来源:肺癌康复圈
近10年来,由于科学家一定程度上摸清了肿瘤的免疫逃逸机制,使得免疫检查点*制剂抑**(ICIs)在肿瘤治疗上的“异军突起”。
无论是国外还是国内,学界还是产业界,人们普遍将资源转向了各类ICIs单克隆抗体的开发上。
于是,
前有国际药品市场——OKTIY五大药物轮番上阵,“你方唱罢我登场”,不断获得FDA多个癌肿的治疗许可;
后有国产“后起之秀”—替雷利珠单抗、特瑞普利单抗、信迪利单抗、卡瑞利珠单抗等药物临床试验完美收官,其中大多已获国际认可,大有在全球抗癌领域“落地开花”的趋势。
随着这个领域免疫治疗“如火如荼”的发展,越来越多的患者,将晚期难以治愈癌症的希望寄托在免疫检查点*制剂抑**上。
然而,和化疗、生物靶向治疗一样,以OKTIY为代表的免疫制剂也不是万能的。
临床研究显示,虽然ICIs药物能够成倍提升晚期非小细胞肺癌患者的总生存期(CheckMate-024,K药),可总体来看,5年生存率仍然不足20%(CA209-003,O药)。
虽然联合化疗能够进一步提高ICIs药物的总有效率到60%以上,可其中能够持续控制病情、尤其是真正实现临床治愈(CR)的病例依旧是凤毛麟角。多数患者仍将面临耐药复发,再次回到常规放化疗的“深渊”当中。
可见,ICIs免疫治疗虽然掀起了肿瘤治疗领域的一场的“飓风”,也确实正在不断改变甚或颠覆了肿瘤治疗理念。然而,从患者的角度上,还远远没能彻底改变肿瘤患者的生存危局。
究其原因,就在于目前落地的免疫治疗手段没能彻底的做到“个体化”。
要知道,每个患者都是不同的,每个患者的肿瘤组织也是不同的,其中就PD-(L)1表达多寡不同就会限制多数患者的用药效果。
况且,PD-(L)1、TMB等生物标记物并不像EGFR等驱动基因那样,是癌症发生发展的驱动因素,患者最终很有可能要面临无效和超进展的尴尬局面,即便联合免疫用药可以提高有效率,毒副作用的剧增也加大了免疫治疗半途而废的可能。
使用免疫检查点*制剂抑**,更像是一场赌局,赌赢了完美治愈,若是没压对宝,只能黯然收场。
究竟有没有机会实现一人一种治疗手段,让免疫治疗彻底的“个体化”、“精准化”呢?
其实,从肿瘤免疫治疗的原理上看,是有的!
让免疫治疗回归“初心”:
细胞免疫才是抗击肿瘤的最终战士
我们的身体天生就具有发现并排除“异己”的能力。
肿瘤的产生恰好是细胞本身突变的“恶果”,“变异”的细胞会释放出与正常细胞不同的物质,我们将其称为——肿瘤特异性抗原(TSA)。
免疫系统如果能很好的识别出一个个癌细胞的这些“异己”成分,就能够有针对性的将其摧毁!
在这个过程中,涉及到几个重要的步骤:
- 一是肿瘤细胞要将自身的“异己”成分表达出来,让免疫细胞有机会发现和识别到;
- 二是负责传递肿瘤抗原的树突状细胞(DC)能够完美的将肿瘤特异性抗原提成给免疫T细胞;
- 最后,发挥肿瘤“*伤杀**”作用的免疫T细胞还得大量繁殖,并且浸润在肿瘤周围才能很好的发挥作用。
实际上,由于细胞在不断的分裂,DNA复制的次数越多,越容易产生变异的基因序列。我们身体的细胞其实每时每刻都可能发生基因变异,身体里有癌细胞是一个很普遍的事情。
实际的情况是,大多数癌细胞在生长和扩散之前就被免疫系统识别和消灭了。反过来说,癌症的产生,恰好是那些没能被免疫系统自行消除的癌细胞“发展壮大”的结果。
有一个数据特别能说明问题,30多岁男性的前列腺中,30%的人存在癌变细胞,60岁以上时这个比例高达70%。可是,这其中只有14%的人会真正发展为前列腺癌。
免疫检查点*制剂抑**(ICIs)能够抗癌,就在于它“撤除”了阻碍免疫T细胞发挥作用的“刹车片”,让免疫T细胞彻底“解放天性”,这时候就能有针对性的对癌组织展开“追捕行动”了。

