拥有一口洁白整齐的牙齿是每个人所向往的,无论是每天都坚持刷牙亦或是选择戴牙套整牙,都是为能有一口洁白整齐的牙齿而为之努力。
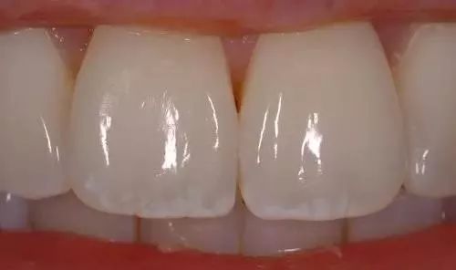
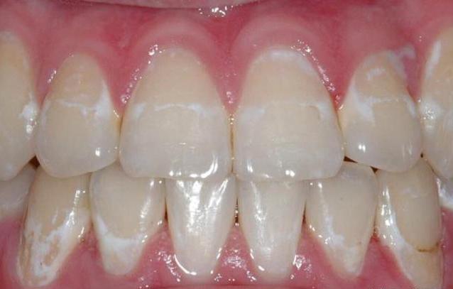
某天照镜子发现,牙齿上开始出现白色的区域,不少人不知道是什么原因,短时间对牙齿也没什么影响,很多人都选择忽视了。

也许你的牙齿已经被细菌包围了,牙齿出现脱矿现象了。
人类从出生开始,每天都要和口腔里的细菌斗智斗勇,细菌虽然长居口腔内,但我们的牙齿的构造非常坚固,牙齿的表面有一层牙釉质,它是牙齿的"保护衣"。这层保护衣服,也是牙菌斑等细菌群的首要攻击目标。
口腔内的牙菌斑等细菌群最喜欢聚集在牙釉质上,等到人类开始进食,它们会大量的吸取残留在口腔里食物中的糖分,再把糖分转化成酸,来腐蚀人类牙齿的这层牙釉质。

细菌一旦攻克了牙釉质,牙齿上的钙磷脱落,颜色就开始变白。但这种白和健康的白色有所不同,毫无光泽,是一种牙菌斑给人类造成的牙齿变白的假象,这种现象俗称牙齿脱矿。
如果你的牙齿出现这种状况,可千万别被迷惑,如果置之不理,你的牙齿将在便龋齿的道路上一去不复返。

牙齿由白到黑只是时间的问题
牙齿变白虽然没有任何不适,但用显微镜就会发现,牙齿表面的下方结构已经悄悄的在变化。
牙菌斑腐蚀了牙釉质,牙齿没有了这层保护衣,就像是战场上的战士没有了盔甲,接下来牙菌斑等细菌群,轻而易举的就能攻破牙齿的内层,在牙齿上形成深深的龋洞,从而损害牙神经,造成更为严重的牙齿问题。

牙齿脱矿的高发人群
由于牙齿脱矿是龋齿的第一步,只要不注重口腔卫生的人,无论在什么年龄,都难逃牙齿脱矿的危险,不过造成牙齿脱矿的原因也不只是牙菌斑引起的,正畸器佩戴不正确,常喝碳酸饮料也是后天引发牙齿脱矿的原因。
那么问题来了,难道我们要看牙齿一点点的变坏吗?

牙齿脱矿我们要怎么办?
凃氟——补救牙齿的防护衣
牙齿脱矿后,牙齿钙磷流失,牙釉质遭到损害,这时去医院进行凃氟治疗是最好的,牙医会在牙齿的表面上涂上一层氟化物,相当于又给牙齿穿上了保护衣,可以继续保护牙齿抵御牙菌斑等细菌的侵蚀。
这里提醒大家,凃氟看起来简单,也要在专业的医生指导下进行,不要私自凃氟避免不良的效果。
日常可以选用含氟牙膏,进行口腔清洁。
当我们发现了牙齿脱矿的现象,及时的去医院接受治疗可以挽救我们的牙齿,但如果牙齿已经生变产生龋齿,那只能通过补牙来补救了。

注意口腔卫生——阻碍牙菌斑侵蚀牙齿的进程
日常注重口腔卫生是生活中爱护牙齿最基本也是最至关重要的一步,及时刷牙,掌握正确的刷牙姿势,可以避免很多口腔问题,但是由于牙菌斑等细菌群非常狡猾,常常会躲进缝隙中,日常的刷牙只能阻挡它们的侵蚀进程但不能真正清除它,这个时候需要定期去医院检查洗牙,做护理,就会将牙齿的问题将至最小程度来解决,可以很好的避免牙齿脱矿问题所引发的大问题。

注重饮食健康——将牙齿补补磷
牙齿脱矿的时候,要注意饮食,多吃能够补充含有磷的食物,如果脱钙程度较高,避免含糖过高、酸性食物,也要注意不要吃过硬的食物,来保护牙齿。

避免牙齿进一步侵蚀——和碳酸饮料说再见
可乐、雪碧、运动型的饮料虽然很好喝,但是确是不利于身体健康的,含有碳酸饮料的大部分都能分解钙质,牙齿脱矿之后,钙磷分子流失,更不能和碳酸饮料了。

有人说生活就和游戏中的打怪升级一样,解决了一个问题又会有下一个问题,生活中牙齿的问题从来不是单一的,只要稍加不注意,就会产生更多的问题,要时刻注意每一个小问题,才能始终是牙齿健康,希望大家都能够有一副好的牙齿,在生活中尽力"打怪",在享受时,尽情品尝美食,开心大笑。

我是牙科医生黄征难,35年从业经历,如果你有任何口腔问题,欢迎关注后在主页私信咨询,或评论留言!可以私信牙片,我来帮你免费问诊!