每个宝宝几乎都有两个及以上的奶瓶,一个用来喝奶,一个用于喝水。一直使用奶瓶的宝宝,尤其是在长牙后依然用奶瓶的孩子经常会出现奶瓶齿。
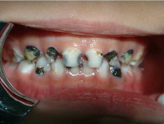
爸爸妈妈们会发现,宝宝乳牙还没有发育完全,但是长出来的牙已经坏掉了,有的甚至会变成黑色,牙根也烂掉了。
一检查才知道宝宝患了奶瓶齿,这种现象是由奶瓶龋造成的。

什么是奶瓶龋?
奶瓶龋是婴幼儿龋齿的一种,多见于婴儿。由于在睡眠中婴儿不断吮吸奶瓶,奶瓶中的奶水、果汁等饮料中的可发酵醣类,长时间滞留在牙齿周围产生酸,使牙齿表面脱钙,从而造成龋齿。

形成奶瓶龋的原因
1.婴儿新萌的乳牙牙质薄,表面结构不成熟,矿化程度低,抗龋力差。
2.长期使用奶瓶喂养,使得婴儿吮吸动作不活跃,瓶塞长时间贴合在婴儿上颌乳前牙上,并波及旁边的乳尖牙和乳磨牙。
3.长时间含奶瓶睡觉,睡眠中婴儿唾液分泌减少,吞咽功能减弱,口腔的自洁能力下降,而牙齿长时间接触奶或易产酸发酵的饮品中,糖分发酵产生酸,繁殖出大量细菌破坏婴儿牙齿。
4.家长忽视了婴儿乳牙护理的重要性,没有对婴儿的乳牙进行保护。

上面的两张图是不是有点“触目惊心”,甚至让人“不忍直视”?如果家长没做好工作,你家宝宝也可能会那样哦,所以一定要引起重视。一旦发现,尽早带宝宝去医院治疗。
奶瓶齿需要治疗
一些家长觉得反正日后是要换牙的,现在乳牙坏了就坏了呗,没必要治疗,这种想法是绝对错误的!
宝宝的乳牙不能过早地被坏牙占据,否则宝宝稚嫩的肠胃功能也会因此受到伤害。而且宝宝一旦出现坏牙,他们咀嚼能力会变得越来越差,更有甚者因为牙的问题而影响长相。
所以,父母千万别小看奶瓶齿,有了龋齿一定要带宝宝尽早治疗,并积极配合医生。
妈妈一定要好好预防宝宝出现奶瓶齿,免得宝宝正常长牙的时候,牙齿没办法吸收营养。

如何预防奶瓶齿
1.正确掌握喂奶时间和次数
喂奶时间最好控制在一刻钟左右,宝贝满6个月就会学着自己抱奶瓶喝奶,但宝宝自己独立喝奶不能多于20分钟,不要由着宝宝边吃边玩,否则会使宝宝牙齿受到更多的损伤。
2.不能含奶瓶入睡
父母不能为了怕麻烦,就让宝宝叼着奶瓶睡觉。要是宝宝已经习惯了,一定要尽快纠正,或者在奶瓶里装上温开水也行。
3.宝宝口腔清洁要到位
宝宝的口腔环境很重要,每当喂完孩子奶后,妈妈都要好好清洁他的小嘴巴,让孩子的口腔保持干净。如果宝宝长出了第一颗牙齿,就要用纱布蘸清水进行擦拭,等再大一点就可以给宝宝刷牙了。

4.尽早换掉奶瓶
宝宝断奶后就尽早抛弃奶瓶,改为用小勺子或水杯喝水,并且让宝宝养成饭后一定要漱口的好习惯,再由漱口慢慢变成自己刷牙。
5.培养刷牙习惯
宝宝24个月之后,妈妈可用宝宝专用的牙刷,在宝宝吃过东西后及睡觉前刷牙给宝宝刷牙。
6.口腔检查别忽视
宝宝长出乳牙之后,要经常去口腔科例行检查,一旦发现问题要赶紧治疗。

你们家宝宝有过奶瓶齿吗?欢迎留言和我们讨论~