
顾建文,解放军306医院,脑科医院,整理
颅内静脉系统血栓形成( cerebral venous sinus thrombosis , CVST )是指由于多种病因引起的以 脑静脉回流受阻、常伴有脑脊液吸收障碍导致颅内高压为特征 的特殊类型脑血管病,在脑血管病中约占 0.5% ~ 1% 。在加拿大的一项报告中, 18 岁以下儿童的发病率为 0.67/10 万,其中新生儿占 43% ;与之相对比,在荷兰的一项报告中,成人发病率为 1.32/10 万,其中 31 ~ 50 岁的女性发病率为 2.78/10 万;女性产褥期 CVST 发生率较高,可达 10/10 万,约占所有 CVST 的 5% ~ 20% 。我国没有相关流行病学数据,但随着临床医生对本病的认识和诊断技术的提高,本病并不少见,尤其在 口服避孕药和围产期女性中更应值得重视 。病变部位可原发于脑内浅静脉、深静脉或静脉窦,其中单纯浅静脉血栓形成罕见,多由于脑静脉窦血栓延伸而来;深静脉血栓形成则以大脑内静脉和大脑大静脉多见。 60% 以上患者病变累及多个静脉窦,其中以上矢状窦发生率居首位。由于脑静脉与静脉窦之间、静脉窦与静脉窦之间,以及静脉窦与颅外静脉在解剖上存在吻合、彼此沟通,当静脉(窦)血栓形成时,血栓累积范围、侧支循环的差异等因素导致临床表现复杂多样,可从无临床症状到病情严重甚至死亡。
2013 年一项对 11400 例 CVST 住院患者的病死率调查显示, 15 ~ 49 岁为 1.5% , 50 ~ 64 岁为 2.8% , 65 岁及以上为 6.1% 。由于患者凝血与纤维蛋白溶解(纤溶)状态的波动导致患者病情呈缓解与加重交替,本病多数 亚急性或慢性隐匿起病 ,除海绵窦血栓形成外,其 临床症状缺乏特异性 ,因而极易漏诊和误诊,其漏诊率可达 73% , 40% 的患者平均诊断时间在 10 d 以上。

病因和危险因素
CVST 在各年龄组均可发病,成年人发病高峰年龄多在 20 ~ 30 岁 ,男女之比为每年 1 ∶ 1.5 ~ 5 ,常无高血压、动脉粥样硬化、冠心病等病史。年龄及病变部位与病因或危险因素有一定关系。
病因:
1. 感染性因素: 头面部或其他部位化脓性感染或非特异性炎症 2. 非感染性因素: 高凝状态、血液瘀滞、血管壁损伤以及各种低颅压等,部分原因不明。
危险因素: 包括 各种遗传性或继发性的血栓形成倾向(如蛋白 C 、蛋白 S 或抗凝血酶Ⅲ缺陷)、高同型半胱氨酸血症、妊娠、产后或口服避孕药物、各种急慢性感染或炎性疾病、各种血液系统疾病、肿瘤或外伤等,但部分患者原因不明 。不同年龄段患者的危险因素不尽相同,婴幼儿以脱水和围产期并发症多见,儿童以头面部急慢性感染多见,而成年女性则以口服避孕药物和围产期并发症多见。与国外报道不同,既往认为我国患者中Ⅴ因子 Leiden 突变、凝血酶 G20210A 突变、蛋白 C 、蛋白 S 或抗凝血酶Ⅲ缺陷发病率低,这些遗传性血栓形成疾患被认为不是国人 CVST 的主要病因。但近年来随着对这类疾病的重视,其检出率也逐年增高。总之, 多种危险因素促使的血管壁损伤、血流动力学异常以及血液高凝状态是 CVST 的主要发病机制 。
推荐意见: CVST 的病因和危险因素复杂多样,建议积极查找各种导致血液高凝状态和血液瘀滞的因素及排除感染的可能性(Ⅰ级推荐)。

临床表现
一、一般临床表现