针对免疫检查点PD-1和PD-L1的抗体,阻断了免疫T细胞的抑制信号,那些专门识别肿瘤抗原(Antigen)的免疫T细胞终于被激活了
图片来源:NCI
所以你看,ICIs药物只是外来的推手,真正发挥作用的其实还是免疫细胞。而且,这些免疫细胞是高度“个体化”的,也就是说,每个人都有自己绝无仅有的一套免疫细胞队伍,负责精准的抗癌作用。
如果能直接获得这些专门识别、杀灭癌细胞的免疫细胞,就有机会实现人人显效的肿瘤免疫治疗效果!
从CAR-T到TIL,
细胞免疫治疗技术为什么能抗癌?
实际上,针对细胞免疫治疗的研究,比免疫检查点*制剂抑**出现的还要早哩。早在1997年,科学家就发现并发明了一种叫做CAR-T的免疫T细胞重组技术。
前面我们提到,肿瘤细胞要将自身的“异己”成分(抗原)表达出来,才能让免疫细胞有机会发现和识别到。好多肿瘤细胞通过各种机制,让免疫T细胞无法追踪出自己的抗原,成功逃脱免疫系统的“追捕”。
那么好,我们就把专门识别肿瘤抗原的分子直接嵌合到T细胞上去。这相当于给免疫T细胞带上一副“*踪器追**”,让它一眼就能辨认并结合住癌细胞。
这幅*踪器追**称之为CAR(嵌合抗原受体),被插上CAR的T细胞,就称为CAR-T。这些经过特别改造的T细胞,在体外培养、扩增后再注入患者体内,发挥抗肿瘤功效。
CAR-T技术在血液系统恶性肿瘤的研究相对成功,但在以肺癌为代表的实体瘤领域则“发展缓慢”。主要是因为肺癌等实体瘤干脆少表达甚至不表达可被普遍识别的肿瘤抗原,这样一来,就算免疫T细胞带着“*踪器追**”也只能抓瞎。
另一种改造T细胞的技术叫做TCR-T。它的技术原理与CAR-T类似,但是TCR-T必须利用患者自体的T细胞进行体外改造,炼就一番“火眼金睛”后再回输给患者。
目前的临床研究显示,TCR-T技术将细胞免疫成功扩展到实体瘤领域,首先对黑色素瘤有一定的疗效,然后是滑膜肉瘤,以及食道癌和结直肠癌。
原则上说,任何肿瘤突变基因都可以通过CAR-T或TCR-T方法,让免疫T细胞准确识别,从而发出精准打击。虽然如此,这两项细胞免疫疗法却存在一个致命的缺陷,那就是要提前针对某一种肿瘤特异性抗原设计相应的受体分子,并利用转基因方法让其表达在免疫T细胞上。
作为基因改造后的产物,CAR-T和TCR-T通常只能靶向一个肿瘤抗原,这意味着癌细胞只要稍稍改变一点“生活作风”,不让这种抗原分子表达出来,就能轻松逃避改造后T细胞的“围捕”。
要知道,免疫系统与肿瘤之间,是一个博弈的动态过程。
如果体内只有少数几种“强大”的免疫T细胞大量增殖,就算能发挥抗肿瘤功效,“大杀一方”,但也同时对肿瘤施加了生存选择压力,迫使肿瘤细胞进行免疫重塑,弱化自己某一方面的免疫原性,最终再次免疫逃逸。
从外向内的改变:
TIL细胞免疫技术兴起
为了改变这个局面,科学家们放弃了使用基因工程改造T细胞的想法,而是直接从肿瘤组织内部分离出正在发挥作用的淋巴细胞。
这些淋巴细胞中,肯定存在有针对肿瘤特异抗原的T细胞,它们正是深入到敌军内部、打击能力最强的免疫细胞,是机体对肿瘤细胞发生特异性免疫反应过程中,自然而然产生的,属于我们自己身体的馈赠。这就是所谓的“肿瘤浸润淋巴细胞”(TIL)。
其实,肿瘤组织中存在淋巴细胞浸润非常普遍,免疫检查点*制剂抑**(ICIs)治疗效果越好,TIL的出现就越多。

