前几天有个患者过来就诊,主诉“颈部疼痛、活动受限,伴吞咽疼痛3天”。患者说自己睡醒后落枕了,脖子非常痛,而且不能活动,吞口水都痛,伴有枕部头痛。我查体发现,患者呈痛苦面容,患者颈部肌肉非常僵硬,颈部各方向活动受限,颈部肌肉压痛明显。虽然临床中也经常会遇到落枕的患者,有些患者确实颈部疼痛比较厉害,但是患者说的吞咽疼痛引起我的注意,所以我建议患者先行颈椎CT检查,患者说太痛了,做不了CT,所以给她打了支双氯芬酸钠注射液再去做。
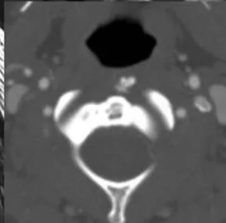
患者做完CT回来说,做CT的途中都痛哭了。颈部CT结果如下:枢椎左前方软组织钙化灶。

枢椎左前方软组织钙化灶

颈椎CT提示:枢椎左前方软组织钙化灶。
根据患者的临床症状“急性颈部疼痛、颈部僵硬和吞咽疼痛”结合颈部CT结果“枢椎左前方软组织钙化灶”。诊断为“颈长肌急性钙化性肌腱炎”,嘱患者休息、制动。予非甾体消炎药及糖皮质激素治疗5天,症状缓解。
颈长肌钙化性肌腱炎,又称咽后钙化性肌腱炎或急性钙化性椎前肌腱炎是一种自限性疾病,其典型表现为急性颈痛、颈部僵硬和吞咽困难/疼痛。本病需要和其他类似临床表现的严重或危及生命的疾病加以鉴别,如咽后脓肿、脑膜炎等,避免不必要的抗生素或外科干预治疗。
本病国内中文文献报道较少,CNKI检索,仅3篇报道,此类患者多就诊于急诊科、针灸科、骨科和耳鼻喉科等,国内临床医生对这个疾病关注不高,也有部分误诊为落枕处理的。

CNKI检索,文献较少。
颈长肌急性钙化性肌腱炎常急性发病,如认识不足,很容易误诊误治,贵在早期明确诊断,治疗主要为非甾体抗炎药,一般1-2周会自愈。
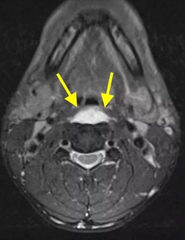
颈长肌的解剖
颈长肌是位于C1-T3椎体前缘的成对肌肉,由上斜肌、直肌和下斜肌组成,在上内侧附着于寰椎的前结节。从侧面看,颈长肌与前纵韧带均位于颈椎椎体前方,形成厚度3-4mm的软组织层。钙化常发生于上斜肌。


颈长肌解剖
颈长肌急性钙化性肌腱炎
1.临床表现
典型三联征是急性颈痛、颈部僵硬和吞咽困难/疼痛,其他伴随症状和体征包括枕部头痛、颈椎活动受限、张口受限、咽喉痛、咽部水肿、斜颈、头晕和伴有炎性指标升高(白细胞、CRP和血沉)的低热。
2.危险因素
文献报道,重复性创伤、缺血、坏死和遗传倾向被认为是可能的病因。部分患者有感冒、咽炎等病史。大部分患者无明显诱因,突发症状和体征。
3.诊断
明确诊断主要通过典型的临床表现结合影像学方法,颈椎CT是关键。颈长肌钙化性肌腱炎特异性的影像表现是C1-4椎体前缘软组织肿胀和积液与C1椎体前弓下方不规则钙化沉着共存。

C1椎体前弓下方不规则钙化沉着

椎前积液

椎前积液和C1椎体前弓下方不规则钙化沉着

椎前软组织肿胀
颈椎侧位片能够显示上颈椎前纵韧带和颈长肌组成的软组织影增宽,密度增高,正常时宽度为3-4mm,急性炎性水肿时可增宽到1cm以上,并可显示椎前软组织内的钙化影,一般位于C1-2水平。此外,还可见颈肌痉挛引起的颈椎前凸消失。颈椎侧位平片所见的发育性寰椎前弓的下方附属小骨片、寰椎前弓的撕脱骨折以及茎突舌骨肌韧带的钙化极易与本病所见的钙化混淆。
CT的高分辨率能够明确肌腱内的钙化,能够明确是钙化而不是其他骨骼来源的高密度影。钙化一般位于寰椎前弓的下方和枢椎齿状突的前方,少部分可位于下颈椎前侧。CT有助于明确椎体前积液的存在和排除其他病理表现,如骨折或脓肿。MRI对诊断不是必须,但有时可帮助确定软组织异常,排除咽后脓肿,脊椎炎或肿瘤。MRI检查T2加权在椎前可见局限性的裂隙样区域,大多位于C1-4水平,呈高信号改变,这反应是由于炎症引起的积液。T2加权、脂肪抑制序列和T1加权对鉴别积液和脂肪组织、含脂肪的骨髓以及咽后感染、脊椎炎有重要作用。MRI检查在钙化检查方面存在不足,T2加权呈低信号。
4.鉴别诊断
本病急性颈痛发作时常伴有颈项僵硬,临床多疑为脑膜炎,但无明显全身症状和体征,经化验、影像学检查不难鉴别;
本病常见吞咽困难与疼痛,常疑为食管疾病,经食管钡餐造影即可鉴别;
本病咽后壁软组织影增宽,近似咽后壁脓肿,但无椎体骨质破坏,全身症状不明显,可以鉴别;
本病钙质沉着多在上颈椎,而颈椎间隙内钙质沉着多在下颈椎且累及多个间隙,为二者不同处;
寰椎前弓在颈部过伸性外伤时可引起骨折,X线片可见小碎骨片分离,与此病不同。
此外,也应与齿状突加冠综合征、感染性脊柱炎、淋巴结炎、会厌、口咽和脊柱肿瘤等。在此情况下,正确的诊断将会减少有创性检查的数量,并可能减少不必要的抗生素和外科干预治疗。
因颈长肌钙化性肌腱炎常伴椎前软组织肿胀和积液,重点应与咽后壁脓肿鉴别,咽后壁脓肿常需抗生素和外科干预。
5.发病机制
目前认为,颈长肌钙化性肌腱炎是由颈长肌肌腱内羟基磷灰石晶体沉积引起,并伴有无菌性炎症反应。
6.治疗
首选非甾体抗炎药,可配合颈托制动,严重情况下可加用皮质类固醇药物。一般1-2周症状会明显消失,大多数患者数月后,钙化和椎前积液能够完全消失而痊愈。
7.愈后
本病为自限性疾病,愈后良好。
参考文献:
李永超《颈长肌急性钙化性肌腱炎》
@快问中医 #快问中医超能团# #头条健康#