病史:
女性,55岁
主诉:查体发现前纵隔肿物2月余。
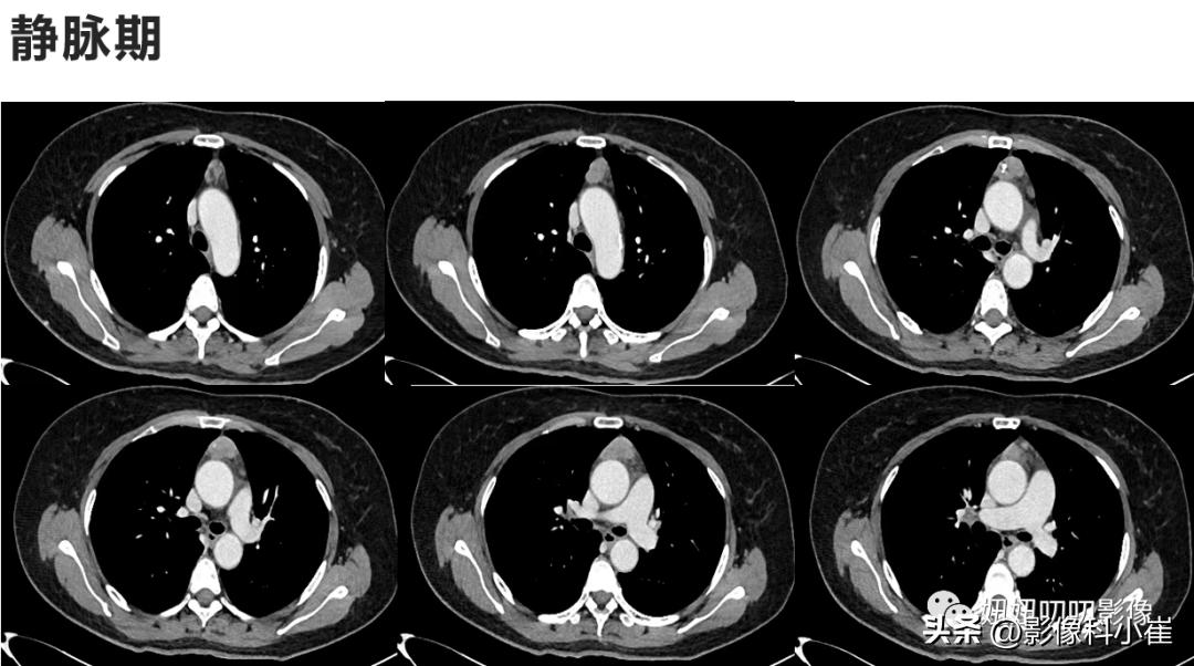
图像:




影像描述:
前纵隔见一类椭圆形软组织密度灶,边界尚清,截面约3.3X1.9cm,内见点状钙化灶,增强扫描呈中度不均匀强化,内见条形弱强化分隔,后缘紧贴升主动脉,病变周围脂肪间隙见条索状高密度灶,其左后方另见一小结节灶,边界清,大小约1.1X0.6cm,增强扫描呈轻度强化。双肺下叶见微小结节灶,边界清,直径约0.2-0.3c。右肺上叶尖段见囊状无肺纹理区,边界清,大小约1.5X1.0m。右肺上叶另见少许索条灶,边界清。部分支气管壁略增厚,段及段以上支气管通畅。纵隔及双肺门未见明显增大淋巴结。双侧胸腔未见明显液体密度灶。
学生发言:
A:主要就看见了个钙化,查体发现,可见裂隙样低密度弱强化,胸腺瘤?CD?一般见条状强化,异位甲状腺?畸胎瘤? 倾向畸胎瘤。
B:裂隙样低密度弱强化,一般提示胸腺瘤,并且没有脂肪,50多岁了还杀畸胎瘤了。
老师总结:
①:病理是胸腺瘤;
②:你看钙化,往往点状倾向胸腺瘤,蛋壳样、条状倾向畸胎瘤,前纵隔的小孩还要记得生殖细胞瘤(AFP很高)

#暑假创作大赛##连载写作训练营##头条文章养成计划#