CVST 大多为亚急性( 48 h ~ 30 d )或慢性( 30 d 以上)起病,症状体征主要取决于静脉(窦)血栓形成的部位、性质、范围以及继发性脑损害的程度等因素。
1 .颅内高压和其他全脑损害:
头痛是 CVST 的最常见症状,约 90% 的病例可出现头痛,多由颅内高压或颅内出血引起。静脉(窦)血栓既可直接导致小静脉和毛细血管压力增高,也可通过减少脑脊液吸收而促使颅内压增高,最终引起脑动脉灌注减少和血脑屏障破坏,出现缺血性损害以及细胞毒性或血管源性水肿,甚至可因血管壁破裂而出现脑实质出血。在有血栓形成倾向的患者中,血栓可致一侧或双侧横窦或乙状窦狭窄或闭塞,减少脑脊液吸收而产生所谓 " 良性颅内高压征 " 。虽然尚不清楚静脉窦狭窄是否是颅内压增高的发病机制,抑或只是颅内高压的结果,但此类患者多有明显的头痛、视力障碍、视乳头水肿和搏动性耳鸣,经静脉窦支架术降低颅
内压后能明显改善部分患者的临床表现。 20% 左右的患者因颅内压增高入院时即有意识障碍,入院时昏迷是预后不良的强烈预测因素。认知功能障碍可出现于 30% 以上的患者,特别是在深部 CVST 和持续性脑实质受损时。
2 .局灶性脑损害:
由于静脉回流受阻,可导致 静脉性梗死或出血性脑损害 。局灶性神经功能缺损是 CVST 的常见表现,可单侧或双侧,或左右交替出现,包括中枢性运动障碍、感觉缺失、失语或偏盲等,见于 40% ~ 60% 的患者。
3 .痫性发作:
部分性或全身性痫性发作有时可作为 CVST 的唯一表现, 40% 的患者可有痫性发作,围产期患者甚至高达 76% ,较动脉性卒中多见。
4 .硬脑膜动静脉瘘的临床表现:
CVST 常与硬脑膜动静脉瘘同时存在,其发生率可达 39%,血栓多位于动静脉瘘的附近或引流静脉的下游,窦的回流则多以皮质静脉为主,出现头痛、搏动性耳鸣、颅内出血等表现,而在静脉(窦)血管再通后,瘘口常可闭合。部分 CVST 经治疗后血流虽已部分或完全恢复,但在数月或数年后仍可在血栓部位附近形成硬脑膜动静脉瘘。一般认为, CVST 所致的静脉(窦)高压可促使硬脑膜生理性动静脉分流开放,形成病理性动静脉短路,并通过局部大量生成的血管生成因子促使新生血管生成,进而形成动静脉瘘。

总之,对急性或反复发作的头痛、视物模糊、视乳头水肿、一侧肢体的无力和感觉障碍、失语、偏盲、痫性发作、孤立性颅内压增高综合征,不同程度的意识障碍或认知障碍,以及不明原因的硬脑膜动静脉瘘均应考虑 CVST 的可能。
二、不同部位 CVST的临床表现
1 .上矢状窦血栓形成:
大多为非炎性,以婴幼儿、产褥期妇女和老年患者居多。临床表现与血栓形成部位、引流区受累范围以及基础病变有关。常为急性或亚急性起病,早期即可出现颅内压增高的表现,如头痛、呕吐、视乳头水肿等。婴幼儿可见喷射状呕吐,颅骨缝分离,囟门隆起,面、颈、枕静脉怒张。血栓部位靠上矢状窦后方者,颅内高压更为明显,可出现不同程度的意识障碍。如累及脑皮质静脉,可出现局限或全身性癫痫、偏瘫、偏身感觉障碍、双下肢瘫伴膀胱功能障碍、失语等表现。
2 .横窦、乙状窦血栓形成:
