来源: 皮肤医生张鹏

冬季,是一个万物进入休眠的季节。
但人却不具备冬眠的本领,还要日出而作,日落而息。对于北方人来说,冬天还是相对友好的。虽然室外零下十多度甚至三十多度,但室内却依旧可以温暖如春。
而在没有取暖设备,又没有到达足够“南”的地方,冬季就是一场考验。室内和室外是同样的冷,任凭全身的立毛肌抖动起来也无法抵御湿冷的寒气。

为了御寒,怕冷的人也是拼了。比较原始和老套的是暖水瓶和暖水袋,还有电热毯。热空调、暖气都属于固定式的大功率设备,而暖宝宝则是移动版的小装备。还有今天要提到的这种围桌式的烤火神器。

这种取暖设备可以让腿和脚短时间内被加热,随之而来整个人也变得暖和起来。
但需要小心,如果长时间地近距离靠近热源,可能引起某些皮肤疾病。
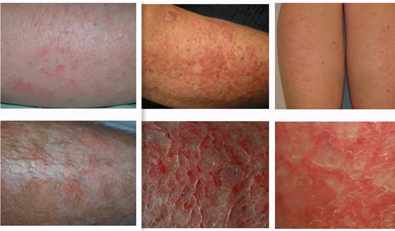
干性湿疹

皮肤若总是被热源烘烤,可以导致皮肤水分丢失增加,皮肤变得干燥,从而引起干性湿疹。
这种情况在冬季比较常见,特别是小腿处。开始为皮肤干燥,出现脱屑。之后经过搔抓,皮肤开始出现小红疹,有痒感,进一步加剧搔抓皮肤。
因此,如果以往有湿疹病史,小腿处皮肤干燥的人群,在冬季烤火的时候,要注意皮肤保湿和避免长时间接触热源,以免导致湿疹复发。平时注意加强皮肤保湿,避免皮肤干燥,避免用超过40度的热水洗浴皮肤。
火激红斑是一个物理性损伤导致的皮肤病,确切地说,就是较长时间接触热源后引发皮肤出现网格状红色斑片。在冬季好发,下肢是常见的好发部位。
本病的预防措施是要避免皮肤长时间接触热源,避免热的损伤即可。