丹东市中心医院骨外一科团队
成功开展经皮骨水泥椎间盘成形术(PCD)
随着脊柱外科微创技术的发展,脊柱微创设备的不断优化和脊柱微创技术的不断提高,经皮骨水泥椎间盘成形术(Percutaneous Cement Discoplasty,PCD)在解决病理性椎体骨折中发挥出重要作用,为此类患者带来福音!
患者刘女士,73岁,患者因胸腰部疼痛伴活动受限半年,加重一周入院,MRI提示:胸10、11、12椎体病变,转移瘤?腰1-骶1间盘膨出,椎管狭窄。腰3椎体许莫氏结节形成。门诊以“胸椎体多发病理骨折”收入院。患者入院时双下肢肌力四级,肌张力正常,基本卧床,不能翻身坐立,下床行走困难,严重影响生活质量。

患者术前CT


患者术前MRI

收入病房后,在杨晓东主任带领的骨外一科团队进行全科会诊。在杨晓东主任的指导下,由刘中俊主任医师携带锦州医科大学研究生张开华医生,在导管室的紧密配合下,考虑到患者对手术风险的耐受程度,及T11椎体的破坏严重,决定分别于7月12日和7月27日分两次实施T10、T11、T12及T11、12椎间盘成形术,术后病情缓解,在张艳护士长的护理团队精心护理下,术后三天,患者步行出院。

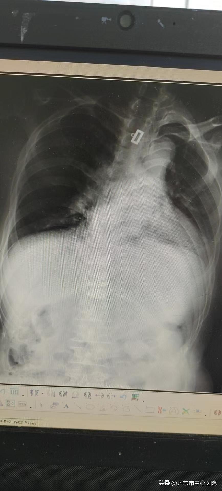
患者术后DR

术后DR显示,骨水泥置入位置良好,患者无不良反应,患者疼痛和活动受限得到良好改善。

经皮骨水泥椎间盘成形术是本院第一例手术,填补了丹东的医疗技术空白。对于骨肿瘤椎体骨折、肿瘤骨转移椎体骨折、骨质疏松椎体骨折患者及腰椎间盘突出症和脊柱不稳的患者来说能够迅速缓解患者的疼痛,及早满足下床活动的需要,不仅极大的满足了患者的日常生活需要,提高患者生活质量,目前我科已完成了全脊柱、四肢长骨、胸骨柄、体、骨盆及骶髂骨骨转移的骨水泥填充治疗,同时还为今后进一步行粒子植入内放疗治疗提供了技术支持。