可为炎性或非炎性,血栓向远端延伸,累及上矢状窦或直窦;向对侧延伸,形成双侧横窦、乙状窦血栓。血栓向近端延伸,导致颈静脉血栓形成。如果继发于化脓性中耳炎、乳突炎,除原发疾病的炎症表现(如局部皮肤红肿、疼痛、压痛)外,主要表现为头痛、呕吐、视乳头水肿等颅内高压症状和体征,也可伴有精神症状。若炎症向岩窦扩展,可出现三叉神经和外展神经瘫痪;向颈静脉扩展,则可出现颈静脉孔综合征;少数可累及上矢状窦而出现癫痫、偏瘫、偏身感觉障碍等。主要并发症有脑膜炎、脑脓肿、硬膜下或硬膜外脓肿等。颅内同时或先后多个静脉窦血栓形成,病情往往更加危重。非炎性血栓多继发于高凝状态,部分患者仅表现为隐匿起病的所谓"良性颅内高压征"。
3 .直窦血栓形成:
多为非炎性,病情进展快,迅速累及大脑大静脉和基底静脉,导致小脑、脑干、丘脑、底节等深部结构受损,临床少见但病情危重。多为急性起病,主要表现为无感染征象的高热、意识障碍、颅内高压、癫痫发作、脑疝等,常很快进入深昏迷、去大脑强直、去皮质状态甚至死亡,部分可以突发幻觉、精神行为异常为首发症状。存活者多遗留有手足徐动、舞蹈样动作等锥体外症状。
4 .单纯脑静脉血栓形成:
单纯大脑皮质静脉血栓形成少见,约占所有 CVST 的 6% ,以 Labbe和 Trolard等吻合静脉受累较多,可无临床表现,当局部皮质或皮质下水肿、梗死或出血时,常出现亚急性头痛和局灶性神经功能障碍(如癫痫、轻偏瘫、偏盲等),多无明显颅内高压,血栓也可进展至静脉窦而出现相应静脉窦受累表现,临床易误诊为肿瘤、血管畸形等病变。单纯脑深静脉血栓形成约占所有 CVST 的 10% ,以大脑内静脉和大脑大静脉受累较多,多合并存在皮质静脉或静脉窦血栓,由于深部静脉回流障碍,丘脑常出现水肿或出血,临床表现多样,以头痛、意识障碍和认知心理障碍等为主。
5 .海绵窦血栓形成:
多为炎性,常继发于鼻窦炎、鼻旁及上面部皮肤的化脓性感染,近年来少见报道。急性起病,临床表现具有一定特异性。由于眶内静脉回流受阻可出现眶内软组织、眼睑、眼结膜、前额部皮肤水肿,眼球突出;因动眼神经、滑车神经、外展神经和三叉神经眼支行于海绵窦内,当其受累时可出现相应的症状,表现为患侧眼睑下垂、眼球各向活动受限或固定、瞳孔散大、对光反射消失、三叉神经眼支分布区感觉减退、角膜反射消失等。视神经也可受累而引起视力障碍,眼底可见瘀血、水肿、出血等改变。如炎症由一侧海绵窦波及到对侧,则可出现双侧症状。常见并发症有脑膜炎、脑脓肿、颈内动脉病变、垂体和下丘脑功能病变等。
推荐意见:临床上对不明原因的头痛、视乳头水肿和颅内压增高,应考虑 CVST的可能。对出现不明原因的局灶脑损害、不同程度的意识障碍、认知或精神障碍,或伴有硬脑膜动静脉瘘患者,应考虑排除CVST的可能并行相关检查(Ⅱ级推荐,C 级证据)。
影像学检查
一、头颅 CT/CT静脉成像(CTV)
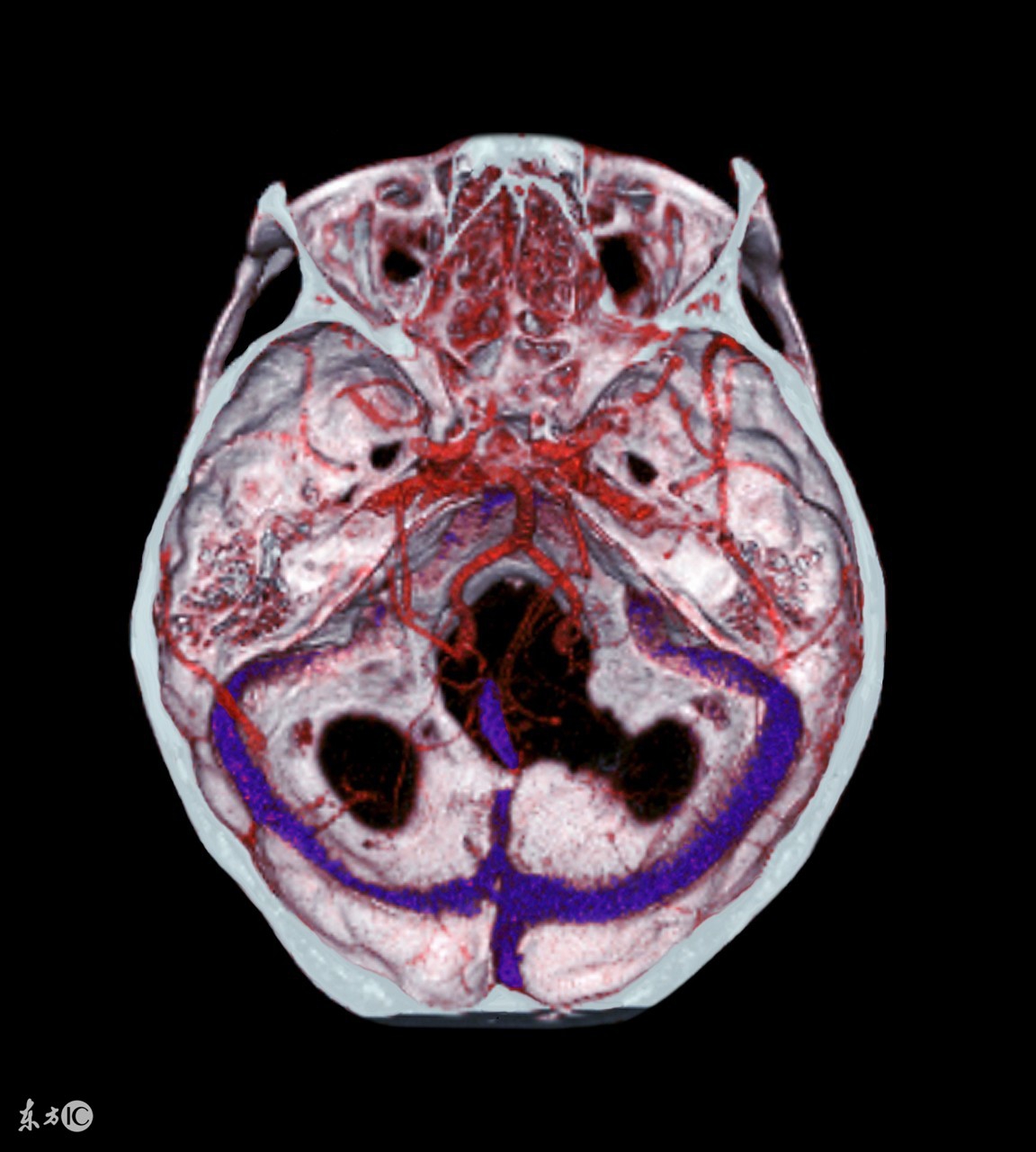
CT 作为神经系统最常用的检查手段,在静脉窦血栓的诊断中同样发挥着重要作用。尤其是近年来多排、高分辨率 CT 的应用, CVST 早期诊断率明显提高。怀疑后颅窝静脉窦血栓形成时,为了减少扫描伪影,需行以静脉窦为中心的连续薄层扫描,易于发现位于静脉窦(横窦、乙状窦或直窦)走行部位条带状高密度静脉窦血栓影,以免误诊为蛛网膜下腔出血,误导治疗。静脉窦血栓患者 CT 平扫的 直接征象与静脉窦位置一致的高密度条带征, 诊断正确率与 CT 扫描技术相关 。 单纯皮质静脉血栓患者 CT 扫描直接征象为位于脑表面蛛网膜下腔的 条索状或三角形密度增高影。CT平扫间接征象包括:弥漫的脑组织肿胀(脑回肿胀、脑沟变浅和脑室受压)、静脉性梗死和特征性的脑出血(位于皮质和皮质下脑组织之间、常双侧对称)。