TIL(肿瘤浸润淋巴细胞)模式图
图片来源:lab-porter.com

大肠癌组织中出现的TIL
来源:NCI

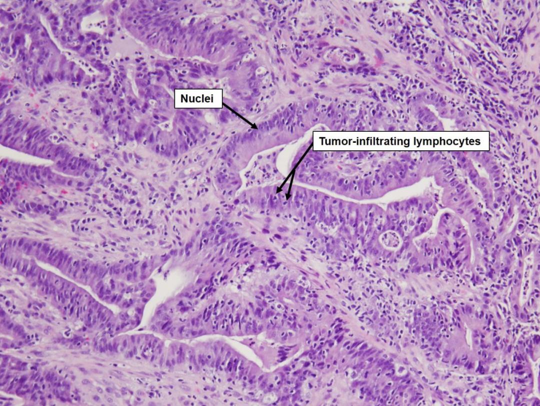
肺癌组织中出现的TIL
来源:ResearchGate
毕竟,免疫系统不是“吃干饭”的废物,在释放出各种“奇怪”物质的癌细胞刺激下,一定有部分T细胞勇敢的冲到了最前线。
我们只需要将它们成功的筛选纯化出来,然后通过细胞培养扩增,再加上免疫助推器IL-12,一起重新注入患者体内就行了。
由于来自肿瘤内部,TIL细胞本身的肿瘤靶向性就非常强,而且是多种免疫T细胞的组合,不仅具有特异性的*伤杀**能力,还具有多样性覆盖的特点,可以同时针对多个肿瘤抗原发挥作用!这就弥补了CAR-T和TCR-T的短板。
研究发现,TIL疗法可以和多种治疗方法进行联合,增强治疗效果。
其中,人们对TIL疗法和PD-1抗体的“双剑合璧”充满期待。原因很简单,PD-1/PD-L1抗体可以解除肿瘤的免疫抑制效应,让回输的TIL细胞“手起刀落”,更加“轻松痛快”的杀死癌细胞。
目前针对TIL疗效的几个Ⅱ期临床研究正在进行当中。IOV-COM-202研究是其中较为成熟的一个,涉及黑色素瘤、头颈部肿瘤、非小细胞肺癌等多个晚期癌肿。

Ⅱ期临床研究IOV-COM-202的研究流程:从新鲜肿瘤中分离出浸润淋巴细胞(TIL)并进行培养扩增,患者进行化疗预处理后回输TIL发挥抗肿瘤功效
图片来源:iovance.com
结语
肿瘤的细胞免疫疗法,虽然发展的早,但却需要针对活体细胞进行个体化改造,还要在实验室进行筛选、扩增等复杂流程,最终回输前还需要患者进行“清髓”预处理。因此技术复杂度超高,完成全流程的医疗服务成本奇高。
相比之下,免疫检查点*制剂抑**(ICIs)的开发就要简单得多了,瞄准PD-(L)1这样的免疫检查点,设计出高效的单克隆抗体,然后在进行临床前-临床试验验证功效、控制不良反应就可以了。在ICIs药物高效多产的辉光下,细胞免疫疗法显然“黯然失色”多了。
即便如此,无数科学家、医生和患者仍旧期盼着细胞疗法的早日落地。虽然目前FDA仅批准了少数针对血液恶性肿瘤的CAR-T疗法,但实体瘤领域的临床试验一直没有中断过,符合条件的患者应当积极参与。
毕竟,就在十多年前,国际肿瘤学术会议上,免疫检查点还是个“门庭冷落”的研究项目。10年来,曾经的“冷门”已成为肿瘤治疗领域炙手可热的狠角色,人们在多个实体瘤挖掘了ICIs的治疗潜力,使其成为如今的“广谱抗癌药物”。也许,以TIL为代表的细胞免疫疗法也正默默 的 憋了一个“大招”呢!
好好的活下去,等待细胞免疫治疗落地的那一天,所有的一切都是值得的。
参考资料
FDA D.I.S.C.O.: First FDA approval of a CAR T-cell immunotherapy,02/23/2018
FDA approves CAR-T cell therapy to treat adults with certain types of large B-cell lymphoma,03/21/2018
Cell-Based Cancer Immunotherapies: Commercial Risk, Curative Reward, Part One
Posted by The Blue Matter Team on January 18th, 2019. https://bluematterconsulting.com/cell-based-cancer-immunotherapies-i/
肿瘤个体化与靶向免疫治疗学,刘宝瑞,科学出版社,2017年
#医师报超能团#
#超能健康团#
#健康科普排位赛#