家住肇庆的陈阿姨,走路歪斜两年余,起初以为是年老体衰的缘故。前段时间竟在医院查出脑袋里长了肿瘤。近日,在广东三九脑科医院神经外十科接受手术后,陈阿姨走路不再歪斜,已顺利出院。
01 走路不受控制歪向一侧
今年65岁的陈阿姨,大概从2年前起,走路时身体不受控制地偏向左侧,起初因为情况不是特别明显,也从未引起重视,以为就是年纪大了,腿脚有些退化的原因。
前段时间,陈阿姨的儿女们发现她走路歪斜的情况愈发严重,这才决定陪陈阿姨到当地医院检查。
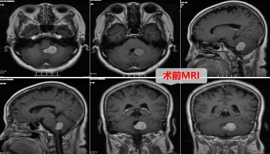
外院头颅MR提示陈阿姨左小脑蚓部-第四脑室存在占位性病变。医生解释,陈阿姨的脑子里长了肿瘤,而且肿瘤还会继续生长,导致病情逐渐加重,最后危及生命,想解决问题就要手术切除肿瘤。但肿瘤长在小脑、四脑室的地方,靠近生命中枢脑干,万一手术损伤到脑干将造成严重的功能障碍,甚至有沦为植物人的可能。得知这种情况后,经朋友介绍,陈阿姨来到广东三九脑科医院寻求进一步诊疗。
02 良性肿瘤也要积极治疗
我院神经外十科主任欧阳辉教授接诊了患者。患者MRI检查结果提示:左侧小脑半球-蚓部示大小约27mmx19mmx25mm的团块,这是导致患者出现走路歪斜的主要原因。结合患者的症状,欧阳辉教授考虑患者颅内肿瘤是良性脑膜瘤的可能性比较大。


欧阳辉教授带领团队对患者的病情进行了详细讨论,最终决定对患者行“左侧小脑半球、蚓部-四脑室肿瘤切除术”。
术中可见肿瘤质韧,边界清晰,位于左侧小脑半球至小脑蚓部达四脑室。神经外十科团队在高清显微镜下,精准仔细操作,顺利全切肿瘤。术后病理确诊脑膜瘤。欧阳辉教授解析,考虑为四脑室出口处脉络丛或蛛网膜起源的良性脑膜瘤,生长突入四脑室并挤压左侧小脑半球,此种情况的脑膜瘤临床较少见。
术后,陈阿姨很快恢复意识,肢体活动良好,走路也没有再歪向一侧,已于日前顺利出院。

欧阳辉教授介绍,小脑半球病变的临床症状主要表现为平衡不稳、共济失调等。共济失调出现在小脑半球病变的同侧肢体,大多患者表现为手指不能指准目标,或手指接近目标时,出现意向震颤,有的患者会出现轮替运动笨拙、站立不稳或蹒跚步态。小脑蚓部病变会引起平衡障碍,表现躯干共济失调、站立及行走不稳,而四肢共济运动近于正常或完全正常,也称为小脑蚓部综合征。
在此,欧阳辉教授提醒,生活中,如出现行走不稳等情况,应积极进行相关检查,排除颅内尤其是小脑疾可能性。