增强 CT呈现典型的δ征(中间低密度,周边高密度)。 然而, CVST 患者头颅 CT 扫描 20% ~ 30% 正常,表现为单纯颅内压增高的患者高达 50% 头颅 CT 无异常发现。 CTV 具有良好的空间分辨力,且无血流相关伪影,具有较高的敏感度和特异度,可同时显示静脉窦闭塞和窦内血栓。 CT 结合 CTV 对静脉窦血栓做出确定诊断,可作为 CVST 疑似患者的首选影像学方法,其敏感度可达 75% ~ 100% ,特异度可达 81% ~ 100% 。另外, CT 与 CTV 的联合应用,可以观察脑动、静脉病变,也可以观察脑组织结构改变。但增强扫描所用造影剂过敏和 X 线辐射限制了其反复用于随访检查。
二、头颅 MRI/MR静脉成像(MRV)
可直接显示颅内静脉和静脉窦血栓,以及继发于血栓形成的各种脑实质损害,较 CT 更为敏感和准确,但血栓表现随发病时间不同而变化,其中又以亚急性期的血栓高信号对 CVST 诊断较为可靠。磁敏感加权成像( SWI )或 T2* 加权梯度回波( T2*GE ) 等序列较 MR 常规序列对显示脑内出血更加敏感,对诊断 CVST 比常规系列成像具有更高的敏感度和特异度。头颅 MRV 可发现相应的静脉窦主干闭塞,皮质静脉显影不良,侧裂静脉等侧支静脉扩张,板障静脉和头皮静脉显像等征象。在大多数情况下, MRI/MRV 已可对 CVST 进行准确诊断,且所用增强剂更安全又没有 X 线辐射,被认为是诊断和随访 CVST 的最佳手段,但局部单纯的皮质静脉显示能力较弱,以及不能判断静脉血流方向是其主要不足之处。在 MRV 发现一侧静脉(窦)血流缺失时,并不能判断是由于血栓或是先天闭塞所造成。有研究者建议,若 CT 上双侧下颌切迹对称则支持 CVST 的诊断。 MRV 包括时间飞跃 MRV ( TOF MRV )、相位对比血管成像( PCA )和对比增强 MRV ( CE MRV ) 3 种成像方法,与 TOF MRV 和 PCA 相比, CE MRV 由于消除了血管内湍流,使颅内静脉和静脉窦显示更为清晰,如同时结合数字减影 MRA ( DSMRA )和最大密度投影( MIP )重建等技术,可多角度显示静脉血管的三维影像,因此, CE MRV 可作为 MRV 的首选成像方法。
三、数字减影脑血管造影术(DSA)
是 CVST 诊断的金标准,但不是常规和首选的检查手段。经动脉顺行性造影既可直接显示静脉窦血栓累积的部位、范围、程度和侧支代偿循环状况,还可以通过计算动静脉循环时间,分析脑血流动力学障碍的程度。研究分析表明,远期预后不良组患者动静脉循环之间超过 23 s 。经股静脉逆行静脉窦造影可进一步证实血栓的存在、累积范围、血栓的松软程度和窦内各段压力变化,为是否需要进行接触性血栓干预提供详细资料。同时,可以发现并存的微小动静脉瘘,指导临床有效治疗和预防复发。在某些情况下,横窦等静脉窦可由于先天发育异常所致一侧或双侧显影不良,在影像学上与 CVST 表现相似,应注意鉴别。通常,从上矢状窦到颈内静脉球的窦内压力梯度差值不超过 5 ~ 6 mmHg ( 1 mmHg = 0.133 kPa ),经静脉逆行颅内静脉窦造影时,若压力梯度改变超过 10 ~ 12 mmHg 支持静脉窦狭窄或闭塞。 