
疾病概述
多发性硬化(multiple sclerosis,MS),是一种累及中枢神经系统的免疫相关性和炎性脱髓鞘疾病。该病临床症状和体征复杂多样,据相关报道,在国内患者中,感觉障碍、肢体运动障碍以及疲劳为主要的三大症状。2018年5月11日,国家卫生健康委员会等5部门联合制定了《第一批罕见病目录》,多发性硬化被收录其中。
病例摘要
患者男性,24岁,2011年12月入院,主诉为“左手麻木2个月,四肢活动不灵1个月”。
查体:意识清楚,言语正常,颅神经正常,四肢肌力Ⅴ-,双侧Babinski征阳性。患者在出现症状时,EDSS评分为2分,治疗好转后,EDSS评分为1分。风湿免疫各项指标均正常,脑脊液常规正常,寡克隆带阳性,血清NMO-IgG阴性。
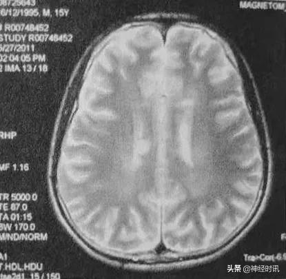
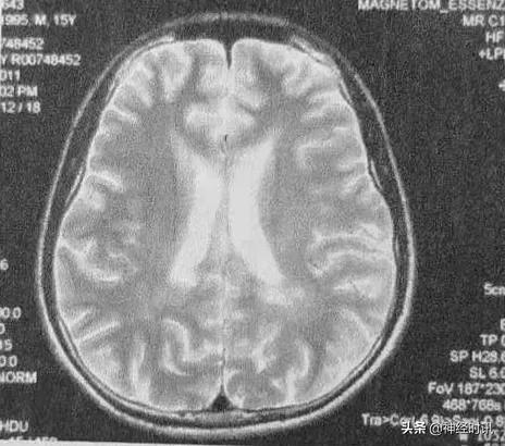
头部MRI(2011年5月):左侧半卵圆区、双侧侧脑室角及体旁白质、左侧额叶颞叶皮质下、右侧脑干缘可见斑片状及斑点状常T2信号影,无强化。

颈椎MRI(2011年10月):C2~C4可见脊髓肿胀,其内可见稍长T1,长T2信号影,无强化。

根据当年McDonald2010年诊断标准,患者符合相关标准,确诊为多发性硬化。

治疗:患者于次年2月起,使用干扰素-β进行治疗,曾出现过白细胞下降,使用升白药后情况好转,之后病情一直较稳定。在2014年3月,曾出现右侧肢体活动差的情况,使用激素冲击后症状好转,2016年初,病情持续稳定,后因干扰素β缺货而停药。对该患者随访至2018年,停药期间有过2次较轻复发。
相关分析
该患者为青年男性,病程较长,缓解复发,头部和颈部MRI影像十分典型,寡克隆带阳性,血清NMO-IgG阴性,根据McDonald2010年诊断标准,可确诊为多发性硬化。
临床诊断上,除了McDonald2010年诊断标准(现已更新至McDonald2017年诊断标准)外,MRI也具有十分重要的重要。结合上述病例,该患者头部MRI中有多发的白质部分病灶,颈部MRI中可见单个椭圆形病灶,边界清楚。
治疗进展
由于MS的发病原因尚不明确,因此在根治该病上依然存在空缺和后续研究。目前,MS的治疗上,早期以治疗、干预为主,减缓、阻断疾病发展;急性期优先减轻患者的临床症状和尽可能改善患者的残疾程度为主;缓解期以疾病修正治疗和降低复发率、减少病灶为主,在延缓病程和症状的同时,提高患者生活质量。
在MS急性期中,用药上主要采用糖皮质激素进行冲击治疗。据研究,糖皮质激素可以抑制炎性反应,同时还可以对炎性细胞激活以及进入急性期存在显著抑制作用,可诱导淋巴细胞凋亡并减轻患者的水肿症状,对修复患者的血脑屏障起到重要临床作用。
在缓解期的治疗上,可用于治疗多发性硬化疾病的药物很多,如IFN-β1a、IFN-β1b、芬戈莫德、醋酸格列默、特立氟胺、奥法木单抗等,这些药物均可以显著减少疾病复发率,延缓患者的残疾进程并提高患者的生活质量,但同时需要注意相关不良反应。如环磷酰胺长期服用具有致癌性,芬戈莫德会导致心血管病风险以及感染等。另外有相关报道表明,在治疗上可以联合针灸针刺、中医汤药进行治疗,可以起到改善症状,提高疗效的目的。

除了药物以外,国外科研团队在JAMA上发表了一篇“Effect of Nonmyeloablative Hematopoietic Stem Cell Transplantation vs Continued Disease-Modifying Therapy
on Disease Progression in Patients With Relapsing-Remitting Multiple Sclerosis”的文章,文中指出,通过临床观察和相关数据总结,相比于药物治疗,干细胞治疗具有更好的疗效。
感觉实用,对您有所启发的话,也可以分享给身边你重要的人!