【基本信息】女,38岁
【疾病类型】急性肾盂肾炎
【治疗医院】上海交通大学医学院附属仁济医院
【就诊时间】2022年3月
【治疗方案】抗感染治疗
【治疗周期】2周
【治疗效果】腰痛好转,尿常规及尿培养转阴
【分享理由】急性肾盂肾炎是可以预防的,一方面要注意*处私**的清洁卫生,勤洗手,勤换内衣,尽量不憋尿,避免细菌通过尿道进入膀胱,再逆行感染侵犯肾盂,尤其是女性朋友由于生理构造特殊更容易得泌尿道感染。
一、初识患者
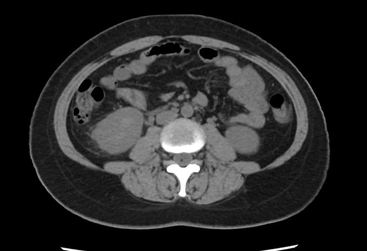
赵女士是因为右侧腰痛伴发热来门诊就诊的,这两天发热最高达39摄氏度。同时伴有尿频尿急尿痛等膀胱刺激症状。我给赵女士做了体格检查,右侧肾区叩击痛明显。从赵女士的症状和体征来看,是比较符合急性肾盂肾炎的。为了进一步明确诊断,我给她化验了尿常规、尿培养以及血常规、C反应蛋白和降钙素原等感染指标,结果显示尿和血白细胞都明显升高,感染指标也是高的,尿培养显示大肠杆菌感染,同时我们也给赵女士完善了尿路CT,显示右侧肾脏周围有比较明显的炎性渗出,符合肾盂肾炎的影像学表现。

图一:腹部CT显示右侧肾脏周围渗出明显
二、治疗经过
赵女士的症状体征、实验室和影像学检查都支持急性肾盂肾炎的诊断,其尿培养显示大肠杆菌感染,一般是膀胱炎逆行感染引起,我们根据药敏结果为赵女士选择了敏感抗生素头孢克肟静脉点滴抗感染治疗,输液三天后症状好转,继续输液治疗共一周,每三天复查感染指标,一周后赵女士明显好转,改用口服头孢克肟分散片继续巩固治疗一周。
三、治疗效果
赵女士通过抗感染治疗2周后已经痊愈,抗感染治疗3天后就没有再发热,复查尿常规白细胞和血感染指标都明显下降,抗感染治疗一周,尿常规、血常规和尿培养结果均转阴,右侧肾区叩击痛阴性。
四、患者生活中的注意事项
1.清淡饮食,避免辛辣刺激性食物,进食营养易消化的食物。
2.多饮水,多排尿,避免憋尿,以达到排除细菌及毒素的作用。
3.坚持规范治疗,遵从医嘱,按时服药,定期复查。
五、医生感悟
急性肾盂肾炎是一种常见的泌尿系统感染性疾病,致病菌多来自下尿路上行感染,大多为大肠杆菌,在患者免疫低下时容易发作,好发于女性。急性肾盂肾炎以发热、寒战和腰痛等全身症状为主,可伴有尿频尿急尿痛等局部症状,严重的会出现头痛和恶心呕吐。赵女士便是典型的肾盂肾炎的表现。
急性肾盂肾炎的治疗主要是抗感染治疗和对症支持治疗,先给予广谱抗生素经验性抗感染治疗,常用的药物为头孢类和氟喹诺酮类药物,再根据治疗效果和药敏结果及时调整药物。如有高热、电解质紊乱等情况,应及时予以退热和补液等对症处理,治疗过程中应定期复查相关感染指标,一般治疗周期为2周左右,可根据疾病严重程度选择输液或口服抗感染治疗。
急性肾盂肾炎是可以预防的,一方面要注意*处私**的清洁卫生,勤洗手,勤换内衣,尽量不憋尿,避免细菌通过尿道进入膀胱,再逆行感染侵犯肾盂,尤其是女性朋友由于生理构造特殊更容易得泌尿道感染。另一方面要多喝水,多排尿,可以冲刷尿道,促进致病菌的排出。最后要注意休息,增强体质,提升自身免疫力,继而提升机体对疾病的抵抗能力。
本文由叶惟靖,汪浩共同创作。