发现实性肺结节,并且高度怀疑肺癌,为什么要做PET/CT呢?
我们直接看本周的两个患者的实例:同样2cm大小,一个早期,一个晚期?
病例1:男性 44岁 体检右肺结节,考虑为周围型肺癌。

患者1:图1
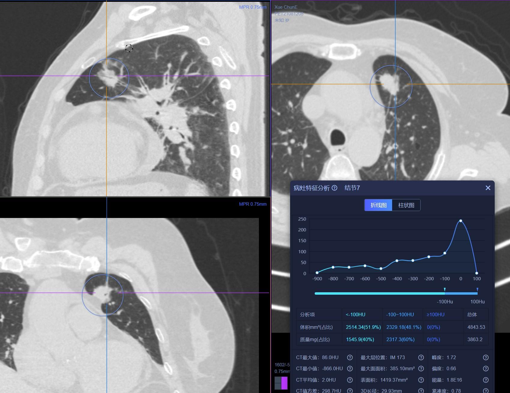
经常看我科普及所有临床或者影像科医生对这个结节的诊断都没有什么怀疑,病灶大小约2.0cm×1.2cm,实性软组织成分,病灶呈分叶状,周边可见长短不一毛刺,并可见小空洞,相邻胸膜牵拉,全部是恶性征象。单单从CT诊断基本明确。

患者1:图2
另外,薄层CT还提示肺内还发现3个结节,从CT上诊断明确,考虑为纤维增殖灶。
遇到这类结节处理方式是怎么呢?当然是手术处理,但是术前必须查明全身有没有转移,这样就可以进行一个肿瘤分期。对于诊断相对明确的肺癌,指南作为推荐做PET/CT检查。
下面我们看PET/CT检查后的情况:

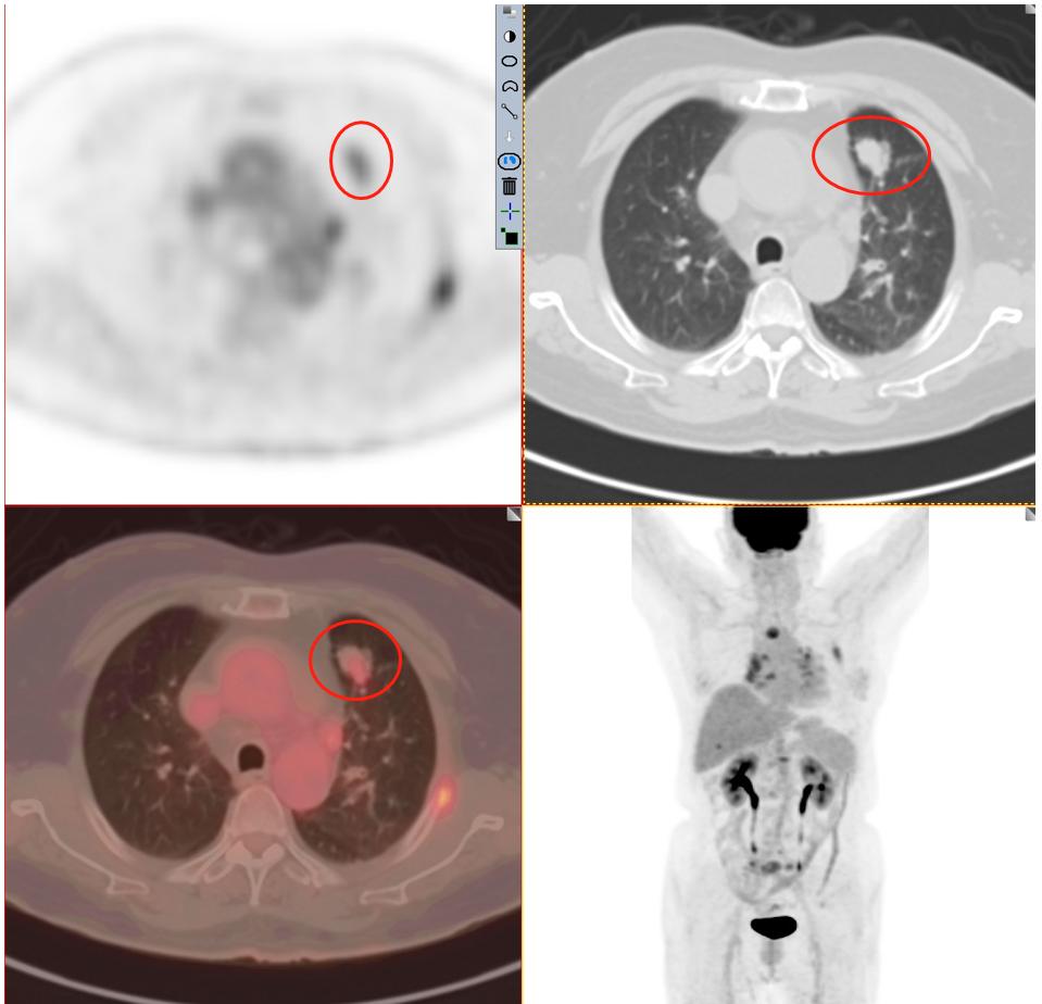
患者1:图3
毫无疑问PET/CT检查18-F-FDG葡萄糖代谢增高,再一次增强了肺癌的诊断信心,影像学可以肯定的诊断为周围型肺癌。其余所示结节未见FDG代谢增高,考虑为慢性炎性结节及钙化灶。

