导语:成年人的皮肤护理需要特别关注,皮肤发痒、渗脓、长痘痘?得了常见皮肤病怎么治?“问上医”用美国家庭医生智库的健康知识告诉您成年人常见的皮肤问题。
1 / 20 皮肤问题?

你的皮肤会发痒、渗脓或者长痘痘吗?痣、皮疹、*麻疹荨**和湿疹只是300种会影响人们日常生活的皮肤病中的几种而已。皮肤颜色和纹理的变化会导致身体任何部位的炎症、感染或者过敏反应。有的皮肤问题可能是暂时的、易于治疗的小问题,但也有非常严重,甚至致命的皮肤病。本篇文章将会为你介绍常见皮肤疾病的体征和症状,帮助大家学习如何辨别它们。
2 / 20 带状疱疹

带状疱疹是由于发生在脊髓和大脑的神经细胞的潜伏性感染引起的水痘感染。刚开始会有疼痛感,常常会被误认为肌肉骨骼损伤。在随后的一两天内,布有感觉神经的皮肤将会出现发红起疱的单侧皮疹。这种皮肤病常常出现在老年人身上,可以通过接种疫苗预防。在48小时内使用抗病毒药物可以缓解长期的严重疼痛。
3 / 20 *麻疹荨**

*麻疹荨**是一种常见的过敏性皮肤病,是由于血液中的抗体接触异质化学物质引起的,可能会出现在身体的任何部位。症状为疙瘩更加突出并且被非常痒的红色皮疹包围。可能会产生很多病变,但每个只存在8-12个小时,之前的消失后又会有新的再出现。大多数情况下,*麻疹荨**会在8周内自行消退,口服抗组胺药可以缓解症状。
4 / 20 牛皮癣

牛皮癣是一种慢性炎症遗传病,会出现鳞状的红色肿块,合并在一起形成斑块。通常发生在头部、肘部和膝盖,但并不仅限于这些部位。牛皮癣无法治愈,会自行消失或者出现。根据其严重程度和范围的不同,治疗方法也多种多样。从局部乳膏到紫外线接触,从口服药物到注射药物……牛皮癣患者易患心血管疾病,可能是由于系统炎症引起的。
5 / 20 湿疹

湿疹(特应性皮炎)是一种遗传病,在儿童很小的时候就会出现,伴随着瘙痒、渗出汁液的皮肤炎以及儿童的哭泣,易于集中在手肘内侧和膝盖内侧的褶皱处。大多数病人也会由于吸入的物质过敏,比如哮喘和花粉热,其症状会随着年龄的增长有所改善。这种情况下的大部分人虽然对某种物质过敏,但这个过敏并不是产生皮疹的原因。治疗方法包括在湿润的皮肤上使用润肤剂,偶尔使用外用类固醇。
6 / 20 红斑*疮痤**

红斑*疮痤**是一种慢性炎症,皮肤对某些自然产生的炎症性化学物质过敏,从而会出现早期症状——面部长期发红。其他症状面部发红,血管扩张,出现丘疹、脓疱以及偶尔的鼻结缔组织增生(鼻赘)。表面上看起来像青少年*疮痤**,但事实上出现在成人中。治疗方法包括外用和口服药物。
7 / 20 唇疱疹

唇疱疹(感冒疮)是由单纯疱疹病毒引起的,通常出现在唇部边缘。这种病毒在脊髓神经细胞中处于休眠状态,在晒伤或者感冒等环境诱因的影响下,病毒会一次又一次地沿着神经末梢到达该位置的皮肤。唇疱疹会在7-10天内自行恢复,所有没必要进行治疗。除非症状发生得太过频繁。
8 / 20 植物皮疹

对过敏性体质而言,在毒葛类植物中暴露24-48个小时就会引起线状的水疱。由于植物含有高度过敏的化学物质,所以一次接触后就会引发过敏。一般在3周内可以恢复,但下次接触这种植物时又会复发。
9 / 20 植物皮疹的治疗

重复地冷敷可以缓解症状、加速愈合。严重情况下可能需要使用类固醇乳膏。这种过敏是永久性的,只能通过避开这种类别的植物以预防复发。对漆树属过敏的患者对芒果和腰果油也会过敏。
10 / 20 剃须肿块

这种毛囊炎发生在近期削减或者剔除毛发的区域,通常出现在胡子卷曲、牢固的情况下。当毛发剪掉或者拔出的程度深入到了滤泡孔之下,它往往会卷曲到毛囊中,从而引起炎性肿块。剃须的时候不要太紧贴皮肤是预防这种毛囊炎的有效方式。
11 / 20 皮肤结节

