
一、房间隔缺损(ASD )
1.胚胎发生及病理分类 如果第二房间隔发育障碍或第一房间隔吸收过度以致第二孔扩大或未能完全遮盖均可导致卵圆窝部位的缺损,即继发孔型ASD。肺静脉异常地附着于上腔静脉或下腔静脉,腔静脉与肺静脉间的壁被吸收导致心房间的交通为静脉窦型ASD。冠状静脉窦与左心房间分隔障碍即形成冠状静脉窦型ASD。
2.超声诊断要点 由于卵圆孔的存在,继发孔型ASD在胎儿期诊断较难。有报道房间隔回声失落大于8mm,由右房到左房的血流速度小于30cm/s,或呈双向时可作为产前诊断ASD的参考标准。房间隔后上方或后下方缺损,应考虑静脉窦型缺损可能。条状冠状静脉窦无法完整显示应考虑冠状静脉窦型ASD。但产前一般不轻易作ASD的诊断。
3.预后评价 胎儿期继发孔型ASD导致血流异常的几率极小,如果继发孔型ASD是单发的且不合并其他畸形,无需做特殊处理,但出生以后应尽快进行新生儿心超的检查,以详细评估缺损的程度。静脉窦型及冠状静脉窦型缺损发生率较少,且产前诊断困难。
二、室间隔缺损(VSD)
1.胚胎发生及病理分类 室间隔的胚胎来源于心室本身形成的肌间隔,圆锥间隔和房室心内膜垫参与形成的膜部间隔。若任何一部分发生异常,均可形成VSD,即肌部型、圆锥型和膜周型。胎儿期,单发的VSD中肌部型最多见,约占所有单发的VSD的80%以上
2.超声诊断要点 室间隔见回声中断,中断处有穿隔血流。
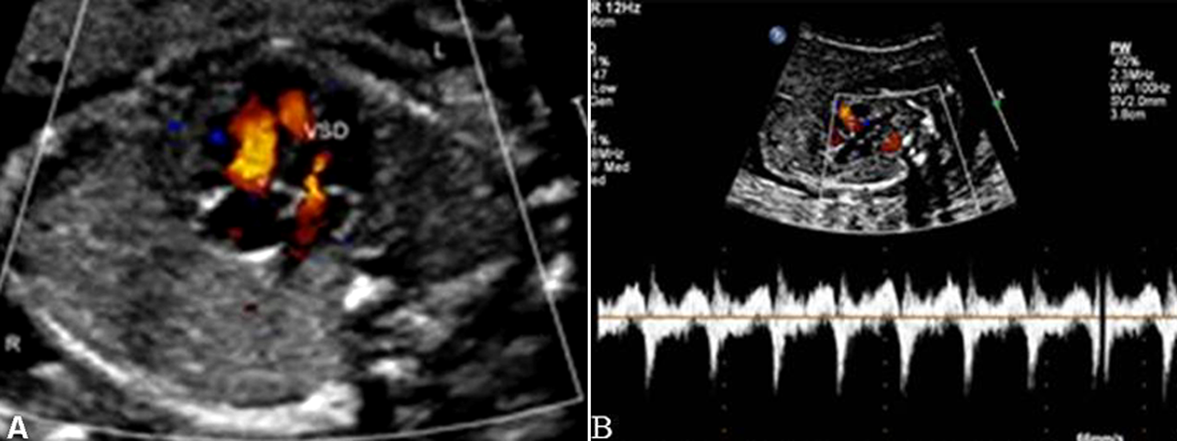
一般5mm以内的VSD在胎儿期容易被漏诊。漏诊原因不仅是由于缺损太小,而且还与是否有室间隔穿隔血流的存在有关。在心尖四腔心切面观,室间隔回声与声束平行,由于超声的侧壁失落效应易使膜部室间隔发生回声失落,出现缺损的假象,此时需改变探头角度以获得胸骨旁四腔心切面观,使得室间隔与声束垂直以观察室间隔的连续性,同时应用彩色多普勒观察是否有穿隔血流,还可应用多普勒时间流速曲线测量穿隔血流以进一步证实。因此有穿隔血流存在是胎内诊断VSD的可靠指标(图1、图2)。

