小朋友们玩久了足踝部疼痛,竟是因为脚里面搭了座“桥”?
转载自: 王智 同仁足踝
转眼间,小朋友们最爱的暑假已经过半。2020东京奥运会也如火如荼地进行着,竞技场上运动健将们为国争光。
而孩子们也趁假期都有好好运动,公园里、操场上、体育馆里都是他们上蹿下跳的身影。
而一部分孩子会在运动玩耍中,逐渐出现足踝部的疼痛不适,其中有一些是因为跗骨联合(Tarsal Coalition)的关系。

跗骨联合通常指的是跟舟联合(Calcaneonavicular Coalitions)与跟距联合(talocalcaneal coalition)。在临床中有时也习惯称为 骨桥 ,跟距骨桥和跟舟骨桥。跟距联合通常位于内踝下方,也称为内侧跗骨联合(Medial coalition)。

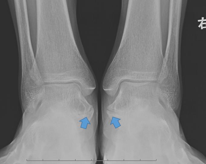
图 | 蓝色箭头指向跟距骨桥

跟距骨桥最早由Zuckerkandl于1877年首次报道。占到跗骨联合中的45%,它的出现是 青少年足部疼痛的一个常见原因 。

跗骨联合是一个先天出现的结构。在解剖研究中认为13%的人在出生之后会出现跗骨联合,但最终发生症状而就医的人群大概仅为1%到2%。发病年龄多为 12岁到15岁 ,和骨骺成形,骨发育成熟时期相关。

图 | 黄色箭头指向跟距骨桥

大多数跟距骨桥没有临床症状(75%)。 疼痛多因扭伤或是长时间运动劳累后引发 。

跟距联合主要引发的症状:足内侧疼痛,踝管综合征(胫神经受压),足活动受限,反复崴脚,僵硬平足(腓骨肌痉挛性平足)。
■ 足内侧疼痛
疼痛通常位于内踝下方偏后方位置。

疼痛病因:
疼痛的来源认为有三种:一是由于纤维连接受损引发;二是由于骨性连接引发骨质磨擦;三是骨软骨损伤引发。
疼痛表现:
疼痛通常负重时加重,活动后加重,休息时缓解。减少运动后疼痛渐减轻或消失。建议口服或外用非甾体抗炎药(NSAIDs)有效。
■ 踝管综合征(胫神经受压)
内踝下方偏后方位置通常为踝管(Tarsal tunnel),当疼痛刺激引发增生肿胀后还可挤压神经,造成足底麻木,足内侧的放射性疼痛。

■ 足活动受限
足活动受限主要表现为距下关节活动受限。距下关节位于踝关节下方,以旋转、平移活动为主。

患侧足部做环转动作的时候发现不能完成,或活动度下降与对侧脚不一样。在运动中或是行走于不平整的野外、泥泞地面时,足适应性差或是容易崴脚。这都是距下关节活动丧失引发的问题。
■ 反复崴脚
文献报道中12到15岁为常见年龄,然而在我们临床工作中发现很多患者是因为崴脚后长期疼痛才发现骨桥,发病年龄可能到30多岁,临床也可见到40-60岁人群出现骨桥引发的症状。

踝关节因距下关节活动度下降而应力转移,会形成球窝样关节发育,或是关节韧带不稳定,反复出现踝扭伤。查体时可见距下活动消失、受限或是与对侧相比活动度下降。双侧对比在查体时尤为重要。
■ 僵硬平足(腓骨肌痉挛性平足)
还有一部分患者出现僵硬性的平足,以及腓骨肌腱的痉挛。这两种情况也认为和跟距骨联合有关 。

跗骨联合引发平足出现主要是由于距下关节活动度下降,对周边关节应力转移,造成距骨周围稳定结构在青少年时期失效,引发距舟关节半脱位,患者还可见到距骨背侧骨赘增生。
腓骨肌痉挛通常也认为与骨桥有关。因为距下关节刺激性疼痛,引发腓骨短肌不自主的强力收缩,长此以往形成类似僵硬平足的表现。

在手法放松或是麻醉后,腓骨短肌放松,可恢复正常的关节活动。但是负重时因疼痛会复发。国外学者与国内学者对这一现象进行过少数的病例报道,发现部分患者并不存在跗骨联合,通过肉毒素注射放松腓骨短肌可以恢复。因此这一现象与跗骨联合的相关性有待于进一步研究。

所有怀疑存在跗骨联合的患者都应当进行X线检查。CT或磁共振检查建议根据具体情况进行。
■ X线表现
常见的X线表现为:
足负重侧位可见距骨上方喙突样骨赘,距下后关节面形态异常,中关节面消失征,C型征。
踝负重关节正位可见内踝骨性突起。
还可能存在球窝样踝关节(Ball-Socket ankle)、踝外翻。

