刷牙,是我们每天都要做的事情,更是我们日常生活的一部分。大多数人认为只要刷了,就做到好好刷牙了,其实不然,只有掌握正确的刷牙方法才能有效地清洁牙齿,而错误的刷牙方式,则会损害我们的牙齿健康!
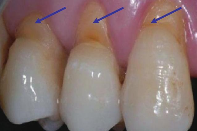
请对照下面的图片,看看您的牙齿根部是否隐约有深浅不一的凹槽,如果有,那就得当心了。有些人牙齿常常遇凉酸痛,总以为是蛀牙,殊不知很有可能是这些凹槽也就是医学上称作的“楔状缺损”所导致。

楔状缺损是牙齿唇、颊侧颈部硬组织发生缓慢消耗所致的缺损,典型的缺损由两个夹面组成,口大底小,呈楔形,故而得名。
楔状缺损病因:
一、不正确的刷牙方式
这是发生楔状缺损的主要原因,长期横向刷牙或用过硬牙刷、刷牙过猛都会导致牙颈部磨损,一般年龄越大,此病的发病率越高,堪称“刷出来的牙病”。

二、牙颈部的结构
牙颈部釉牙骨质界处的结构比较薄弱,牙龈在该处易退缩,易被磨去从而形成缺损。

三、酸的作用
龈沟内的酸性环境可使牙颈部组织脱矿,受摩擦后易缺损。长期饮用碳酸饮料也会造成牙齿的损耗。

四、牙体组织的疲劳
牙齿唇颊侧颈部是咬合力应力集中区。长期的咀嚼力,使牙体组织疲劳,于应力集中区出现破坏。横刷牙、酸蚀、牙合力疲劳三因素的综合作用可导致实验性楔状缺损发生,其中牙合力因素对缺损形成和加深起了重要作用。

楔状缺损的治疗措施:

1、缺损较浅的楔状缺损,无症状,可不做特别处理。
2、有牙本质过敏者,使用脱敏牙膏防治敏感,如无效果,可由专业口腔科医生进行脱敏治疗。
3、缺损较大者,可用充填法修复;有牙髓病、根尖周病者应进行相应牙髓治疗或根管治疗后做缺损修复;如缺损已导致牙齿横向折断,则应拍X光片进行检查剩下的牙根是否可以保留,可以保留的牙根在进行完善的根管治疗后予以桩核冠修复,无法保留的牙根则应拔除后进行义齿修复。
4、使用正确刷牙法(竖刷法),刷牙时不要过分用力,以免损伤牙龈。
楔状缺损预防:

1、正确刷牙,切忌刷牙过于用力,避免横刷,选用软毛牙刷。
2、尽量少吃酸甜食物和坚硬食物。
你的牙齿也有这样的问题么?如果有,最好还是早点去医院检查,早点处理。