DSA 具有 CT/MRI 等无法比拟的优势,但有创性的操作、操作不当(应用高压注射器施行窦内造影等)导致的颅内压增高风险限制了其普遍应用。在其他检查不能确定诊断或决定同时施行血管内治疗时可行该项检查。然而, DSA 对诊断单纯皮质静脉血栓形成不具优势。传统 CT/CTV、MR/MRV甚至 DSA技术常不能很好地显示皮质静脉血栓征象,由于皮质静脉受累数量、部位和范围的不同,使得单纯皮质静脉血栓临床和影像学表现多样,给诊断带来困难,若同时结合 T2*或 SWI等磁敏感成像技术则有助于提高诊断率。皮质静脉血栓形成时,局部还原型血红蛋白浓度增加,在磁敏感成像上表现为受累静脉较为特征性的低信号改变,特别是在血栓形成的早期阶段。
推荐意见:(1) 对疑似 CVST的患者,CT/CTV和 MRI/MRV都可作为首选的检查方法,MRI/MRV可诊断大多数 CVST,也可作为随访 CVST的最佳无创性手 段;CE MRV比 TOFMRV诊断 CVST更为可靠(Ⅱ级推荐,C级证据)。(2)DSA是确诊 CVST的金标准,逆行静脉造影如发现窦内狭窄远近端压力差达 12 mmHg以上时,有支持诊断价值。但使用时应考虑到对诊断单纯皮质静脉血栓形成时的不足,以及其有创性和操作不当导致颅内压增高的风险(Ⅱ级推荐,C级证 据)。(3)T2*GRE或 SWI等磁敏感成像或 DWI技术有助于提高 CVST诊断率,特别是在单纯皮质静脉血栓形成时(Ⅱ级推荐,C级证据)。

其他辅助检查
一、 D – 二聚体
D – 二聚体增高对 CVST 诊断的平均敏感度为 93.9% ,特异度为 89.7% 。新近一项对 34 例急性期颅内静脉窦血栓患者与正常对照组研究发现, 血清 D – 二聚体升高诊断急性 CVST的敏感度和特异度分别为 94.1%和 97.5%。 因此, D – 二聚体可作为 CVST 辅助诊断的重要指标之一,且对鉴别血栓与非血栓性局部静脉窦狭窄也有帮助。
二、腰椎穿刺脑脊液检查
CVST 患者脑脊液压力大多增高,可伴不同程度的细胞数和蛋白量增高,这种改变对 CVST 诊断虽无特异性,但在部分由于炎症或感染而引起的 CVST 中,脑脊液检查可帮助了解 CVST 的可能病因并指导治疗;此外,腰椎穿刺检查可明确是否存在颅内高压,且行简单的压颈试验即有助于判断一侧横窦和乙状窦是否受累。
三、其他
如同时发现有血栓形成倾向的易患因素,如Ⅴ因子 Leiden 突变、凝血酶 G20210A 突变、蛋白 C 、蛋白 S 或抗凝血酶Ⅲ缺陷,慢性炎性病变,血液系统疾病,肾病综合征,癌肿或长期口服避孕药物等,有助于 CVST 的诊断,但仍有约 20% 的 CVST 病因不明。
推荐意见:(1)D – 二聚体升高可作为 CVST辅助诊断的重要指标之一,但其水平正常时并不能排除 CVST(Ⅱ级推荐,B级证据)。(2)腰椎穿刺检查脑脊液有助于明确颅内高压和感染等病因(Ⅱ级推荐,C 级证据)。(3)血栓形成倾向的易患因素检查(包括血常规、血生化、凝血酶原时间、部分凝血活酶时间、蛋白 S和蛋白 C或抗凝 血酶Ⅲ等)有助于明确 CVST的病因(Ⅱ级推荐,C 级证据)。
CVST 的治疗
一、病因治疗
