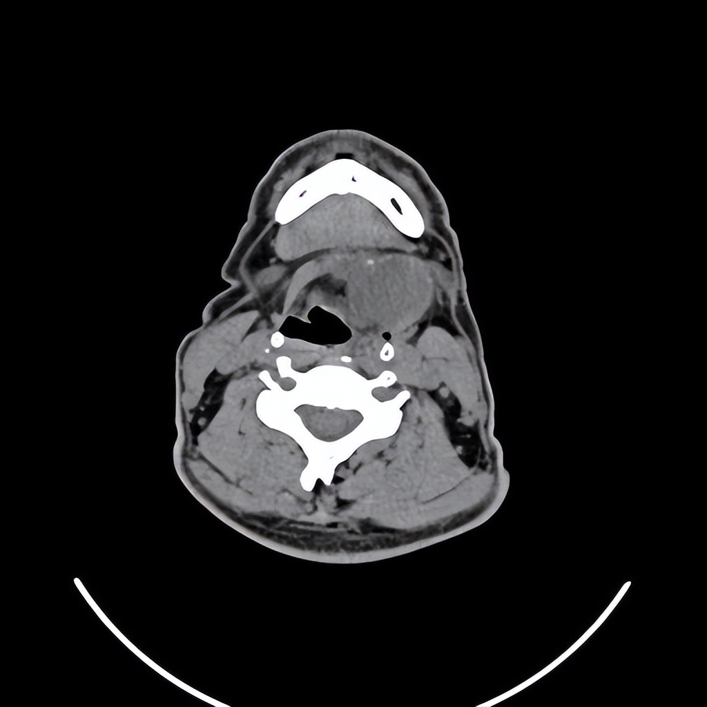
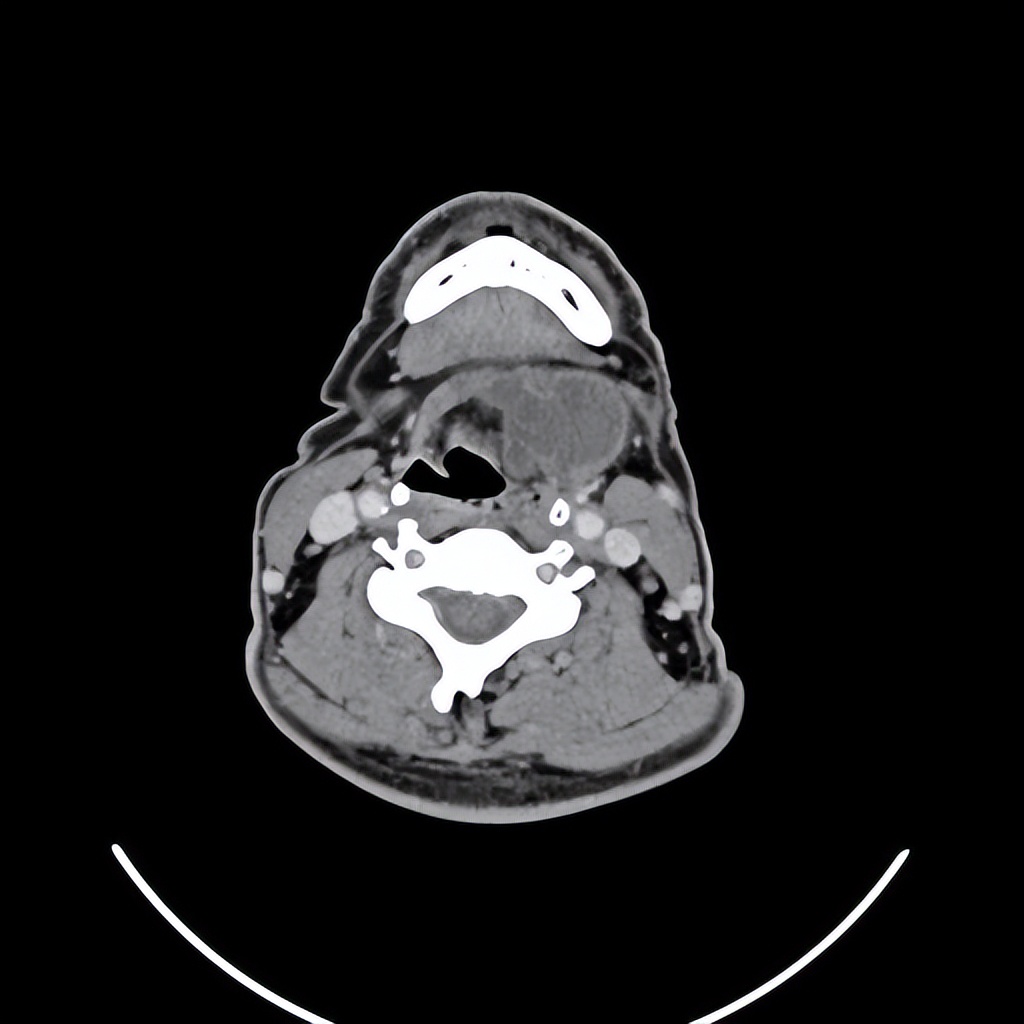
来自广东梅州的管叔,最近发现颈部肿物2周,不痒,不痛,自觉问题不大。但是肿物越来越大了,在家人的劝说下来到佛山复星禅诚医院耳鼻喉做了检查发现是颈部的先天性囊肿。


这个年龄阶段发现颈部的先天性囊肿是比较少见的,一般这种病没有多少的不舒服,但需要做手术切除才可以根治。一般手术早点做效果要好一些,如果囊肿长的比较大了,手术的范围也会相应的扩大,术后恢复就可能会慢一些,手术的风险也会相应的增大。


颈部肿物目前做小切口内镜微创手术比较适合,这样既能切除干净肿物,也会兼顾美观。关于颈部肿物如果您有任何的问题,欢迎留言和耳鼻喉郑立岗医生进一步交流。