图1 胎儿膜周部室间隔缺损:A:二维超声显示胎儿膜周室间隔缺损;B:为同一剖视面观彩色多普勒血流图

图2 胎儿肌部室间隔缺损 A:肌部室间隔中断处见穿隔血流;B:在室间隔中断处测及双向血流时间流速曲线
3.预后评价 VSD是最常见的先天性心脏异常之一,占全部心脏畸形的25%~30%。单发的小型VSD(小于或等于3mm)不会影响胎儿的血流动力学,且胎内自然愈合率可达30%,出生后一年内可达60%~83%。但较大的VSD(大于5mm)预后会较差,患儿出生后,随着肺血管阻力的下降,左向右分流增加,会逐渐出现临床症状,包括反复肺部感染、反复心力衰竭、肺动脉高压、主动脉瓣关闭不全等,此时需考虑外科手术治疗。单发的肌部VSD发生染色体异常的风险与正常妊娠者相同,但膜周部VSD存在染色体异常的风险较高,此类胎儿建议行染色体检查。
三、房室间隔缺损(AVSD)
1.胚胎发生及病理分类 AVSD是由于胚胎发育早期房室管背腹两侧的隆起未在管腔中线处融合形成心内膜垫,仍然为原始的房室管。心内膜垫又参与房室瓣的形成,因此AVSD均伴有房室瓣的畸形。胎儿AVSD分为部分性和完全性两种。部分性AVSD亦称为原发孔型ASD、部分性房室通道、部分性心内膜垫缺损等,常合并二尖瓣和(或)三尖瓣裂缺。完全性AVSD亦称为完全性房室通道、完全性心内膜垫缺损等,其病理特征为原发孔型ASD、共同房室瓣、流入道室间隔缺损。
2.超声诊断要点 房室瓣与房室隔十字相交的正常结构消失,二、三尖瓣关闭时呈水平位。
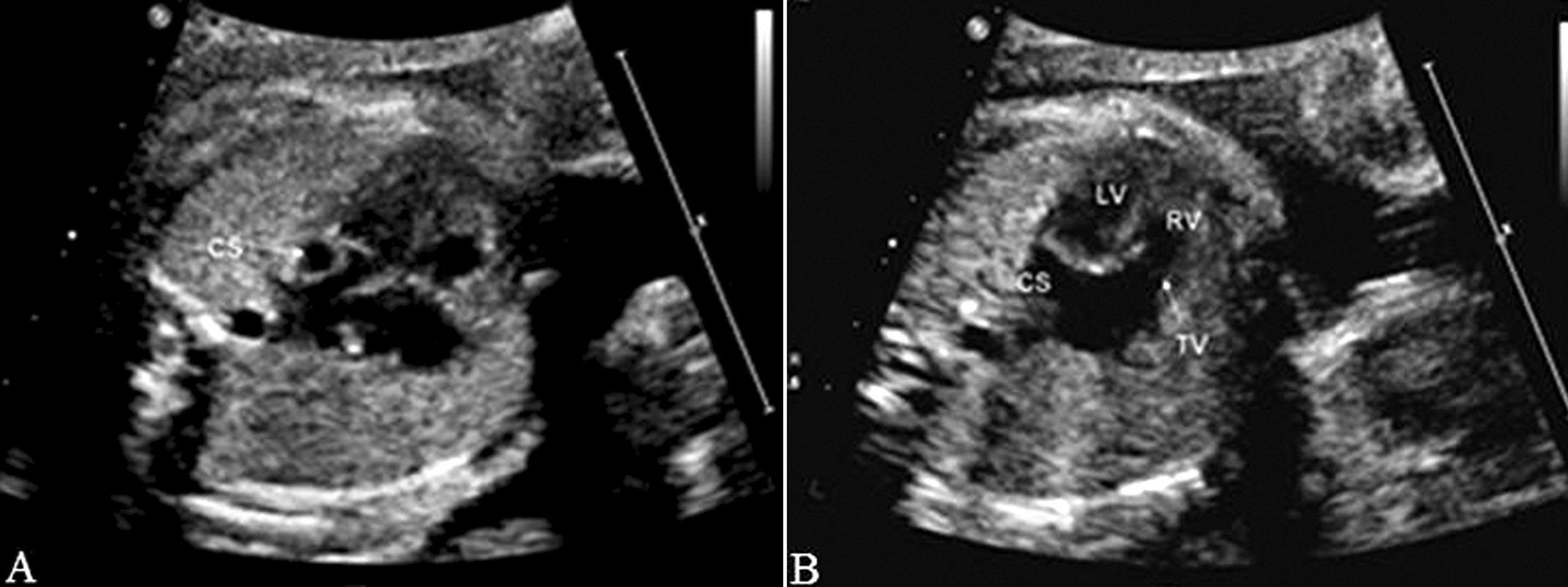
