髓母细胞瘤是一种罕见病。常发生于儿童,是小儿颅内肿瘤的一种,但是儿童最常见的恶性肿瘤,占儿童肿瘤15~20%,占后颅窝肿瘤的30~35%左右。

髓母细胞瘤示意图
小儿常常于10岁以下发病。主要症状:恶心、呕吐,行走不稳是最常见的症状。由于肿瘤主要生长在小脑的蚓部,肿瘤往往巨大,压迫第四脑室及脑干,从而造成颅压增高,诱发患儿恶心及呕吐。由于肿瘤压迫小脑蚓部,造成患儿行走不稳、跌跤甚至无法走路。

小儿行走不稳
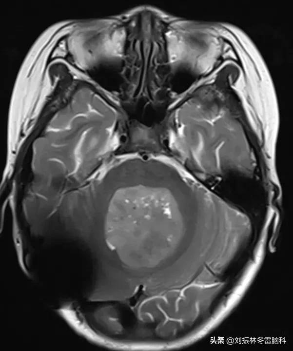
小儿髓母细胞瘤的发生机制不明确,目前认为肿瘤细胞起源于小脑神经元祖细胞,其发生基因突变后无限制的增殖,形成髓母细胞瘤。髓母细胞瘤是一种恶性度较高的肿瘤,当肿瘤被发现时,往往肿瘤已经长得很大。核磁共振检查是筛查小儿肿瘤的主要方法,因CT检查对儿童有放射线辐射,因此儿童多采用核磁共振检查。

儿童磁共振检查
小儿髓母细胞瘤一旦诊断应尽早手术!因为巨大的肿瘤压迫第四脑室及脑干,从而造成小儿脑积水,随时都可能出现意外情况。因为小儿在高颅压下任何颅内压的波动,都可能造成小脑或是肿瘤位置的移动,形成枕骨大孔疝,从而造成小儿呼吸心跳停止,一旦发生枕骨大孔疝将是灾难性的,几乎很难再有机会。小儿髓母细胞瘤的最为有效的治疗方法是手术切除肿瘤,并打通第四脑室的脑脊液通道。

核磁图片

小儿脑积水
小儿髓母细胞瘤一般采用小脑正中入路肿瘤切除术,力争全切肿瘤。

手术入路
由于髓母细胞瘤恶性度较高,因此单独的手术切除很难控制肿瘤的复发。手术后需要辅以放射治疗及化疗。

放射治疗
患儿愈后取决于患儿的肿瘤的病理类型。同时患儿的预后差异很大。由于髓母细胞瘤恶性度较高,进展较快,因此一旦发现确诊,应当尽早进行手术,否则患儿可能会很快死去。因此提醒家长,一旦孩子出现头痛、呕吐等症状,应当引起家长的高度重视!以免耽误病情!#冬雷脑科专家说脑##刘振林脑科普#头条健康##头条健康##健康真相馆#