



长按海报中的二维码
获取价值288元体验兑换券
(每日限量,使用有效期截止8月20日)

首次误诊和漏诊率高,专业医疗团队缺乏,就诊流程繁琐,延误治疗时机,过度医疗严重,后遗症管理困难......

继疫情期间广受好评的下肢静脉曲张“空中门诊”之后,张强医生集团启动 静脉血栓“空中门诊” 视频咨询服务 ,针对困扰下肢静脉血栓患者的常见问题提供快速、专业、安全、有效的帮助。
张强医生集团的远程视频问诊服务使患者在家就可以通过电脑、智能手机或平板电脑与张强医生集团国际静脉病中心的专家进行实时视频咨询。

自疫情爆发以来,张强医生集团已为国内外患者进行了近千次“空中门诊”服务。
回访调查结果中,98%的患者表示有效地解决了自己的困惑。




疑似静脉血栓患者,如有呼吸困难、胸痛、意识改变等表现,请尽快至当地医院就诊。
哪些人有静脉血栓风险:

几乎任何人都可能发生深静脉血栓形成(DVT)。然而,某些因素可能会增加风险。
以下是增加发生深静脉血栓形成(DVT)风险的因素:

长期卧床
活动受限

受伤,大手术(特别涉及腹部、骨盆、臀部或腿部)

怀孕,产后最多3个月

活动受限,长时间坐着,特别是双腿交叉

长期吸烟

服用某些避孕药、激素替代疗法

某些慢性病,如:
- 心脏病
- 肺病
- 癌症及其治疗方法
- 炎症性肠病

增加DVT风险的其他因素包括:
- 有DVT或PE病史
- DVT或PE家族史
- 年龄(风险随年龄增长而增加)
- 肥胖
- 中央静脉插管
- 遗传凝血障碍
您可能有以下问题:
血栓患者常见问题
✔小腿肿痛怀疑血栓,如何第一时间得到专业医生帮助?
✔腿上患深静脉血栓,如何预防发生肺栓塞?
✔怀孕期间发生静脉血栓,可以保胎吗?
✔因为静脉血栓在口服抗凝药,可以产后哺乳吗?
✔大手术后出现深静脉血栓,最佳的治疗方案是什么?
✔下腔静脉滤器一定要放吗?
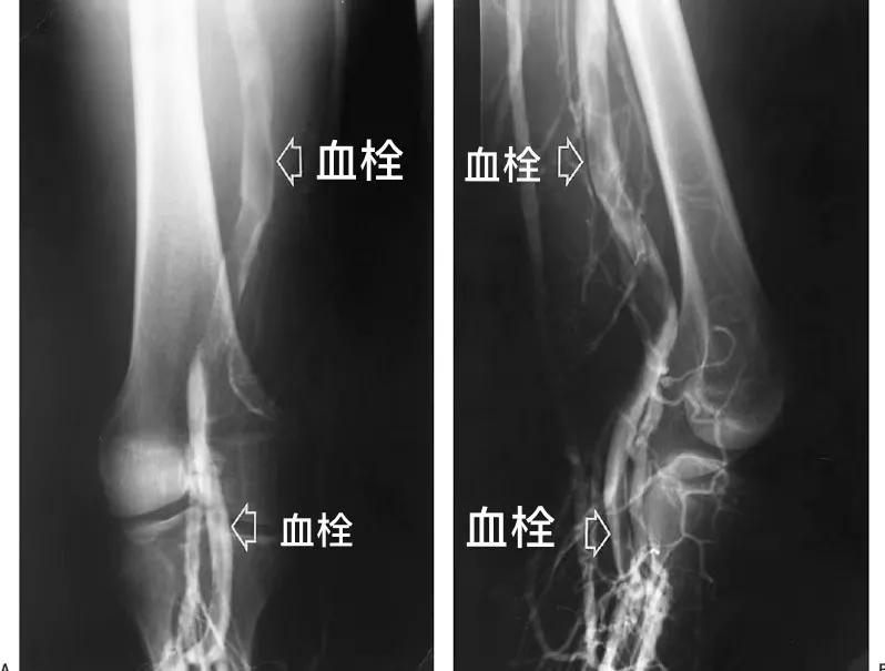
✔髂静脉发生血栓,可以取出或者溶解吗?
✔深静脉血栓没有正规治疗过,怎样防止血栓后遗症?
✔静脉血栓治疗后又复发了,需要终生吃抗凝药吗?
为什么选择静脉血栓“空中门诊”?
1、快速得到专业指导


2、不耽误最佳治疗时机


3、便捷

4、更好的问诊体验









体验过 “空中门诊” 的患者都说
“没想到还可以这么看门诊,
太方便了!”
可以只用手机就能实时与医生视频连线
无需出门,就可以和医生面对面交流
避免长时间的等待
并与医生充分沟通

视频问诊小技巧
在预约时间前10分钟登录
提前10分钟使用手机进入链接,我们的医生助理会帮助您进行调试,确保接下来的咨询过程流畅顺利。
确保空间是私密的,这样就可以讨论个人医疗信息了
避免分心:关闭预约不需要的设备,减少噪音。选择一个不会受到打扰而影响问诊过程的空间。
在咨询前,请写下您的问题
准备好纸笔做笔记,记录下您觉得重要的信息。
在光线充足的房间里进行视频问诊,以便您的医生可以清楚地看到
明亮的光线,例如应该面对窗外的光线,而不是背对光线,这样医生才能清楚地看到您。
穿着舒适,让医生可以看到
视频问诊时需要检查腿部发生症状的部位,请穿上可以活动自如,便于检查的衣服。

长按海报中的二维码
获取价值288元体验兑换券
(每日限量,使用有效期截止8月20日)
张强医生集团国际静脉病中心 (Dr. Smile Medical Group International Vein Center, SIVC )为国内第一个专注于静脉系统疾病诊疗的专科中心。在著名静脉病专家张强医生领衔下,聚集一批京沪等地三甲医院走出体制的优秀医生团队,多位医生具欧美学习背景。
张强医生团队在下肢静脉曲张诊疗领域持续创新,拥有多项亚洲和国内首创技术及纪录,引领学术前沿,是目前亚洲最大连锁静脉曲张治疗中心。
SIVC目前已经落地于全国多座城市:上海、北京、广州、成都、杭州、深圳、西安、南京、重庆、沈阳、青岛、武汉。