编者按: 前列腺特异性膜抗原(PSMA)高表达于前列腺癌,通过靶向PSMA的核素疗法,可以实现“精确制导*伤杀**”。今年初,欧洲泌尿外科年会上率先报道了PSMA核素用于高危局限性前列腺癌术前治疗的初步探索。近日, 复旦大学附属肿瘤医院叶定伟教授、朱耀教授团队 完成了PSMA核素联合新型内分泌治疗后的机器人辅助微创前列腺癌根治术,为高危前列腺癌的综合治疗探索更多、更好的治疗选项。
前列腺癌PSMA核素疗法
从晚期前列腺癌末线治疗向初诊前列腺癌治愈性治疗的探索
PSMA核素疗法在晚期前列腺癌领域已经取得一系列突破进展,TheraP、VISION等研究已经证实PSMA核素治疗在mCRPC治疗中的疗效和安全性。今年,Peter mac癌症中心率先报道了将PSMA核素疗法用于高危局限性前列腺癌的术前新辅助治疗(Lutectomy研究),初步获得较好结果,该研究也入选了本年度EAU大会的口头报告。
澳大利亚Peter Mac癌症中心的Renu Eapen教授在参加复旦大学附属肿瘤医院泌尿外科举办的“2023年前列腺癌精准影像与治疗亚太学习班”时详细介绍了LuTectomy研究,并具体分享了综合治疗方案的设计和手术细节。
I/II期LuTectomy研究入组的是PSMA阳性的局限性高危前列腺癌患者。患者术前6周接受2个周期的177Lu-PSMA-617治疗,复查PSMA PET后接受手术(前列腺根治性切除+盆腔淋巴结清扫)。研究的主要终点是组织所吸收的放射剂量,次要终点包括影像学缓解(PSMA PET)、生化反应(PSA)、病理缓解以及安全性、生活质量等。
研究结果显示前列腺、淋巴结、所有病变的中位辐射剂量分别为19.6 Gy、37.9 Gy、35.5 Gy。在疗效方面,部分缓解(PR)率为55%,疾病稳定(SD)率为40%,疾病进展(PD)率为5%。患者的中位PSA降低49%,PSA50缓解率为45%。

中位随访时间为13.8个月,无生化复发生存率为80%。组织学缓解率为80%(15%无反应,5%有微小残留病变),没有患者获得pCR。此外,PSMA核素疗法的耐受性和手术的安全性良好。
这些研究结果表明PSMA核素疗法在高危局限期前列腺癌治疗中有较好的应用前景,有望使更多患者实现肿瘤退缩、手术切缘阴性。
复旦肿瘤团队完成
PSMA核素联合新型内分泌治疗后的机器人辅助微创前列腺癌根治术
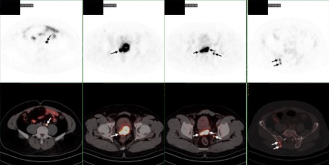
患者为43岁中年男性,初诊PSA 54 ng/mL,穿刺病理为前列腺腺泡腺癌(Gleason 5+5)。MRI显示侵犯精囊、直肠,盆腔及腹膜后多发淋巴结转移。PSMA PET/CT显示前列腺弥漫性PSMA高表达,骶前、腹膜后及两侧髂血管淋巴结转移,双侧髂骨局灶性PSMA高表达。

与LuTectomy方案有所差异的是,除了3个周期的PSMA核素治疗外,患者进一步联用了新型内分泌治疗(阿帕他胺)。
在3周期PSMA核素治疗后,患者复查PSMA PET/CT提示:前列腺右侧外周带局灶PSMA表达略增高,左侧精囊腺局灶性PSMA高表达相仿。髓前、腹膜后及双侧骼血管淋巴结退缩,髂骨未见PSMA表达增高,考虑活性受抑。