卒中单元有助于降低 CVST 的病死率和致残率。必须积极查找引起 CVST 的可能病因,如各类感染性疾病、血液高凝状态、结缔组织疾病、自身免疫性疾病等,并给予相应的积极治疗。如为感染性血栓,应及早、足量使用敏感抗生素治疗,在未查明致病菌前宜多种抗生素联合或使用广谱抗生素治疗。疗程宜长,一般 2 ~ 3 个月,或在局部和全身症状消失后再继续用药 2 ~ 4 周,以有效控制感染、防止复发。在抗生素应用的基础上,可行外科治疗彻底清除原发部位化脓性病灶。对于非感染性血栓,也应在原发疾病治疗基础上,积极纠正脱水、降低血液黏度、改善局部血液循环。
推荐意见:积极治疗病因,感染性血栓应及时足量足疗程使用敏感抗生素治疗;原发部位化脓性病灶必要时可行外科治疗,以彻底清除感染来源(Ⅰ级推荐)
二、抗凝治疗
对 CVST 进行抗凝治疗的目的在于防止血栓扩展,促进血栓溶解,预防肺栓塞和深静脉血栓形成;同时,临床研究业已证实抗凝治疗并不增加这些患者的颅内外出血风险。汇总分析表明,抗凝治疗使死亡的绝对危险度降低 13% ,相对危险度降低 54% 。虽然这些研究样本较少,但均支持急性期抗凝治疗的使用。因此, 除非有显著的颅内压增高和脑出血,对于无抗凝禁忌的患者应及早接受抗凝治疗,伴发于 CVST的少量颅内出血和颅内压增高并不是抗凝治疗的绝对禁忌证 。对于抗凝治疗前已存在的颅内出血,有研究建议动态复查影像监测血肿大小,如果血肿逐渐减少,可给予抗凝治疗,否则应避免抗凝。常用的抗凝药物包括肝素和低分子肝素,与普通肝素相比,按体重剂量调整的低分子肝素皮下注射可能更为有效,且引起的出血风险较小。低分子肝素在有效性和安全性方面具有一定优势。低分子肝素无需监测凝血指标,但如果患者需要急诊手术治疗,应注意到后者对凝血系统的作用持续时间较长的问题。低分子肝素治疗剂量应按体重进行调整,通常为 180 AxaIU ·kg – 1 ·24 h – 1 (一般成人剂量为 0.4 ml ),每日 2 次皮下注射;如使用普通肝素,应使部分凝血活酶时间延长至少 1 倍,有建议首先一次性静脉注射 6 000 U ,随后续予 400 ~ 600 U/h 的低剂量持续静脉微泵注射维持,每 2 h 监测部分凝血酶原时间,调整肝素微泵注射速度和总量。肝素有时可诱发血小板减少和血小板减少性血栓形成,应注意监测血小板数目和血小板功能。急性期的抗凝时间尚不统一,通常可持续 1 ~ 4 周。 急性期抗凝治疗后,一般应继续口服抗凝药物。常用药物为华法林 。为了防止更换抗凝药物过程中出现患者病情波动, 原则上,华法林与肝素重复使用3~5 d,在凝血酶原时间 – 国际标准化比值(PT – INR )达到 2~3后撤销肝素使用, 并定期根据监测指标调整华法林用量。
口服抗凝药物治疗持续时间应根据个体遗传因素、诱发因素、复发和随访情况,以及可能的出血风险等综合考虑。对于原发性或轻度遗传性血栓形成倾向的 CVST ,口服抗凝药物治疗应持续 6 ~ 12 个月;对于发作 2 次以上或有严重遗传性血栓形成倾向的 CVST ,可考虑长期抗凝治疗;而对于有可迅速控制危险因素的 CVST ,如妊娠、口服激素类避孕药物, 抗凝治疗可在 3 个月内。影像学上如观察到闭塞静脉(窦)再通对抗凝治疗持续时间的指导作用尚未明确。新型口服抗凝药物,包括直接凝血酶*制剂抑**达比加群酯( dabigatran )和 Xa 因子*制剂抑**利伐沙班( rivaroxaban )、阿哌沙班( apixaban )、依度沙班( edoxaban )等在 CVST 治疗中的临床经验有限,尚缺乏与华法林比较的随机对照试验。表明 Xa 因子*制剂抑**可取得与华法林相近的治疗效果,但其有效性和安全性仍需进一步评估。
