
“以前这类病人1年的死亡率近50%,较少活过5年。”
近日,一篇关于“网易*力暴**裁员身患绝症员工”的文章,在社交平台刷屏。
作者自称是网易员工,5年里经常加班至夜里两三点,后来被检查出扩张型心肌症,据他描述,自己“心脏扩大了近一倍”,但他并没有因病减少或耽误任何工作,依然勤奋加班。
近年来,30~40岁的中青年心脏疾病发生率日益升高,可能跟赚钱压力太大、工作超负荷有关。比如最近瑞士的一项涉及欧洲8国11.4万人的研究发现,睡眠不足(每日少于6小时)是导致穷人——尤其是男性——发生冠心病等心脏疾病的罪魁祸首之一[1]。
网易这位男员工,经常加班到后半夜,是不是“穷人”不知道,但很明显睡眠不够,所以心脏疾病找上门。而冠心病正是扩张型心肌病(后简称“扩心病”)的诱因之一。不过,扩心病真的是绝症吗?
01
得了扩心病,可以活多久?
扩心病常伴随心力衰竭和心律失常,上世纪七八十年代,由于缺乏有效的治疗手段,很多扩心病患者猝死,5年生存率不足20%。
“以前这类病人1年内基本死一半,很少能活过5年,很无奈。”中南大学湘雅二医院心血管内科主任医师彭道泉教授在接受医学界记者采访时感慨道。
得益于科技的不断更迭,越来越多的治疗药物和器械问世,给了扩心病患者新希望。2013年的数据显示,扩心病的5年生存率已明显提高,可达65.5%~75%。
彭道泉教授提醒广大患者:“如果积极接受治疗,听专业医师的指导,依从优化的药物治疗,部分扩心病病人的心脏大小能回到正常,心功能也能恢复。 不少患者可以治愈。 ”
02
哪些信号提示扩心病的可能?
心脏疾病常因受凉诱发,以咳嗽表现,误以为感冒,这一点常常被普通人忽略。
“很多扩心病由一次感冒发展而来,病人总是干咳,尤其表现为晚上咳得多,白天咳嗽较少。 按感冒治疗无效。”彭教授向大家强调说,“这个病发展比较慢,一开始很难察觉,但有些蛛丝马迹不要放过。
比如原本你一口气可以爬7楼,突然只能爬到5楼,慢慢地越爬越喘气不过来,下午晚上出现脚肿就要当心了。”
除此之外,体检发现“心影扩大”就要去心血管内科详细检查了。“拍胸片(X线检查)和查心电图是必须要做的检查”,说到这里,彭教授提醒广大基层医生:有了可能患扩心病的线索后,心脏彩超检查基本可以确定扩心病诊断。
有条件的,还可以给患者查心脏磁共振、心肌核素等。

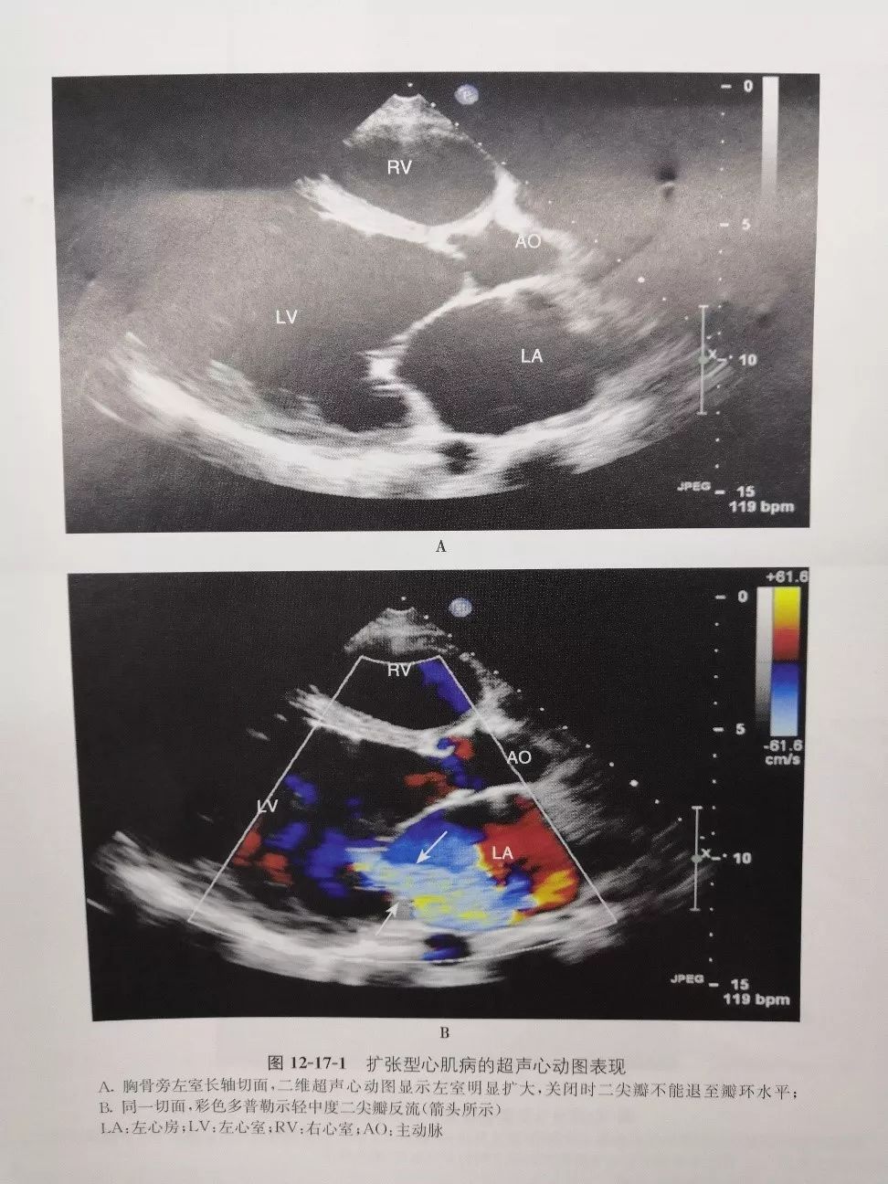
(图注:扩心病超声心动图[2])
“扩心病具有多种原因,只要心脏扩大+心脏收缩功能下降就可以考虑扩心病诊断,但真正扩心病需要排除其他已知原因后才能诊断。典型的扩心病多有家族史,由基因突变所致,可考虑做基因检测,提早干预和治疗,也利于优生优育。”彭教授补充道。
03
注意!这些因素导致扩心病
据彭道泉教授介绍,扩心病是一类解剖加功能诊断的疾病,“心脏明显增大”、“心脏功能变差” (射血分数减少) 是临床医师诊断的重要依据之一。由于家族遗传、基因突变导致的扩心病占25%左右。其它后天原因有很多,部分病因还未查明,已知的因素包括:
-
高血压、冠心病导致的心肌病。
-
部分瓣膜性心脏病(如主动脉返流及狭窄)
-
