都说牙痛不是病,疼起来要人命。但是有这么一群人,简直就是“忍者”即便出现了牙痛也忍者,可不知道这样子容易酿成大隐患。
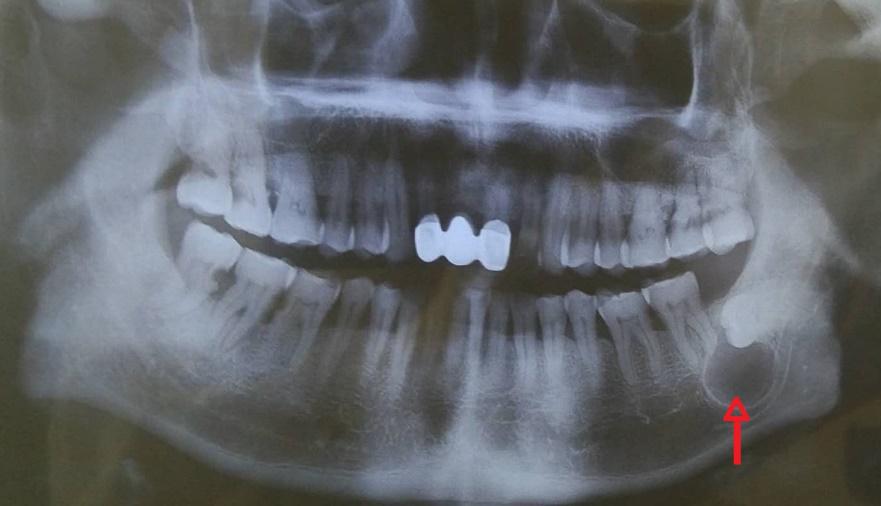
牙齿出现疼痛要注意,小心出现囊肿!
其实目前很多新闻都有报道过,牙齿问题不及时治疗容易出现其他并发症状。因此,建议有牙齿问题的朋友们应该及时进行治疗,切勿拖延时间。

为什么牙疼不治疗会出现囊肿?
牙痛的发生一般是因为牙本质受到了损害,如果不及时进行治疗的话,后期容易影响到牙髓,产生炎症,如根尖炎,长期不处理的话在炎症的反复刺激下,就容易慢慢形成囊肿。

出现囊肿怎么办?
如果囊肿比较小,可以先观察情况,如果会渐渐变小就不用理会,但是患牙必须要及时进行治疗。如果囊肿比较大,就要及时进行手术治疗,要不然容易波及其他健康的牙齿并造成骨头被吸收越来越多。

其实牙病不仅仅会造成囊肿,还有可能是这几种大病的征兆
1、血液性疾病
牙龈容易出血,且出血不止,不容易止血的情况就要警惕是否存在血液性疾病了。
2、心脏疾病
不明原因牙疼,临床上有心血管病史的中老年患者若出现不明原因的牙痛,应警惕其是否为心绞痛发作。
3、糖尿病
虽然糖尿病本身不是引起牙周炎的关键,但是患有糖尿病的患者更容易出现牙周病并且更易加重牙周炎的症状,同时牙周炎也容易增加糖尿病的并发症糖尿病肾病和心血管疾病的风险。
