(声明:本文仅用于科普用途,为了保护患者隐私,以下内容里的相关信息已进行处理)
【基本信息】男,45岁
【疾病类型】47慢性牙髓炎
【治疗医院】聊城市人民医院(三甲)
【治疗方案】47根管治疗+桩冠修复
【治疗周期】门诊根管治疗2次,共1周。
【治疗效果】患牙不适症状消失,叩痛阴性。
一、初识患者
提到牙痛,很多人可以说是深有感受,那种痛感不断折磨,简直会把人逼疯。前一段时间,我就遇到了这样一位深受牙痛折磨的患者。患者今年45岁,5天前右下后牙开始出现自发痛,无冷热痛、夜间痛、咬合痛、牙龈肿痛、溢脓史。因为疼痛难以忍受,于是为患者在家人陪同下来到我院门诊。
了解完患者情况后,我让患者张开嘴,检查其口腔情况,口腔检查可见47远中邻颌面有深大龋坏,质软,探针触及无痛感,也无叩痛,同时牙齿无松动,根尖区无红肿,但牙龈缘可见轻度红肿。
通过患者症状、外院就诊经历、口腔检查结果,符合龋齿继发牙髓炎表现,因此考虑为47慢性牙髓炎。

二、患者的治疗经过
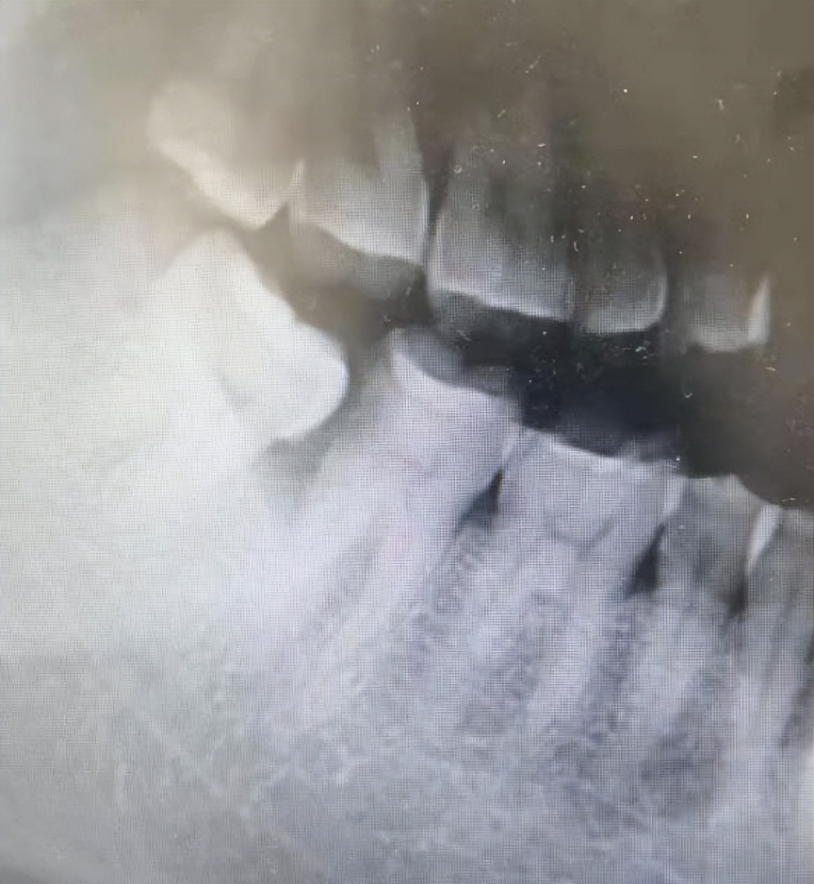
为了了解患者牙根情况,进一步安排患者完善X片检查。对于这项检查,患者家属不是很理解,认为肉眼就能看到牙齿烂了,为什么还要做X片检查。这个问题临床上很多患者都会问,的确牙髓炎患者X片不会出现变化,但是通过X片可以了解患者牙齿情况,比如牙根有无多根变异,有没有钙化,是否治疗过等。结合牙齿情况,就可以为下一步诊治提供帮助。