部分性AVSD超声图像特征为:房间隔的原发隔缺失,房室瓣与房室隔十字相交的正常结构消失,二、三尖瓣关闭时呈水平位,同时伴有二尖瓣和(或)三尖瓣反流,而室间隔完整,心室水平无分流(图3)。原发孔型ASD应与增大的冠状静脉窦相鉴别。前者心尖四腔切面观始终无法显示正常的十字交叉结构,后者声束在心尖四腔切面观靠后时显示等号状增大的冠状静脉窦,同时不能显示二尖瓣,而心尖四腔切面观时可见正常的十字交叉结构,并可见左侧房室沟处呈环状增大的冠状静脉窦(图4);另外,冠状静脉窦增宽常合并左侧上腔静脉永存,三血管气管切面在肺动脉左侧可见与右侧上腔静脉对称的血管即左侧上腔静脉(图5)。
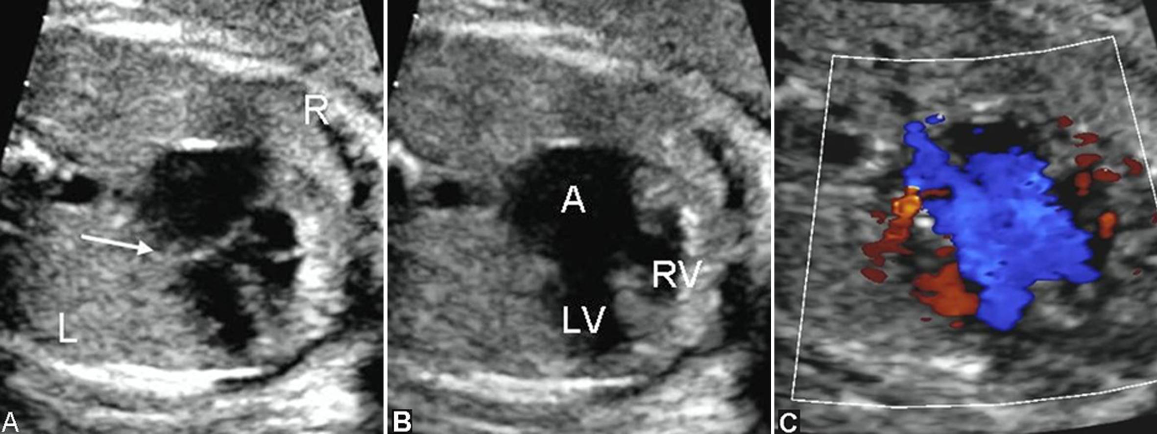
完全性AVSD超声图像特征为:四腔心切面观房室瓣与房室隔十字相交的正常结构消失,房间隔下部分及室间隔流入道部分缺失;彩色多普勒检查时两条平行的房室血流消失,呈H型血流(图6)。共同房室瓣一般由五个瓣组成,常伴有房室瓣膜功能不良和关闭不全。

图3 胎儿部分性房室间隔缺损

图4 胎儿冠状静脉窦增宽

图5 胎儿左侧上腔静脉永存三血管切面观

图6 胎儿完全性房室间隔缺损合并单心房
3.预后评价 心内膜垫发育异常形成的房室隔缺损占严重心脏畸形的13%~14%。约50%的AVSD合并其他心内畸形,最常见的合并畸形是大动脉骑跨、心室双出口、左心发育不良等;有时还会导致心脏房室结异位,发生心律失常;另外大约50%的单发性AVSD为21-三体综合征。产前诊断AVSD的病例若选择继续妊娠者,应先排除其他心内、外畸形及染色体异常,密切随访监测胎儿房室瓣反流程度、是否出现心律失常和胎儿水肿。