推荐意见:(1)对于无抗凝禁忌的 CVST应及早进行抗凝治疗,急性期使用低分子肝素,成人常用剂量为 0.4 ml,每日 2次皮下注射(180 AxaIU·kg – 1 ·24 h – 1 );如使用普通肝素,初始治疗应使部分凝血活酶时间延长至少1 倍。疗程可持续1~4周。伴发于 CVST的少量颅内出血和颅内压增高并不是抗凝治疗的绝对禁忌证(Ⅱ级推荐,B 级证据)。(2)低分子肝素的安全性和有效性略优于普通肝素(Ⅱ级推荐,B 级证据)。(3)急性期过后应继续口服抗凝药物,常选用华法林,目标 PT – INR 值保持在 2~3,疗程因血栓形成倾向和复发风险大小而定(Ⅱ级推荐、C 级证据)。闭塞静脉(窦)的再通作为停止口服抗凝治疗的依据尚未明确(Ⅲ级推荐、C 级证据)。(4)新型口服抗凝药在 CVST中的疗效有待进一步观察(Ⅲ级推荐、C 级证据)。
三、溶栓治疗
目前缺乏 CVST 患者溶栓治疗的随机对照试验,但 越来越多的非对照病例研究提示局部溶栓治疗对 CVST有肯定疗效 。 目前缺乏比较局部溶栓治疗与肝素治疗的对照研究,亦无溶栓治疗临床转归优于单用肝素的证据 。因此,并不积极建议在 CVST 患者中使用全身或局部的溶栓治疗。仍有必要进行多中心随机对照试验以进一步评价 CVST 溶栓治疗的有效性和安全性,但对于少数经足量抗凝治疗无效且无颅内出血的重症患者,尤其是昏迷和深静脉系统血栓形成时,可谨慎在有监护条件下实施局部溶栓,最佳的药物种类、剂量和给药方式仍在探讨中。
推荐意见:经足量抗凝治疗无效且无颅内严重出血的重症患者,可在严密监护下慎重实施局部溶栓治疗(Ⅱ级推荐、C级证据);但全身静脉溶栓治疗 CVST并无支持证据(Ⅲ级推荐,C 级证据)。
四、抗血小板和降纤治疗
目前缺乏抗血小板或降纤治疗在 CVST 应用的随机对照或非对照病例研究,尚无确切证据表明其有效性和安全性。但部分 CVST 患者可能从抗血小板或降纤治疗中获益,尤其是伴有血液成分异常的患者,如血小板增多症或高纤维蛋白原血症的患者。
推荐意见:除非基础疾病治疗需要,常规使用抗血小板或降纤治疗CVST并无支持证据(Ⅲ级推荐,C 级证据)。
五、经导管机械取栓术或手术取栓术
对抗凝治疗开始后症状持续加重或经溶栓治疗出现新发症状性出血或入院时有意识障碍或严重颅内出血的 CVST 患者,在有神经介入条件的医院可以施行机械血栓碎取治疗。目前认为,对于虽经其他方法积极治疗,但仍伴有严重神经功能缺损或恶化的 CVST ,可以考虑外科血栓去除术。实验及临床研究结果显示, CVST 行血管内治疗的时间窗以发病 30 d 内(急性和亚急性患者)为宜。然而,这些研究只是基于回顾性的病例报告,对于 CVST 机械取栓术和手术取栓术的有效性和安全性仍有待于进一步评估。
推荐意见:对于已有颅内出血或其他方法治疗无效的急性或亚急性 CVST患者,在有神经介入治疗条件的医院,经导管机械取栓术可以作为一种可供选择的治疗方法(Ⅱ级推荐、C 级证据)。
六、静脉窦内支架术
对于伴有一侧或双侧横窦狭窄的良性颅内高压患者,血管内支架术已经显示了良好的治疗效果。当静脉逆行颅内静脉窦造影发现狭窄远近端的压力梯度超过 12mmHg 时,支持静脉窦狭窄或闭塞的诊断。血管内支架术的长期有效性和安全性仍有待进一步评估。