皮肤结节经常发生在腋下和颈部,是较小的、肉质的、维管的、外生型的皮肤增生。通常没有什么症状,除非由于摩擦或者血液供给不足而发炎。皮肤结节非常常见,在没有发炎的情况下不需要治疗或者去除。
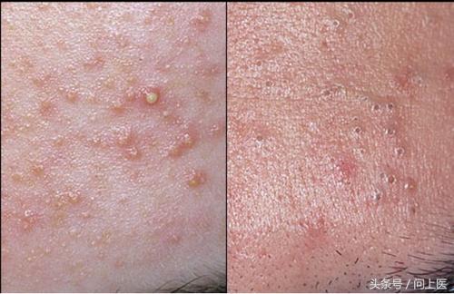
12 / 20 *疮痤**

寻常*疮痤**是一种非传染性丘疹和脓疱,通常出现在面部,偶尔也会出现在胸部和背部,发生时间为青少年处的青春期阶段。黑头粉刺、炎症性丘疹和脓疱会同时存在。这不是由于污垢造成的,而是青春期激素水平的变化引起的。通常在20岁左右就会消失,但严重或者不及时治疗的情况下可能会留疤。
13 / 20 香港脚(脚癣)

脚癣是脚部皮肤角质层(表层死皮)被真菌感染后引起的。如果是炎症性的会起很多水疱,并且非常痒。非炎症性的脚癣只会起皮、脱皮,而且不会太过恼人。在休息室赤脚走路可能有助于缓解脚癣症状,非处方的外用抗真菌乳膏也可以用于治疗脚癣。
14 / 20 痣

虽然痣包含了各种各样的皮肤增生,但通常是指黑色素细胞的局部积累。痣通常是圆形而且颜色一致,从米色到黑色。直径为1/2英寸,通常产生在暴露在阳光之下的皮肤处。这种着色不良的皮肤增生平均发生在35岁左右,是一种良性病变,但可能会和各种色素的皮肤癌混淆。发痒、出血或者皮肤增生的色素沉着病变应该引起人们的关注。
15 / 20 老年斑和雀斑

这些平坦的褐斑是由于眼光照射造成的,通常出现在面部和前臂。虽然没有任何症状但对患者而言非常不美观。有许多方式可以治疗,但要限制日晒以避免复发。
16 / 20 玫瑰糠疹

这种皮疹通常以鳞状肿块或者斑块开始,然后数以百计地扩散到身体的躯干部位。通常是椭圆形,并且出现在年轻人身上。玫瑰糠疹会引起中度瘙痒,偶尔情况下需要治疗。症状通常会持续9周。诊断玫瑰糠疹可能需要血检。
17 / 20 *褐斑黄**

*褐斑黄**在育龄妇女中最常见,通常和怀孕以及服用避孕药物有关。这种平坦的色素沉着出现在额头、脸颊以及唇部上方的胡子区域。一般情况下,在妊娠结束或者停止服用避孕药后*褐斑黄**还会存在,而日晒会让它更加严重。成功的治疗并不容易,而且严格避免日晒非常重要。
18 / 20 疣

皮肤角化病的小肿瘤是由200个人乳头瘤病毒中的一种引起的,通常会自发消失,但特别顽固的可能需要医疗干预。治疗方法的增加反映了这样一个事实:成功的概率取决于病人的免疫反应。在看医生之前有许多非处方治疗方式可以加以尝试。
19 / 20 脂溢性角化病

这种最常见的良性肿块会随着年龄的增长而出现在身体的任何部位,是黑色、棕色或者黄色的坑坑洼洼的肿块,看起来好像被“粘在”皮肤上一样。一般没有什么症状。事实上这并不算一种疾病,但偶尔会与色素皮肤癌混淆。
20 / 20 脂溢性皮炎

脂溢性皮炎是成人中最常见的皮疹,在初期常被称为“乳痂”,在头皮、耳后皮肤、额头、眉毛、面部鼻唇沟处、乳沟、中背处会出现瘙痒的红色缩放性皮炎。发生在头皮上时会产生非常引人注目的头皮屑。脂溢性皮炎的原因尚不清楚,但使用外用类固醇和外用抗真菌乳膏进行治疗很有效,含有焦油、硫化硒和锌羟基吡啶硫铜的药物洗发剂也会有所帮助。虽然通常会自行恢复,但最终会复发。在彻底治愈前治疗要一直持续下去。
“问上医”是首个顶尖的用美国家庭医生智库为千万中国人提供权威、专业、一站式精准健康管理服务的智能平台。每个健康解决方案均来自美国家庭医生智库,有科学依据。千万用户之选,值得信赖!看病前,先问上医;看病后,再问上医! 问上医网(www.wen31.com)/APP限时开放免费会员名额,快快登录注册吧!每天收获权威健康知识,请关注微信订阅号“健康问上医”(JKwen31)。
原文链接:http://m.wen31.com/info/2770.html
更多皮肤护理的知识,请点击这里: