
接收人:小特工 老探员
主题:烤瓷牙不是一劳永逸的

Hello,小特工和老探员。
上次阿尔法说了根管治疗该不该做,怎么做☞疼死还是让牙死?下决心做根管治疗咋这么难。
有老探员看了文章继续来问牙齿美容的事情,想知道烤瓷牙到底要不要做。

关于变美美美的问题,就由本医学情报总探长来解答吧。

哪个小仙女不爱美呀!如果牙齿不够白、不够齐,人就不够自信,笑容都不敢太灿烂,拍照也得抿起嘴来,甚至躲着镜头。
平时爱追星的人都知道,现在哪个明星爱豆不做牙齿美容啊?所以被白白净净的烤瓷牙诱惑的人数不胜数。
小蒲姐虽然对自己的小白牙很自信,但是在“明星牙”的闪耀下还是动过心的。但是种草没多久,就被拔草了,草原还被洒了“百草枯”。
原因是——烤瓷牙会“变黑”。
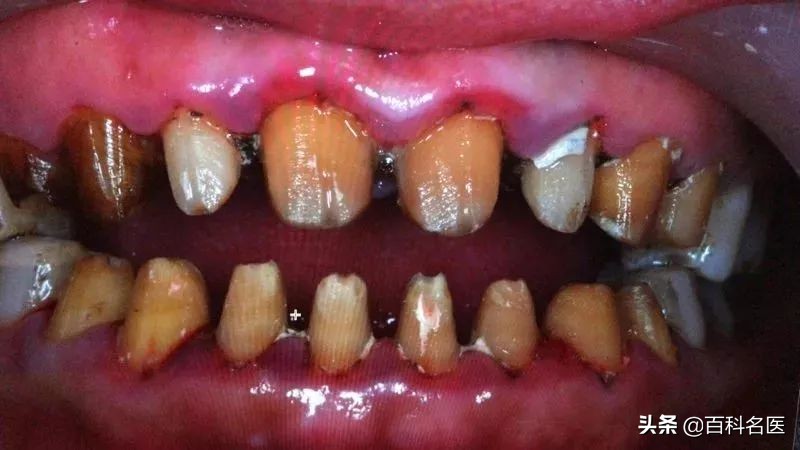
是不是危言耸听?有图有真相,来点猛料吧。
但是先说好喔,会有一点倒胃口,所以小蒲姐我给下面的图片加了一个“盖子”,如果有好奇宝宝想看,请下面自取。

按一下见高能
勇敢的宝宝告诉我:恐怖不恐怖?我觉得还是挺恶心的,这口烤瓷牙带来的小黑牙让人不忍直视。
那么问题就来了:为什么会贼个亚子?
我来秀一把了:烤瓷牙的金属内冠厚度得有0.5毫米以上,外边的烤瓷层还得有1.5毫米以上的厚度。想要安装上这么一口烤瓷牙,就必须把原有的牙齿磨小。
这可是真牙呀,突然有点心疼,每一颗都是那么的珍贵。美洲豹没了利齿还不性感了呢。(我就觉得美洲豹性感!)


据不愿意透露姓名的烤瓷牙用户透露:
烤瓷牙刚装上看着美丽无比,为了臭美,不想笑都要挤出一个完美的笑容,露出一口洁白的牙齿,嘿嘿嘿。
但是好景不长,牙龈会出现黑线,引起牙龈发炎、发臭、出血,去医院检查的时候,取下烤瓷牙冠,真牙上的脏污也很多,恶心得不行。

严重的时候,烤瓷牙的卫生问题还可能导致*麻疹荨**、过敏性鼻炎等疾病。
尤其是金属牙冠,在加工过程中有些用了对人体有害的金属镍来制作。镍在不断的氧化析出中,会对呼吸系统产生刺激,引发肺炎等。所以金属牙冠才有被淘汰的趋势。
做烤瓷牙需要磨牙齿,不止会磨掉很厚的一层牙釉质,还有磨到牙本质或牙髓的风险。
这可不得了,磨完以后的真牙,只剩下薄薄一层牙釉质保护牙齿不说,真的磨到牙本质或牙髓,就得杀灭牙根里的神经和血管,而且牙齿得不到养分,时间一长,就会慢慢流失矿物质,这颗牙算是报废了。
而且烤瓷牙也不是一劳永逸的,它是有寿命的,一般是10年左右,如果保护不得当,那就得经常要往牙科医院跑了。
烤瓷牙可能有健康隐患不说,还有总跑医院的麻烦,小蒲姐真心不推荐去做。
明星刘涛就是个例子,好几次她都在微博上“哭诉”烤瓷牙给自己带来了源源不断的痛苦和麻烦,经常要去医院做修补,甚至辛苦工作了一天回家还要自己补牙。她认为,自己的牙如果健康千万别想着去换美容牙,最多去贴个薄片。
等等,贴薄片?这个操作靠谱吗?
赶紧来分析一下。

牙齿美白的方法可不止烤瓷牙一种,还有很多种方法,如:冷光美白、树脂贴面、瓷贴面等。
贴片类的牙齿美容就是刘涛所说的贴薄片了。这种方式也是需要磨牙的,只是磨牙量较少,只磨挨近嘴唇那一侧的牙齿外表面,大约磨去约1毫米,然后倒模制成牙贴片,贴在牙齿表面,达到美白的效果。
如果以为牙齿贴片是无忧的美牙神器,那就有点理想化了。
薄薄的贴片脆性较大,虽然不是一触即碎,但也要加倍呵护。牙齿贴片虽然比烤瓷牙少磨掉一些牙齿,但也需要磨掉牙齿正面的一些牙釉质,这样还是会刺激到牙齿和牙龈。
小蒲姐觉得我们普通人受这些罪没太大必要,何必去苛求完美?而且有一个小知识点必须得说:其实真正意义上健康美丽的牙齿,不是广告里那种炫亮的白色,就应该是淡黄色的。
因为牙齿表面覆盖着一层牙釉质,呈透明或半透明状态,其深部为牙本质,呈淡黄色。牙齿的颜色与釉质的钙化程度有关。钙化程度越高,釉质越透明,其深部的牙本质本色就会透过,导致牙齿呈淡黄色,反之牙齿会呈现不正常的白色或乳白色。
因此说,淡黄色的牙齿表明牙釉质钙化程度高,才是健康的表现。
没有了健康的牙齿,奶茶里的珍珠咬不动,蛋糕甜点只能吃渣,连吃个水果都只能榨成汁,好惨哪!
人到老了才知道每一颗真牙都应该被珍惜!一口健康的牙齿保护还来不及呢,舍得千方百计地去磨损它、改变它吗?
下期牙齿专题,我们就聊聊保护牙龈的方法吧。保护牙齿人人有责。
小蒲姐道理说了这么多,相信在要不要做牙齿美容这个问题上,你应该知道怎么按需要判断了。
谢谢惠顾。
今日小蒲姐营业结束。祝你今天愉快,你明天的愉快留着我明天再祝。
小蒲姐参考情报:
1. 蒲公英医学百科
2. 百科名医网