癌症的可怕之处,很重要的一点就是早期症状不明显,有些肺癌患者甚至都没有咳嗽、咳痰、胸痛等症状,却已经悄悄发生了转移。
下面我们先看几个没有肺部症状的晚期病例,顺便解答一下读者朋友关于肺结节的疑惑。
病例1,男性65,言语不清5天,怀疑脑血栓做了脑CT检查:

左顶叶巨大低密度水肿区,不按供血区分布,在脑灰白质交界区似乎有小结节,不符合脑梗死,首先考虑脑转移瘤。
怀疑脑转移,首先要查肺部CT(肺癌常见脑转移),于是肺部扫描发现了下面这个病灶:

这样就确诊了:右下肺癌脑转移。
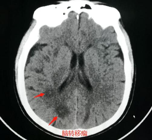
病例2,女性患者,67岁,头晕一周行脑CT检查:

发现脑内多发类圆形低密度影,内部似乎还有稍高密度小结节,可疑脑转移瘤,于是进一步肺CT检查:

果然发现了右侧肺癌脑转移,伴有胸膜牵拉和增厚。
病例3. 女性患者,83岁,突发头晕、言语不清1天,怀疑脑血管意外做颅脑CT:

发现脑内多发的小结节,比周围脑组织密度略高,但周围没有低密度水肿带。
询问病史,老人没有去过疫区,也没有吃过生猪肉等,不支持寄生虫病,那就要想到不典型脑转移瘤的可能,于是住院进一步检查肺部:

发现了右下肺癌,伴有肺底部膈胸膜牵拉,符合肺癌并脑多发转移瘤。
病例4. 女性患者,48岁,无意中摸到右侧颈部小肿物,很硬,不疼,位于锁骨的上方,活动度不好。外科医生触诊之后高度怀疑转移性淋巴结,建议先做胸部CT检查肺部:

结果在右下肺胸膜下发现了这个不规则小肿块,伴有胸膜牵拉,周围有毛刺,在近端还可以看到一根明确的肿瘤血管,符合肺癌并锁骨上淋巴结转移。
为什么这4例肺癌的肿块并不巨大,却早早发生了远处转移呢?
我们仔细观察可以发现,这4个肺癌肿块的位置都靠近胸膜,并且肿块与胸膜发生了牵拉(胸膜凹陷征),这提示肿瘤细胞侵犯了胸膜,并且通过胸膜的脉管系统发生了远处转移。
事实上,对于胸膜下的恶性肿瘤,影像科首先要评估的就是胸膜是否受侵犯,因为这影响预后。
胸膜侵犯的征象有哪些呢?
总结发现,同时具备肿块与胸膜相贴,实性成分大于50%,病灶大于2厘米,邻近胸膜增厚,在胸膜受侵概率为99.2%。
反过来说,如果上面4条都不具备,则胸膜受侵的可能性接近于0。
发生了胸膜受侵,手术范围就需要根据情况扩大切除了。
胸膜凹陷征常见于哪些癌症的病理类型?
胸膜凹陷是由于肿瘤内部的纤维瘢痕收缩牵拉所致,主要见于肺腺癌(大约为48%),其次是肺鳞癌(约为13%),小细胞肺癌大概有2%的几率出现。是预后不良的重要征象。
综上,我们就明白了,为什么有些肺癌患者肿块已经很大,手术效果却很好,获得了多年生存;而有些病人肿块并不大,却很快发生了转移不能做手术了。
最后谈一下这种晚期肺癌患者的治疗:
对于这类晚期肺癌的病人,首先是要明确病理学的诊断。
肺癌的治疗首先分成两大块,小细胞肺癌跟非小细胞肺癌,非小细胞肺癌的治疗又区分腺癌,鳞癌等,在具体的治疗上既要结合病人的具体症状也要结合具体病理分型及基因检测的结果。需要根据病人的具体情况制定不同的治疗计划。有些是先处理局部转移问题,然后再肿瘤的全身治疗。有些是直接予以基因检测口服靶向药物,有些是适合首先化疗。依据情况而定,但病理检测一定要先行。
所以很多患者家属有时候会质疑,为什么已经明确肺癌了,还要花钱进一步检查病理,其实是有意义的。
实际上,肺癌如果能做到早期发现,治愈率是很高的。所以最后我们还是要呼吁一下,要重视定期健康体检,尽早发现肺部高危结节,密切监控,及时处理。
我是影像科豪大夫,谢谢阅读,如有疑问,可以在留言区留言,我将尽量回复,也欢迎关注我