缺一颗牙医生说没法补 (医生说我缺了一颗牙齿)

总是会有人问牙医这样的问题:缺一颗牙危害大么?有什么好的修复方法么?听说缺一颗牙少活十年,是认真的么?医生,我只缺了一颗牙,也不疼,吃饭也不影响,我需要去镶个牙么?

医生说我少一颗牙怎么回事,医生说我少了一颗牙

很多人都以为,牙齿只是缺了一颗,不影响生活就没关系,反正还有那么多牙齿可以用。但是,缺牙造成的危害,远远超过你的想象。

缺了一颗牙就等于毁容。确实如此,不仅毁容,还会影响口腔的健康,长时间的缺牙,即便只有一个,也会对整个口颌系统造成严重的影响。

实际上,缺了一颗牙,会对周围 7颗牙齿都造成影响:

医生说我少一颗牙怎么回事,医生说我少了一颗牙

下面,我们来具体看一看,缺牙到底有什么危害:

1. 引发龋齿:缺牙之后不及时进行修复,临近的牙齿移动之后,容易造成牙齿稀疏,牙齿之间产生缝隙,使食物残渣更容易塞牙,引发龋齿等疾病。

2. 引发周围牙齿的脱落:缺牙不修复很容易引发邻牙、对牙甚至同侧牙齿的松动和脱落。

3. 对牙疯长,导致塞牙:由于缺牙,邻牙会进行不合理的移动,对牙则会疯狂生长,不仅会造成咬合紊乱,还会增加食物嵌塞。食物嵌塞会加重牙齿的龋坏,龋坏又会会加重嵌塞,形成恶性循环。长久下来,缺牙周围的牙周组织会遭到严重的损坏,引起炎症,进而发展成牙周炎,表现为口臭、牙龈脓肿或者萎缩。

4. 影响美观:如果缺失的是门牙,不仅说话漏风不清晰,笑起来也会不好看,让人失去自信。

医生说我少一颗牙怎么回事,医生说我少了一颗牙

那么面对一颗牙缺失的时候,该怎么办呢?

这里介绍几种牙医会采取的解决办法。

1、 活动假牙:活动假牙是一种可以自由戴取的修复去,适用范围很广,可以解决单颗牙和多颗牙缺失的问题,来帮助患者恢复咀嚼功能。通常,活动假牙需要 5年检查一次是否需要更换。

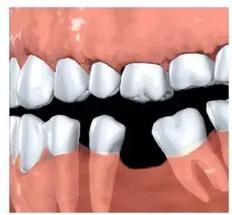
2、 冠修复:也就是我们平时俗称的烤瓷牙,也是我们使用最多的牙体修复手段。它用缺牙两侧的健康牙齿作为基牙,把健康牙齿磨小,就像桥墩一样抬起中间缺失的牙齿,起到固定的做用。如图所示。优点是美观度很高,因为材料不同,烤瓷牙的费用也是不一样的。缺点是因为需要磨掉两侧健康的牙齿,并且因为磨去了牙齿表面的保护层牙釉质,更容易造成龋坏;咀嚼时对邻牙造成的压力比较大。

医生说我少一颗牙怎么回事,医生说我少了一颗牙

3、 种植牙:这时一种在牙床上植入一个人工金属的 “牙床”,等到牙根与牙床尾骨之后,再装上一个牙冠。种植的牙齿不需要依赖别的牙齿,自己就可以替代本来真牙的功能。种植牙的缺点是因为没有牙周膜等缓冲咀嚼力的组织结构,过大的咀嚼力度会造成种植体的微动,因此种植牙患者不适合咀嚼太硬的东西。

医生说我少一颗牙怎么回事,医生说我少了一颗牙

那么,究竟应该选择哪一个方法呢?这就要问你的医生了,看具体情况而定。