推荐意见:对于伴有静脉窦狭窄的颅内高压患者,有条件的医院可行逆行静脉造影测压,如发现狭窄远近端压力梯度超过 12 mmHg时,可考虑行狭窄部位静脉窦内支架植入术,但长期疗效和安全性仍需进一步评估(Ⅲ级推荐、C 级证据)。
七、CVST继发硬脑膜动静脉瘘
对 CVST 继发硬脑膜动静脉瘘的处理可按照硬脑膜动静脉瘘的一般原则,即积极彻底闭合瘘口,改善脑静脉回流,降低静脉窦内压力,减轻临床症状,可采用包括血管介入栓塞、放射以及手术夹闭等多种方法在内的综合治疗。但需注意,由于此时颅内静脉窦已发生闭塞,瘘的血液回流多以皮质静脉为主,在治疗时应更加注意脑静脉回流的建立和保护,以减少并发症的发生。
推荐意见:CVST继发硬脑膜动静脉瘘的治疗可参照硬脑膜动静脉瘘的一般原则,但尤应注意脑静脉回流的建立和保护(Ⅱ级推荐、C 级证据)
八、糖皮质激素
目前缺乏在急性 CVST 患者中使用糖皮质激素的随机对照试验。 CVST 多伴有血管源性水肿和细胞毒性水肿,虽然理论上糖皮质激素可减轻血管源性水肿,降低颅内高压,但糖皮质激素也可能促进血栓形成、抑制血栓溶解以及伴发出血、高血糖、感染等严重并发症而加重病情,甚至可能诱导 CVST 再发。
推荐意见:除非基础疾病治疗需要,常规使用糖皮质激素治疗 CVST并无益处,CT/MRI未发现脑实质病变的 CVST患者更应避免使用糖皮质激素(Ⅲ级推荐,B 级证据)
九、降低颅内高压和视神经保护
由于静脉(窦)闭塞和脑组织肿胀, 40% 以上的 CVST 可出现孤立性的颅内高压,但大多数伴发于 CVST 的轻度脑水肿无需特殊处理,抗凝治疗对静脉回流的改善可有效降低颅内压,应避免过度限制液体入量,以免血液黏稠度增高。严重颅内压增高可给予头高脚低位、过度换气、甘露醇、呋塞米等降颅压治疗,但 应注意在静脉回流未改善的情况下大量使用渗透*药性**物可能加重局部损害。不建议常规使用糖皮质激素,因其可能加重血栓形成的倾向 。进展性视力丧失常提示预后不良,需紧急处理。采取有效措施积极降低颅压,是保护视神经最有效的治疗手段。同时可辅助神经保护药物治疗。
对于颅压持续升高、视力进行性下降、短期内无法降低颅压的患者,建议尽早施行微创视神经鞘减压术。术前停用肝素 12 h ,术后即可恢复抗凝治疗。严重颅内压增高内科治疗无效时可考虑手术治疗。
推荐意见:对颅内高压者,可采用脱水降颅压治疗;如果严重颅高压并伴有进展性视力降低或出现脑疝早期者,应该紧急处理,必要时可手术减压治疗(Ⅱ级推荐,C 级证据)。
十、抗癫痫治疗
不建议常规使用抗癫痫药物,预防性抗癫痫治疗适用于存在局灶性神经功能缺损以及影像学提示有脑实质损害的患者,在这些患者中早期发生痫性发作的可能性较高。常用药物包括丙戊酸钠、卡马西平等,建议在首次发作后应尽快使抗癫痫药物达到有效血药浓度以控制发作。急性期过后可逐渐减量,一般不需要长期抗癫痫治疗。但也有研究表明,急性期脑内存在实质性损害的 CVST 患者,在病后 1 年内仍可发生痫性发作,因此,对于此类患者,可能需要延长抗癫痫治疗
至 1 年左右。
推荐意见:首次癫痫发作伴有脑实质损害时,应尽早使用抗癫痫药物控制痫性发作(Ⅰ级推荐,B 级证据);不伴有脑实质损害的首次癫痫发作,早期使用抗癫痫药物可能有益(Ⅱ级推荐,C 级证据),但预防性使用抗癫痫药物并无益处(Ⅲ级推荐,C 级证据)。








































