“太疼了”“好像在吞刀片!”
前段时间很多人都经历了这种痛苦
但对59岁的老金(化名)来说
这种痛苦已经持续了三年多
甚至连喝水、吃饭都是一种折磨
人也日渐消瘦
严重影响正常的工作和生活

“嗓子疼”能有这么“结棍”吗?
浙大一院专家提醒
有类“嗓子痛”问题其实在脑子
一招教你鉴别
一
反反复复“吞刀片”,咽喉炎治了3年仍不见好
老金是浙江嘉兴人,退休前在一家工程服务公司工作。三年前,他隐约感觉到 右侧咽喉部位没来由地开始疼痛,同时右耳和舌根部也偶有痛感。 起初,他以为是咽喉炎作祟,并未引起重视。
“后来感觉越来越严重,尤其是在喝水、吃饭时做吞咽动作,痛感会明显加强。”老金表示,虽然每次都只持续几分钟,但那种“吞刀片”的感觉终身难忘。
三年来,老金辗转当地多家医院耳鼻喉科,但 基本都被当做咽喉炎治疗,情况始终没有得到缓解 。 为了减轻痛苦,他不仅终日靠止痛片度日,还尽量少饮水进食,人也日渐消瘦。

去年底,一位当地医生诊断他为神经痛并进行了药物对症治疗,疼痛发作的次数明显减少,尽管很快病情又反复,但这让他坚定了治疗方向:可能真的不是咽喉炎。
照着这个思路,经过多方打听,老金慕名来到浙江大学医学院附属第一医院神经外科副主任王峰主任医师的门诊。
二
以为是嗓子的问题,其实是神经的问题
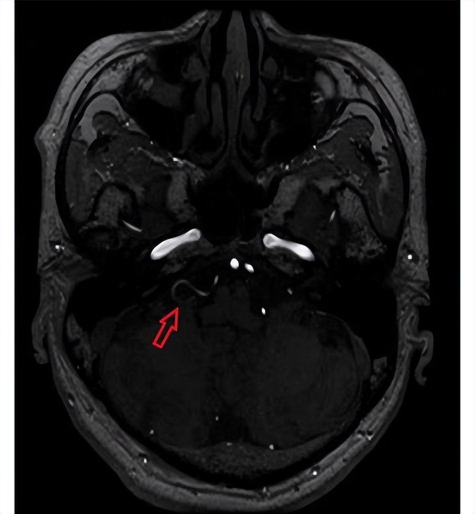
“门诊了解到他在做吞咽等动作时疼痛发作,且发生在单侧区域,是典型的神经痛表现。 ”王峰主任医师介绍,为进一步诊断,老金接受了磁共振神经血管成像检查,最终发现他右侧小脑后下动脉压迫舌咽神经。

术前磁共振
舌咽神经是人脑中一对颅神经,控制咽喉部肌肉的运动。与我们熟知的三叉神经痛一样,当舌咽神经受到血管压迫、肿瘤压迫、外伤刺激等因素影响时,也可能出现舌咽神经痛。而老金没有肿瘤、外伤等因素,医生考虑还是血管结构导致的血管压迫。
一直以为是嗓子问题,没想到根源竟出在神经。找到“罪魁祸首”的老金依然没有松一口气:脑子里的毛病,治疗起来会不会更麻烦?
“对症止痛、营养神经等方法对早期的神经痛有一定效果。”老金的主管医生、浙大一院神经外科兰平医师解释,但对老金来说,这些保守疗法已经不起作用,需要尽快进行手术治疗。
目前,显微血管减压术是治疗舌咽神经痛最安全、有效的外科治疗方法。通过在患者的患侧耳后开一个小口,在显微镜下用垫片将压迫的血管和神经“隔离开”。这种手术创伤小、手术时间短、体表无疤痕,绝大多数患者在术后,疼痛感会立即消失。

显微血管减压术
日前,老金成功接受了舌咽神经微血管减压术。术后当天,让老金痛不欲生的痛感完全消失。目前,老金已康复出院。
三
专家提醒:这样鉴别不同类型疼痛
疼痛是人类对伤害性刺激的一种正常感觉,引起疼痛的病因有很多种。对于舌咽神经痛,大多数情况下人们都很难识别,常常饱受折磨而求医无门。
“像舌咽神经痛,就很容易和咽喉炎混淆。” 王峰主任医师解释,这分别属于神经性疼痛和炎性疼痛两种不同的类型。 炎性疼痛通常呈慢性持续性,而神经性疼痛通常表现为短暂的、快速的剧烈疼痛,多为电击样、灼烧样疼痛。
而即便是同属神经性疼痛,舌咽神经痛也容易和三叉神经痛混淆,其实两者在诱发因素、疼痛状态上有明显区别。
|
舌咽神经痛 |
三叉神经痛 |
|
|
疼痛位置 |
疼痛多发于单侧的舌根、咽喉和扁桃体,有时以耳部疼痛为主要表现。 |
疼痛多发生于舌前2/3、面颊部、嘴角等部位,疼痛右侧多于左侧。 |
|
诱发因素 |
吞咽、说话、打哈欠、掏耳朵等都会诱发疼痛。 |
疼痛通常是由于对面部的触碰,例如洗脸、刷牙。 |
|
疼痛状态 |
每次持续发作时间在数秒或数十秒,不超过两分钟。 |
反复发作的阵发性剧痛。 |
浙大一院神经外科主任詹仁雅教授表示,尽管舌咽神经痛发病率低,但患者如果出现以下情况,应到神经外科就医诊断。
01
咽喉部出现发作性剧烈的疼痛,且通过耳鼻喉科相关治疗手段无法改善的病症。
02
存在动作性诱发因素,例如喝水、吃饭。随着吞咽动作的发生,诱发疼痛出现。
03
疼痛呈刀割样、针刺样、灼烧样,且痛感固定出现在某一侧。