原创:康攀医生
审核:广州中医药大学第一附属医院 王海彬教授
文章所属:王海彬教授团队,转发请标明出处。
"会当凌绝顶,一览众山小",登高望远心旷神怡,一首杜甫的《望岳》诗,勾起了无数人们的登山欲望。白云山一直是广州有名的风景胜地,为南岳名山之一,自古就有"羊城第一秀"之称。
除了"羊城",人们也用"白云珠海"来特指广州,这"白云"指的就是白云山。据说每到秋季,常有白云冉冉升起,山上一个侧面变成白云漫漫的一片,仿佛面纱笼罩,因而得名。白云山很早就名声在外,战国时已有名士出入,晋朝时已风景宜人,唐朝便以胜地著称。宋代以来的"羊城八景",白云山就占多处。羊城人们一向喜欢到此登高游览,尤其在重阳佳节,更以登白云山为乐事,每逢此时,扶老携幼,人流熙熙攘攘的热闹场景便构成羊城一幅独特的风情画。

图1 图片来源于网络
白云山地势中间高,由东北向西南倾斜,最高点摩星岭海拔382米。沟谷纵横,坡度陡峭,相对深度多在100米左右。因此,爬白云山,比较考验膝关节活动能力,对于膝骨性关节炎患者来说,更是一大挑战。

图2 图片来源于百度地图
膝骨性关节炎(KOA)主要症状有疼痛、跛行、晨僵、肌肉萎缩等,严重影响广大中老年人的生活质量及健康水平。目前,还没有一种有效的治疗方法能完全阻断膝骨性关节炎的发病过程,因而延缓膝骨性关节炎发病进展、缓解疼痛,改善膝关节功能是膝骨性关节炎诊治的重点。由于不同时期不同病情阶段的膝骨性关节患者的临床表现、严重程度等都存在区别,故而针对不同分期下的膝骨性关节炎患者应采用不同的治疗方式。当前学界普遍认可接受膝骨性关节炎的"阶梯治疗"方式,并达成了专家共识。

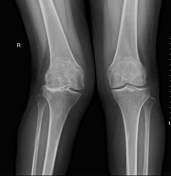
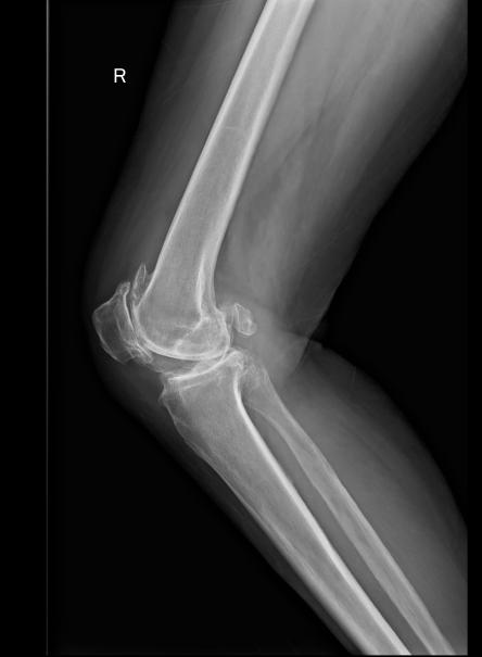
图3a 原发性单侧膝关节炎已至晚期(跛行步态,右膝屈曲外翻畸形,内侧间隙压痛)

图3b 原发性单侧膝关节炎已至晚期(跛行步态,右膝屈曲外翻畸形,内侧间隙压痛)
"阶梯治疗"即根据疾病的不同阶段分期采取不同的治疗方法,这种最新理念契合膝骨性关节炎本身的发病进展规律。

图4 膝骨性关节炎的阶梯治疗示意图
基础治疗
1膝骨性关节疾病常识认知
2合理的运动治疗
2.1低强度有氧运动:游泳、慢跑、骑自行车等运动
2.2关节周围肌肉力量训练:股四头肌的训练,可采用的方式有脚底踩皮球、静蹲训练、抗阻力训练
2.3关节功能训练:非负重位膝关节的屈伸运动,主动运动、被动运动等
3物理治疗:针灸、按摩、推拿、热疗等,促进局部血液循环,减轻炎症反应和关节疼痛
4行动辅助:手杖、拐杖、助行器、关节支具,减少关节负重,减轻症状
药物治疗
1非甾体类抗炎药物:局部外用与口服配合,早期老龄患者和(或)合并基础疾病,局部外用优先,口服常用。用前评估服用非甾体类抗炎药物的风险,若上消化道不良反应危险性高则可考虑选择COX-2*制剂抑**如塞来昔布、艾瑞昔布等,选择非选择性NSAIDs类药物同时加用护胃药物如H2受体拮抗剂、质子泵*制剂抑**或胃黏膜保护剂。合并心血管疾病者慎用。
2镇痛药物:非甾体类药物治疗无效或不耐受则使用非NSAIDs类药物及阿片类药物等,但有成瘾性及不良反应,谨慎使用。
3关节腔注射药物
糖皮质激素:短期快速缓解症状,每年最多不超过3次,每次间隔不短于3个月。
玻璃酸钠:安全性较高,缓解疼痛,早中期膝骨性关节炎患者使用效果明显
生长因子和富血小板血浆:改善局部炎症,促进局部关节内组织修复和再生,作为辅助用药选择性使用
4缓解症状的慢作用药物
氨基葡萄糖,缓解症状改善功能,辅助用药,对有症状的患者选择性使用
5抗焦虑药物
长期持续疼痛、对非NSAIDs类药物不敏感的患者可选择,短期内缓解症状,增加中枢神经的下行性疼痛抑制系统功能,使用时注意药物不良反应,如胃肠道反应。

图5 膝骨性关节炎的不同治疗方式
修复手术治疗
1关节软骨修复术:适用年轻、活动量大、单处小面积负重区软骨缺损。
2关节镜清理术:适用于伴有机械症状者,如游离体、半月板损伤,解决部分早中期患者症状,关节间隙明显狭窄者作用优先。
3截骨术:青中年活动量大、力线不佳的单间室病变、屈曲超过90、无固定屈曲挛缩畸形、无关节不稳及脱位以及无下肢动静脉严重病变。
3.1胫骨近端截骨术:合并股胫关节内翻较轻,胫骨平台塌陷<0.5cm,髌骨关节正常患者。
3.2股骨远端截骨术:股胫外翻较轻,关节线倾斜不重,胫骨外侧平台>0.5cm。
3.3腓骨近端截骨术: 内翻角<100的内侧间室退行性OA患者。
重建手术治疗
1全膝置换:严重的膝关节多间室OA,伴有畸形。
2单髁置换:力线改变5-10度、韧带完整、屈曲挛缩不超过15度的膝关节单间室OA患者。
3髌股关节置换:单纯髌股关节OA患者。

图6 膝骨性关节炎不同时期治疗侧重点
参考文献:
1.膝骨关节炎阶梯治疗专家共识(2018年版)
2.骨关节炎诊疗指南(2018年版)