图 | 跟距骨桥的X线表现
■ 分型
Mubarak根据CT检查的三维结构特点将跟距联合分为5型:
1型,线型;
2型,线型伴有后侧钩样骨质增生;
3型,叠瓦式;
4型,完全骨化;
5型,后方增生。

图 | 跟距联合的分型

跟距骨桥对于在临床上要注意与以下情况鉴别:
■ 距下关节腱鞘囊肿
■ 踝管综合征
■ 跟舟骨桥
■ 先天垂直距骨
■ 平足症
■ 副舟骨疼痛
■ 胫后肌腱炎
■ 类风湿关节炎
■ 局部肿瘤

■ 非手术治疗
当疼痛刚刚发生比较轻的时候,病程小于3个月,疼痛影响相对轻。可以用护具来限制距下关节的活动避免反复刺激,另外可使用芬必得或其他非甾体类抗炎药物。
通过休息、护具、止痛药,如果疼痛缓解或消失,不再考虑手术切除。也有可能症状复发,并最终手术治疗。
■ 手术治疗
手术治疗针对大多数有症状的患者。
当疼痛持续超过3个月以上,因疼痛运动活动受限,日常学习、生活、工作受影响,不能从事跑跳活动,不能久站,或是反复扭伤引发踝关节疾病等等。此类情况都需要根据实际病情选择合适的治疗方式。

手术方法:
手术治疗分为跗骨联合切除(骨桥切除)以及关节融合。大多数患者会不太情愿接受关节融合术。因为缺少距下关节活动会造成一些生活不便。
然而从临床随访来看,疼痛去除后运动能力改善明显。切除手术有一定可能疼痛复发,并最终需要再次行关节融合手术。

术前选择切除还是融合应当遵循客观指标。
目前各国学者与临床医生公认的切除标准是中关节面受累程度小于50%,后关节面有完整的软骨结构,跟骨外翻小于16度。
也有学者认为应当尽量保留距下关节活动,同时联合腓肠肌松解、腓骨短肌延长、跟骨截骨纠正力线以尽可能避免并发症出现。
伴胫神经受刺激情况:
此外对于刺激胫神经的跟距骨联合要进行神经松解以及骨桥完整地切除。
临床上踝管综合征有相当一部分是跟距骨桥,而并非单纯的神经受压。单纯开放踝管的韧带结构并不能解决问题,反而会引发距下不稳定,神经刺激加重。
伴 腱鞘囊肿 情况:
此外跟距骨桥还可能伴有腱鞘囊肿。部分患者单纯行腱鞘囊肿反复治疗,造成神经粘连和距下关节炎加重,有时进行反复多次手术。翻修手术应当考虑开放切口的内侧入种距下关节清理,或融合距下关节。同时要仔细分离粘连的神经。而不是反复进行局部处理,或换药。
微创关节镜切除骨桥 :
微创关节镜切除骨桥是近年来各国医生都在尝试的一种手术方式,优点是切口小,外观好。但并不适用于所有患者。应当根据具体情况具体分析。
并发症:
并发症主要与切除不彻底相关。此外还常见于希望保留距下活动而勉强行切除术,造成距下关节退变加重,出现平足加重、关节脱位、疼痛等等。
并发症的翻修手术方式需要根据具体病情来评估。包括再次切除、关节融合、三关节融合,踝关节相应疾病的处理等等。
预后:
选择恰当的切除术,术后优良率为70%以上。

但是总体上看,跟距骨联合切除手术的效果相对于其他跗骨联合的效果差,而且预后情况相对难以预测。部分患者仍需要行距下关节融合手术,或是三关节融合手术。
去除疼痛是治疗后恢复运动和活动的主要影响因素。手术方式以及创面大小不是预测因素。
— END —
参考文献
1.Xu J, Muhammad H, Wang X, Ma X. Botulinum Toxin Type A Injection Combined With Cast Immobilization for Treating Recurrent Peroneal Spastic Flatfoot Without Bone Coalitions: A Case Report and Review of the Literature. J Foot Ankle Surg. 2015 Jul-Aug;54(4):697-700. doi: 10.1053/j.jfas.2014.03.008. Epub 2014 Apr 26. PMID: 24774990.
2.Jackson TJ, Mathew SE, Larson AN, Stans AA, Milbrandt TA. Characteristics and reoperation rates of paediatric tarsal coalitions: a population-based study. J Child Orthop. 2020 Dec 1;14(6):537-543. doi: 10.1302/1863-2548.14.200177. PMID: 33343749; PMCID: PMC7740685.
(部分图片来源于网络)