
好在给药单一,没有首先考虑输液反应……
作者 | 文烈心
来源 | 医学界急诊与重症频道
病史简介
患者,男,83岁,左上腹痛一周就诊。
疼痛不太剧烈,隐痛,基本上呈持续性,程度稍有波动,前天呕吐一次,为胃内容物,无胸闷,无心悸,无发热,胃纳同前,二便无殊。
既往有房颤病史。
查体:全腹软,左上腹轻压痛,无反跳痛,双肾区无叩击痛,肠鸣音3次每分,不亢。心律绝对不齐,无杂音。
查血常规,示轻度贫血,老年人中也不少见,白细胞不高。腹部平片正常。肝胆胰脾超声未见异常。
检查后,病人回诊,疼痛好像好些了,怎么办?抢救室去不了,留观好像也不够,病人也不愿意,不过家属倒想输液。
虽然我也不知道这种情况输什么液才算对症,但秉承留下输液就当观察病情的教诲,再说老辈人观点,输液好得快,不给输有意见,就放输液室吧。
才半个小时,输液室护士就跑过来叫,说病人病情变化,像是严重输液反应。
赶紧过去查看,病人已平躺在输液椅上,输液已关。面色较前转苍白,大汗淋漓,痛苦貌,呼吸急促,手捂肚子,*吟呻**。
一问,刚起身想上厕所,腹痛明显,差点倒地。
输液反应可能不大,因为我输的就是葡萄糖加维生素C罢了,腹痛加面色苍白,老年,不会是腹主动脉破裂或者腹腔内脏器破裂出血吧。
查体也没新的发现以供鉴别。急诊超声就在边上,求救哥们,来做个床边吧。一看,腹腔内有积液,哥们说,肯定是新发的,肝周、脾窝刚才也看过,没有积液的,腹主动脉瘤没有。
难道真的有腹腔出血?腹腔积液能穿吗?帮忙定个位。
诊断性腹腔穿刺,一抽,不凝血!
再次问病史,确实没有外伤史。
转送至抢救室,扩容,备血。超声再细看,肝脏没肿瘤,不是肝癌破裂,脾脏回声有不均,多普勒,脾动脉血流显示不清。脾脏有问题的可能性较大。
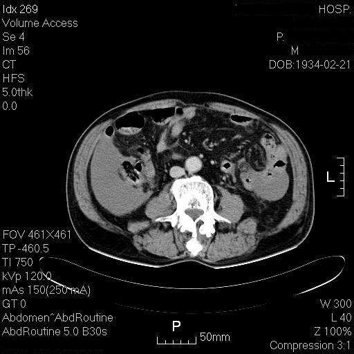
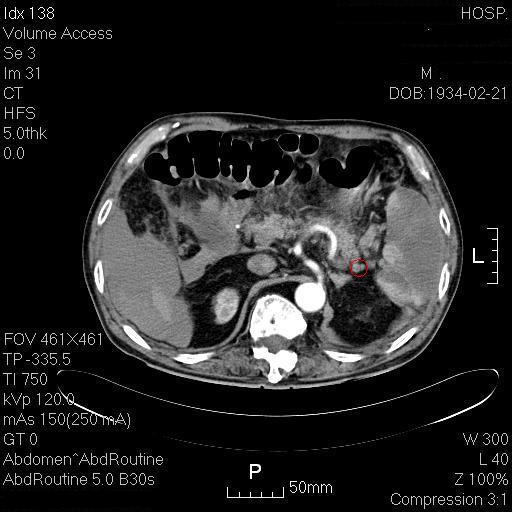
急诊CT,增强,全腹

盆腔有积血!!!

腹腔有积血!!!

(红圈标注为栓塞的脾动脉)
肝周有积血!脾脏符合梗塞后改变
患者有房颤,未抗凝,脾动脉栓塞致脾梗死,脾脏自发破裂出血。经过输液输血治疗,患者病情转平稳,沟通后,考虑患者高龄,决定不行脾切除。保守治疗半月,无继续出血,患者出院。
今天讨论的主题是:该患者房颤接下来该抗凝治疗吗?何时开始抗凝?(敬请留言!)