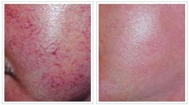
真正的遗传性*血丝红**病变部位在血管壁,表现为毛细血管扩张、动静脉畸形和动脉瘤。
这类*血丝红**一般血管壁薄、弹力纤维缺乏、平滑肌缺乏、毛细血管壁和小动脉壁仅有一层内皮细胞组成,血管迂曲或扩张,造成皮肤*血丝红**明显或是血管破裂而出血。
遗传性的*血丝红**很少,但一般皮肤会遗传,比较薄而敏感,再由于小时候护理不当导致产生轻微*血丝红**,随着时间的增长,*血丝红**也就变得越来越明显。
而此类*血丝红**小时候一般不容易发病,只是皮肤红,极少数在儿童期会发病。一般发病都在20-30岁之间,最突出的就是受累血管破裂出血,会在同一部分反复出血。
*血丝红**如何护理呢?

洗脸不能用过热的水洗,清洗的时间不要过长,不然会烫坏皮肤组织。也不能用力过猛,使劲的去搓去蹭皮肤。
皮肤是个敏感的部分,一定要选择适合自己的洁面护肤方式。不要过多的信一些偏方,破坏了皮肤组织。去除*血丝红**应该注意的问题充足的水分能让肌肤表皮细胞时刻呈现活力,让肌肤富有弹性,有助*血丝红**修复,使肌肤呈现健康的状态。
而选择一款质地温和的护肤品也是重中之重。*血丝红**的皮肤要做好防晒的工作,以免紫外线对皮肤产生巨大的刺激,了解自己的肤质特点和防晒需要,选择一款温和清爽的防晒产品,*血丝红**的皮肤相当敏感,最好选择物理性防晒为主的,避免防晒品给肌肤造成不必要的刺激。
经常按摩*血丝红**的位置能促进血液循环,早晚清洁皮肤的时候可以对潮红部位多加按摩,可以促进血液循环减轻潮红程度,但是切忌用指甲去抓,我们面部的角质层并没有那么厚,直接用指甲抠会损伤肌肤,造成皮肤更加敏感容易泛红。
用指肚做针对性的按摩,才是正确的方法。 精神压力过大也会导致肌肤过于干燥、泛红与*血丝红**情况加重,要学会调节心情,保持轻松愉快,生活轻松点,这样有利皮肤自我修复。
修复脸上*血丝红**的方法不要用一些粗糙的毛巾擦洗,最好买一些质量比较好的洗脸棉,而且这样也有利于把洗面奶擦洗干净。
使用“三无”的保湿与修复类的产品,也就是说无酒精、无香料、无防腐剂的保湿与修复护肤品,不仅可以解决肌肤干燥的问题,更可以避免肌肤受到刺激。去*血丝红**最好的方法多食用牛奶和蔬菜瓜果,少吃辛辣食物,高温与辛辣底料也让毛细血管持续扩张,导致面部的*血丝红**症状更严重。
每个人的肤质都不同,要彻底解决肌肤问题,关注公众号: ydjmei