患者1:图4
全身PET/CT检查其他部位未见明显异常放射性浓聚灶,即全身其他部位未发现肿瘤性病变(未见明确转移)。不幸中的万幸,患者没有转移。通过检查可以进行一个肿瘤分期:T1cN0M0 属于ⅠA3期。这一类也算早期肺癌,术后治愈率不错。

那么问题来了?很多人说做PET/CT有什么意义?不是CT就可以诊断了吗?是不是这样呢?我们接下来看下一个病例,患者似乎没有想象的那么幸运。
病例2:男性 65岁 以高血压头晕入院就诊。CT发现左肺结节,考虑为恶性可能性大。

患者2:图1 CT表现及特征

这个结节诊断也不说了,非常清楚明白,周围型肺癌。
接下来我们看看全身:

患者2:图3
发现纵隔多发淋巴结转移,并转移到对侧纵隔。

患者2:图4

患者2:图5

患者2:图6
图4-5分别提示:胸骨、腰椎、骶骨及右侧髂骨骨转移。
因此该患者的肿瘤分期与第一位患者截然不同,同样病灶都在3cm以内,该患者属于T1cN3M1c 属于ⅣB期 最晚一期。这例患者当然不能手术了,只有寄希望于基因检测,如果有匹配的靶向药物,结合全身化疗或者免疫治疗,有一部分人还是有不错的效果。
因此,小结:(1)同样是2cm多的肺结节,分期不同,治疗方案选择不同。
(2)PET/CT对肿瘤的分期起到至关重要性。
(3)记得我在以前的视频中讲过,不谈分期的肿瘤治疗都是耍流氓。
(4)PET/CT对恶性肿瘤的分期作用其实更大于对肿瘤的诊断。
(5)肺结节PET/CT检查适应症:(1)大于0.8cm,并且高度怀疑恶性肿瘤。(2)怀疑为浸润性肺癌的磨玻璃结节。详细的解释请关注我,后续将推出《肺结节诊疗指南(巫勇医生个人版)》,将以视频形式和大家推出。
用真实的病例和您分享肿瘤早诊、早治及系统化影像诊断肿瘤科普知识。
关注我,为一个靠谱的肿瘤诊断医师点赞、支持。
有任何疑问及诊断,均可以在评论区留言。关于疾病,有问必答 。
(巫医生所有病历资料均来自亲历患者和网络问诊资料,亲历患者资料版权与西安高尚医学影像诊断中心共享,未经允许*载下**必将追究法律责任)