病毒感染,比如病毒性心肌炎可转化为扩心病。
-
免疫性疾病引起,比如由系统性红斑狼疮、血管炎等导致扩心病。
-
代谢性和内分泌疾病引起的,比如甲状腺功能亢进、甲状腺功能减退、糖尿病等导致的心肌病。
-
酒精导致的心肌病。
-
药物中毒,比如肿瘤化疗药可能导致心肌病,还有*头丸摇**等*品毒**导致心肌病。
04
扩心病如何治疗?治愈的希望大吗?
“能找到明确病因的扩心病,针对病因治疗大部分可以治愈。”彭教授说。比如由高血压、冠心病引起的,控制血压和开通堵塞冠脉血管;由瓣膜病引起的通过换瓣手术治疗;由酒精引起的通过戒酒;由吸毒引起的戒毒;由免疫疾病导致的控制疾病活跃;甲状腺功能亢进患者给与抗甲状腺药物等。
“除针对病因治疗外,心肌病还具有针对心衰的共性治疗”,彭教授强调。
据彭教授介绍,心衰的药物治疗主要分两类:改善症状的治疗和改善预后的治疗。
-
能缓解扩心病患者症状的治疗,就是医生们常说的“强心、利尿、扩血管类药物”,比如洋地黄类、磷酸二脂酶*制剂抑**、肾上腺素能受体兴奋剂、噻嗪类、袢利尿剂、硝酸甘油、硝普钠等。这些药物的主要作用是帮助扩心病患者增强心肌组织的收缩能力,排出体内多余的水分减轻心脏的负担。
-
能让患者活得长久的治疗,也就是医生说的“改善预后”的药物,比如血管紧张素转化酶*制剂抑**(ACEI)和血管紧张素受体拮抗剂(ARB)、β受体阻滞剂、醛固酮拮抗剂等,还有血管紧张素受体-脑啡肽酶*制剂抑**(ARNI)和SGLT-2*制剂抑**及减慢窦性心律的伊伐布雷定等。这些药物可使扩大的心脏缩小,减低的收缩功能恢复。
除药物治疗外,还有器械治疗,包括抗心衰起搏治疗和埋葬式除颤仪(ICD)等,或者有条件的做心脏移植。
“总之,在专业医生指导下规范服用药物,延长寿命或治愈的可能性很大。不要丧失信心。”彭道泉教授总结说,并提醒所有正在为幸福生活奋斗的人:保护好心脏,还要注意休息和避免劳累,像新闻中网易员工那样,查出了扩心病还继续拼命加班,对扭转病情没有任何帮助。有了好身体,才能把工作做好,把自己和家庭照顾好。
专家简介

彭道泉 教授
一级主任医师,博士生导师, 中南大学血脂与动脉粥样硬化研究所所长,中南大学湘雅二医院心血管病研究室主任。主要从事血脂、炎症与动脉粥样硬化研究,先后在加拿大卡尔加里大学及美国克利夫兰临床中心博士后研究4年。获得美国心脏病协会(1项)、国家自然科学基金(6项)、卫生部临床重点项目(1项)等科研课题10余项,在《Nat Med》《Eur Heart J》等杂志发表SCI论文42篇,在美期间获专利创新奖2项,获教育部、卫生部、省科委等科技成果奖4项,主编专著2部,参编专著7部。
参考资料:
[1]https://www.sciencedaily.com/releases/2019/11/191122073530.htm
[2]陈灏珠. 实用内科学(11版)[M]. 北京: 人民卫生出版社, 2017.
本文首发:医学界心血管频道
受访专家:中南大学湘雅二医院心血管内科主任医师 彭道泉
本文作者:陈艺丹
责任编辑:董小雯
版权申明
本文原创 如需转载请联系授权
- End -