作者丨罗伟芝 医师(杜端明教授团队)
深圳市第二人民医院 介入治疗科 主治医师
擅长: 各种肿瘤与血管疾病的微创血管介入诊疗与非血管介入诊疗,如肝癌、肺癌等恶性肿瘤的介入栓塞化疗及消融术。
简介:2015年毕业于深圳大学临床医学系,2018年完成国家住院医师放射专业规范化培训,2019年汕头大学同等学历硕士班结业。 积极参与各类学术团体、学术活动及科室科研项目,2018年获第二届中国肿瘤消融论坛病例竞赛三等奖。社会任职:广东省基层医药学会介入医学专业委员会委员
病史
患者张某,男,71岁,因“发现肺鳞癌1月余”入院。
既往史
2020.07.17我院肺肿物穿刺活检病理:免疫组化结果:CK7(-), P40(+), P63(+), NapsinA(-), ALK(D5F3)(-), ALK-Neg(-)。(右下肺肿物,穿刺活检)见少量癌,免疫标记提示为鳞状细胞癌。
肺部肿瘤标志物四项(20200708): 鳞状细胞癌相关抗原测定2.46 ng/ml,细胞角蛋白19片段测定 6.08↑ ng/ml,神经元特异性烯醇化酶12.31 ng/ml,胃泌素释放肽前体 33.74 pg/ml,癌胚抗原 3.22 ng/ml。
入院诊断
1. 右下肺鳞癌并双肺多发转移 T3NOMO IIIA期
2. 肺气肿
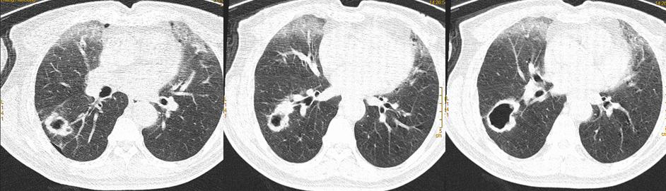
术前影像学检查(2020.7)


*CT显示右肺下叶癌性空洞性病变,纵膈无淋巴结转移。
治疗方案
手术名称:支气管动脉栓塞
术后联合免疫治疗:替雷利珠单抗免疫治疗 200mg 3周一次
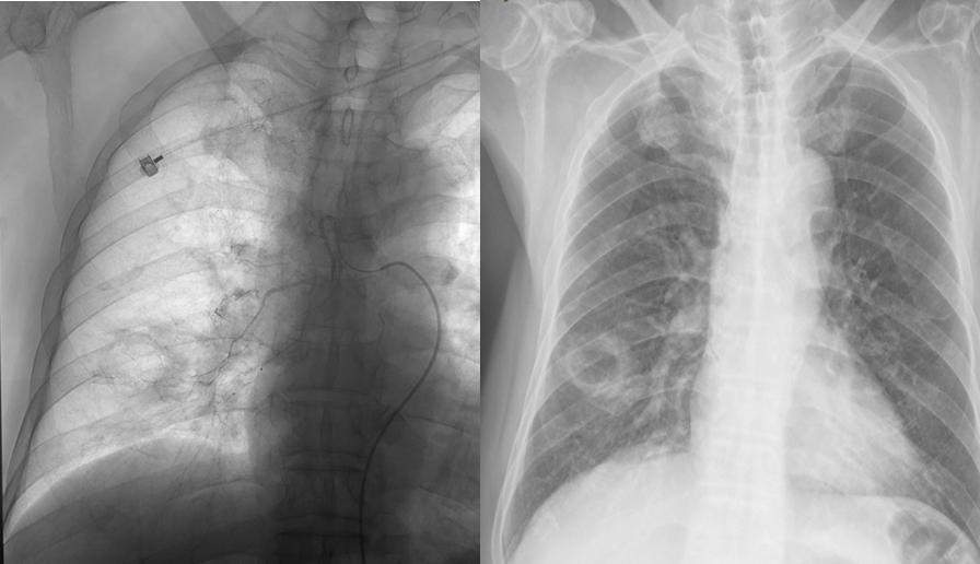
介入手术治疗(2020.7.31)

*支气管动脉造影:右侧支气管动脉与右侧最上肋间动脉共干。

*支气管动脉造影:右下肺癌性空洞壁形成。

*栓塞治疗:奥沙利铂100mg灌注化疗后300-500μm微球1瓶搭载吉西他滨1000mg进行适量栓塞, 栓塞后复查肿瘤染色大部分消失。
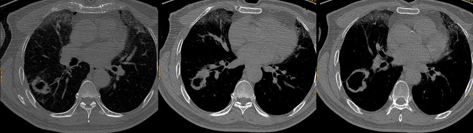
术后影像学检查


术后实验室检查




小 结
1. 载药微球化疗栓塞,患者耐受性好,缓解临床症状,提高生活质量。
2. 联合免疫治疗达到不错的疗效。