患者按计划接受机器人辅助下腹腔镜前列腺癌根治+盆腔淋巴结清扫,手术恢复顺利。拔除导尿管2天后即恢复满意尿控。术后2周复查PSA=0.01 ng/mL。
术后病理:前列腺组织内见炎细胞浸润,伴组织细胞反应,局灶见少量前列腺腺泡腺癌,肿瘤伴退变,符合治疗后改变,前列腺瘤荷约1%。纤维被膜外扩散EPE(-),精囊腺(-),各切缘均未见癌累及。
叶定伟教授表示:“我们与Peter Mac癌症中心方案的主要区别在于,在PSMA核素治疗的基础上联合了新型内分泌治疗,患者采用这种联合治疗后的影像学退缩非常明显,PET/CT显示治疗后前列腺病灶活性显著降低、骨病灶活性受抑、淋巴结退缩;PSA由初诊的53.7 ng/mL降低至术后0.01 ng/mL;病理检测进一步证实了这种治疗方案显著效果——仅有1%的瘤荷残存并且切缘阴性。”
朱耀教授进一步介绍了术前PSMA核素治疗对手术操作带来的改变,以及术中需要注意的技术细节:(1)治疗后的组织改变类似于放疗后改变,但程度轻于大剂量外照射,比粒子植入近距离放疗的组织改变则更明显。从腔镜下看,表现为组织苍白、分离层次粘连的特点,因此多采用冷剪刀分离,将血管壁作为分离的界限,避免切缘阳性。(2)治疗后组织的膀胱颈部和尿道的血供变差,但是弹性尚可,吻合组织适当保持张力、多重加固。(3)采用缝扎止血,避免电凝止血对于神经的二次损伤,尽可能保留功能,以保证术后尿控恢复满意。
中澳团队携手前行
为亚太前列腺癌患者寻找更多解决方案
前列腺癌在发达国家已经成为男性发病率最高的恶性肿瘤之一,近年来,亚太地区的前列腺癌发病率也有明显的上升趋势,而且地区差异较大,如中国的前列腺癌表现出发病上升趋势明显,而5年治愈率远低于欧美国家。因此,亟需团结各地的学术力量,为亚太地区的前列腺癌防治寻找更多解决方案。
Peter Mac癌症中心是全球著名的癌症研究和治疗中心,也是澳大利亚唯一的公立癌症专科医院。该院的前列腺癌精准治疗和影像中心在全球享有盛誉,先后领导了一系列前列腺癌精准放射治疗和诊断的创新研究成果。近年来,在亚太前列腺学会(APPS)候任主席叶定伟教授带领下,复旦肿瘤团队与Peter Mac团队保持紧密的合作和交流,包括频繁的学术会议交流以及访问学者交流,探讨东西方前列腺癌的差异。复旦肿瘤团队作为东道主在上海主办的“2023年前列腺癌精准影像与治疗亚太学习班”,是亚太学习班首次由中国的医学团队主办,叶定伟教授担任大会主席,朱耀教授担任执行主席。在本次会议上,来自Peter Mac癌症中心的专家学者分享了LuTectomy研究的前沿结果,并与复旦肿瘤团队就前列腺癌的全程诊疗管理进行了深入探讨
期待中外学者的深入交流互动,能够促成更多的研究成果转化落地,为亚太前列腺癌患者寻找更多精准治疗的解决方案,获得更多治愈希望!
▌参考文献:
[1]Michael S Hofman, et al.TheraP: 177Lu-PSMA-617 (LuPSMA) versus cabazitaxel in metastatic castration-resistant prostate cancer (mCRPC) progressing after docetaxel—Overall survival after median follow-up of 3 years (ANZUP 1603).Journal of Clinical Oncology 40, no. 16_suppl (June 01, 2022) 5000-5000.
[2]Sartor O, de Bono J, Chi KN, et al. Lutetium-177-PSMA-617 for Metastatic Castration-Resistant Prostate Cancer. N Engl J Med. 2021;385(12):1091-1103. doi:10.1056/NEJMoa2107322
[3]Renu S. Eapen, et al. LuTectomy: A Prospective Study of Dosimetry, Safety and Potential Benefit of Upfront 177Lu-PSMA-617 Radioligand Therapy Prior to Radical Prostatectomy in Men with High-Risk Localized Prostate Cancer. EAU 2023.

朱耀 教授
主任医师,教授,博士生导师
复旦大学附属肿瘤医院泌尿外科行政副主任(泌尿外科浦东院区负责人)
上海市优秀学术带头人
上海高校特聘教授(东方学者)
上海市“医苑新星”杰出青年医学人才
中国临床肿瘤学会前列腺癌专家委员会秘书长
Prostate Cancer and Prostatic Diseases编委
● 擅长领域:前列腺癌早期诊断和根治性治疗、难治性前列腺癌的精准诊治策略
● 长期从事泌尿男生殖系统肿瘤的临床诊治工作,年完成前列腺癌根治术超过300台,在国内率先开展精准影像引导的前列腺癌扩大根治术、复发性前列腺癌的挽救性手术。主要科研方向为前列腺癌耐药的精准诊治,近五年来以通讯作者身份在欧洲泌尿外科学会官方杂志European Urology(IF: 24.3)、美国癌症研究协会官方杂志Clinical Cancer Research( IF: 13.8)、国立癌症综合网络官方杂志Journal of NCCN(IF: 12.7),欧洲核医学协会官方杂志EJNMMI(IF: 10)发表代表性学术论文。受邀为Nature Reviews Urology ( IF: 16.4 )撰写描绘亚洲前列腺癌精准分型和诊治策略的综述,为该刊物首次邀请国内专家发表相关论著。
● 作为课题负责人承担国家自然科学基金4项,获得上海市青年科技启明星计划、复旦大学十大医务青年、复旦大学及上海市卫健委青年五四奖章、复旦大学“十佳百优”优秀青年医生。