经X片检查得知患者牙齿冠部低密度影近髓腔,根管内无充填物影,根尖区无低密度影,明确诊断为47慢性牙髓炎,建议立即行根管治疗+冠修复。
在向患者解释病情、手术风险、预后、费用后,使用利多卡因局部神经阻滞麻醉,去腐未净露髓后,给予3%Naclo冲洗,并放置Antipulp失活剂、玻璃离子暂封。嘱托患者回家后勿用患牙咀嚼硬物,并于一周后回院进行根管填充。
一周后,患者回院继续治疗,自述治疗后无不适,因此去除暂封物后,上橡皮障,并在根管显微镜下揭顶,然后手用K锉通畅根管,根管预备完成后,使用iRoot sp+热牙胶垂直加压充填,复拍X片显示恰填,予以GIC暂封后,嘱托患者择期进行桩冠修复。
三、患者在治疗中的注意事项
1、根管治疗术并非都是一次完成治疗,医生往往会根据患者临床检查情况,分步分次进行治疗,所以患者需坚持就诊,避免中断治疗。
2、治疗后约2小时即麻药消退后方可进食,居家期间,封药患牙侧请勿咀嚼,刷牙须轻柔。
3、治疗后两三日内,如有轻微疼痛或咬合不适症状多属正常反应,如患牙出现剧烈肿痛和封药脱落等特殊情况,请及时回院复查。

四、患者的治疗效果
根管治疗后,患者右下后牙疼痛症状缓解,查看口腔情况根尖区无红肿,牙龈红肿消失,口腔清洁度尚可,探针触及无痛感,也无叩痛。患者自述目前可正常饮食,生活质量较前有明显提高。
由于患者仍需进行根冠修复,因此,嘱托患者回家注意口腔卫生,避免硬物后,择期回医院进行桩冠修复。
五、患者在日常生活中的注意项
1、保持口腔卫生,养成良好的卫生习惯,坚持早晚或进食后刷牙,饭后漱口,及时清除留在口里和牙齿之间的食物残渣和细菌,选用含氟牙膏对预防龋病有一定作用。
2、得了龋齿时及时治疗,牙洞浅的要在去除破坏的牙质后用适当材料充填,使牙齿的形态和功能得到恢复,防止进一步龋坏;牙洞深的龋齿,要根据具体情况进行适当地治疗。
3、每半年到一年进行一次口腔检查,必要时也可定期进行洁牙。
4、学习使用牙线,牙齿缝隙大或者牙齿已经出现孔洞,饭后可以使用牙线清理食物残渣。

六、医生感悟
牙神经不同于身体的其他组织,牙神经一旦发炎只会逐渐严重,没办法通过吃药等方式进行修复。因此,如果出现牙髓炎,一定要及时处理,进行根管治疗,如果不处理,很可能导致感染加重,出现根尖周炎、牙髓坏死等危害。
对于牙髓炎的病因查找,应从最常见引发牙髓炎的疾病入手,首先,应排查龋齿,要注意检查隐蔽牙面有无近髓或及髓深洞,如果痛侧有多个龋齿,离髓腔近或者有叩痛的牙齿最为可疑;其次,应注意检查非龋硬组织疾患和有深牙周袋的患牙;再者,要注意既往或现行是否有过牙科治疗(拔牙、修复、正畸等)的患牙。
本次就诊患者在经过详细专科查体后可见47远中邻颌面有深大龋坏,同时结合牙片,既往史,明确为龋齿引起的牙髓炎。因为龋坏较严重,所以给予患者47根管治疗+冠修复。经过根管治疗,患者牙疼痛症状缓解,牙龈红肿消失,避免了牙髓炎进一步加重,确保了治疗效果。
姓名: 白广亮
单位: 山东聊城市人民医院
科室: 口腔科
职称:主治医师