 2.骨折伴畸形者在2~3小时内,局部软组织无明显肿胀,即刻复位;若已明显肿胀,应待消肿后行复位术;超过2周,局部骨痂形成,复位不易。
闭合式鼻骨骨折复位术
儿童及成人配合欠佳者全麻,多数成人可行局麻下手术。1%麻黄碱和1%丁卡因棉片行鼻腔黏膜表面麻醉。特别注意:复位器械伸入鼻腔的长度不能超过两侧内眦连线,以免损伤筛顶。
1.单侧鼻骨骨折
将单柄的复位器或剥离器等缠绕一层凡士林油砂布或紫草纱条后,轻轻放入骨折侧鼻腔,抬起骨折部位,另一只手在另一侧鼻外侧协助(如下图)。

单侧鼻骨骨折复位示意图
2.双侧鼻骨骨折
将双叶鼻骨复位钳的两叶分别伸入鼻腔至骨折部下后方,轻轻向前上用力,抬起塌陷的骨折部位。
3.合并鼻中隔骨折,脱位偏曲
同步复位,先将双侧复位钳两叶置于鼻中隔偏曲处的下方,钳住鼻中隔垂直向上移动至正中后,再复位骨折的鼻骨。
4.复位后操作
复位后鼻腔填塞,膨胀海绵、油纱条、紫草纱条或碘仿纱条48小时左右,起支撑和止血作用,抗生素预防感染。合并脑脊液鼻漏时禁止填塞。
5. 合并鼻中隔脓肿和血肿应尽早手术清除并引流。
6.复合性或开放性骨折及鼻骨骨折时间较长者,不适合鼻内复位,应在全麻下行开放性复位术。必要时多学科合作手术。
PART THREE 注意事项
1.鼻外伤后24h内给予局部冷敷,24h后给局部热敷。
2.观察生命体征变化及面部肿胀情况。使用抗生素。
3.有鼻骨骨折者适度休息,及时复位,鼻腔纱条填塞于24~48小时取出后,嘱患者勿用力擤鼻,以免发生皮下气肿使感染扩散。保持口腔清洁,必要时行口腔护理。
4.伴有颅底骨折者绝对卧床,禁擤鼻、禁鼻腔滴药,在鼻腔少量出血时暂不要用填塞物填塞鼻腔,以观察鼻分泌物性质、出血的部位,综合判断有无脑脊液鼻漏的发生 PART FOUR
小结 鼻外伤是鼻科常见的外伤性疾病,复合性外伤常合并鼻颅底及颅面骨(包括眼,鼻窦,颧弓等)多处骨折,伴发程度不等鼻出血,颅底及颜面部并发症。影像学检查,特别是CT技术,有助于确定诊断。根据综合症状、体征及合并症进行及时的骨折复位和多学科治疗,十分重要